Entoloma rhodopolium ?

  • Hallo zusammen,


    am 27.08.22 konnte ich in einem Hainbuchenwald (Carpinus), diese Entoloma finden.

    Könnte das eine Entoloma rhodopolium sein ?

    Was meint ihr dazu ?

    Hier sind die Bilder:

    1.


    2.


    3.


    4.


    5.


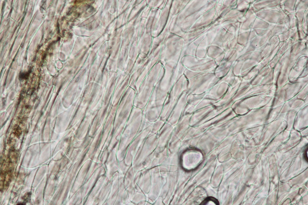
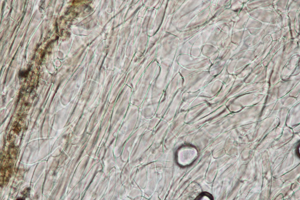
    6. HDS


    7. HDS


    8. Basidien 4-sporig


    9. Schnalle in Kongorot


    10.


    VG : Thorben