Hallo zusammen,
1. Golovinomyces sonchicola ex Sonchus oleraceus
2. Exidia glandulosa
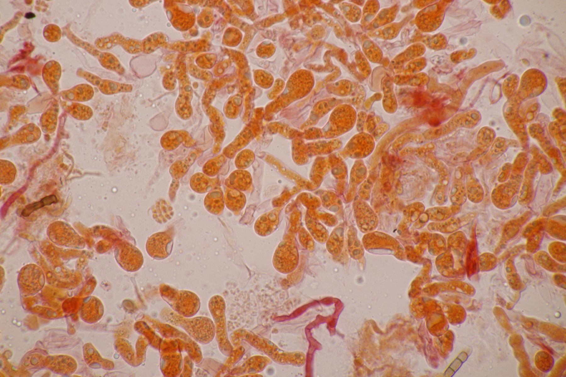
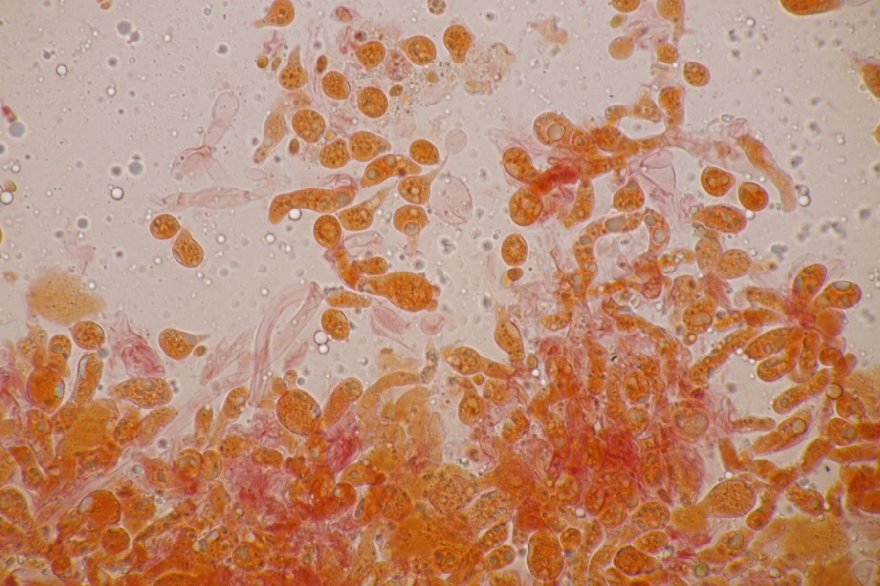
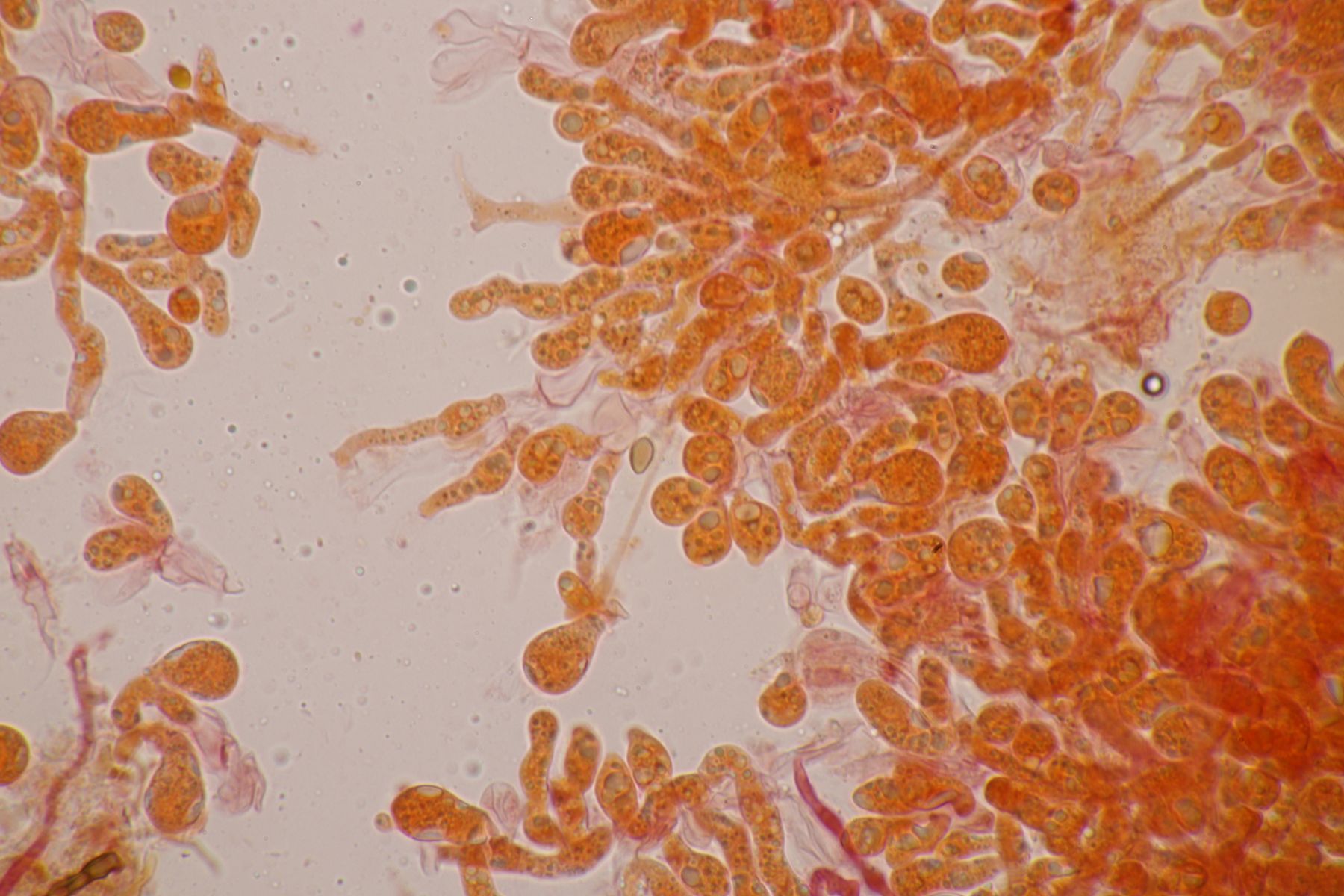
3. Tulasnella violea
4. Bertia moriforme
5. Mycena capillaris
6. Inonotus radiatus
7. Junghuhnia nitida
8. Helvella crispa
9. Phleogena faginea
10. Bjerkandera adusta
11. Hypoxylon fragiforme
12. Cylindrium aeruginosum auf Quercusblättern
13. Phlebia subochracea
14. Daedaleopsis confragosa
15. Sclerencoelia fraxinicola
16. Thyronectria aurigera ex Fraxinus excelsior
17. Lasiosphaeria ist klar, aber wie genau unterscheidet man L. hirsuta und L. hispida?
Björn
