Hallo zusammen,
ich war heute mit dem Arbeitskreis Pilzkunde-Ruhr in Wanne-Eickel und habe diesen gelbmilchenden Becherling gefunden. Könnte es sich hierbei um P. succosella handeln? P. michelii und P. succosa wären zwei weitere gelbmilchende Arten, welche aber überwiegend zwei Öltropfen besitzen sollen. Mein Fund hat ausschließlich einen Öltropfen pro Spore, was charakteristisch für P. succosella sein soll. Wenn dem so ist, wäre das wohl ein Erstfund für Nordrhein-Westfalen. Andernfalls wäre es trotzdem ein schöner Fund. Ist es also so einfach?
Sporengröße: 17-18 x 9-10
Mikroskopiert in Melzers Reagenz
Die Fruchtkörper:
Die Paraphysen
Die schön ornamentierten Sporen:
Und zwei beauty shots:
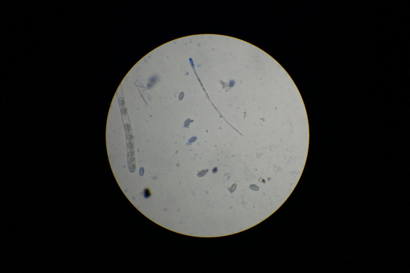
Sporen in H2O; überwiegend mit einem Öltropfen, einige Sporen mit zweitem kleineren Öltropfen
Beste Grüße
Oliver
