Hallo zusammen,
weiter geht es mit dem zweiten Teil von der APR-Exkursion auf der Halde Hoppenbruch
1. Ein Rötling unter diversen Laubbäumen. Im Feld erwähnten einige Exkursionsteilnehmer einen alkalischen Geruch. Den konnte ich allerdings nicht wirklich wahrnehmen (wie riecht alkalisch überhaupt?). Zu Hause hatte ich bei einem Fruchtkörper eher den Eindruck, daß ein Mehlgeruch vorliegt. Sporen messen 7.9-9.2 x 6.1-7.7 µm, Q=1.1-1.5, bzw. 8.5+-0.4 µm x 6.8+-0.5 µm, 1.3+-0.1, Basidien viersporig mit Basalschnalle, keine Cheilozystiden, Huthaut mit intazellulärem Pigment. Damit komme ich dann erstmal bei Entoloma lividoalbum raus, den ich aber nur in kräftiger kenne. Alternativ dann Entoloma rhodopolium s.l. Was sagen die Rötlingsexperten?
2. Octosporopsis nicolai an Lunularia cruciata
3. Cyclaneusma niveum ex Pinus nigra
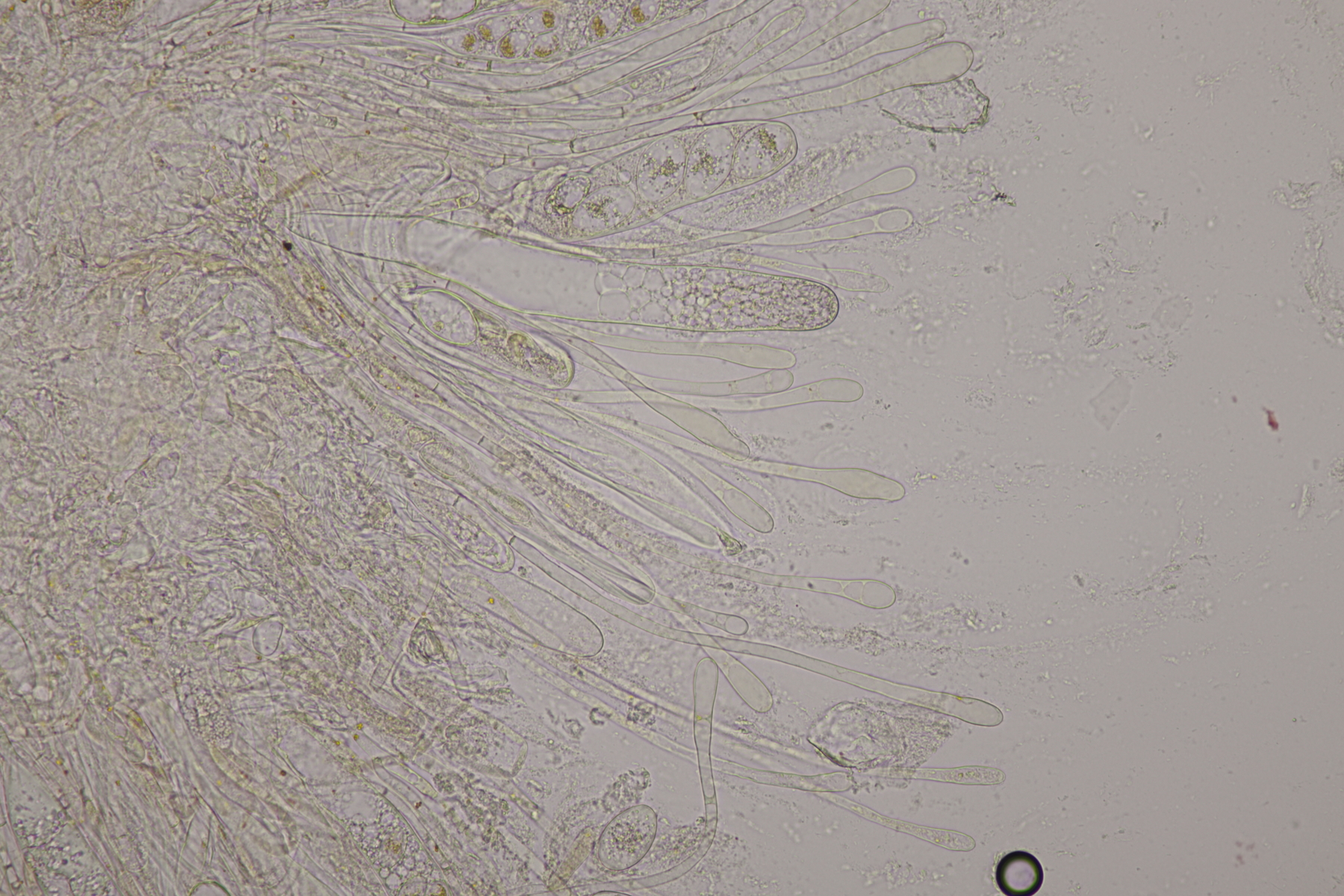
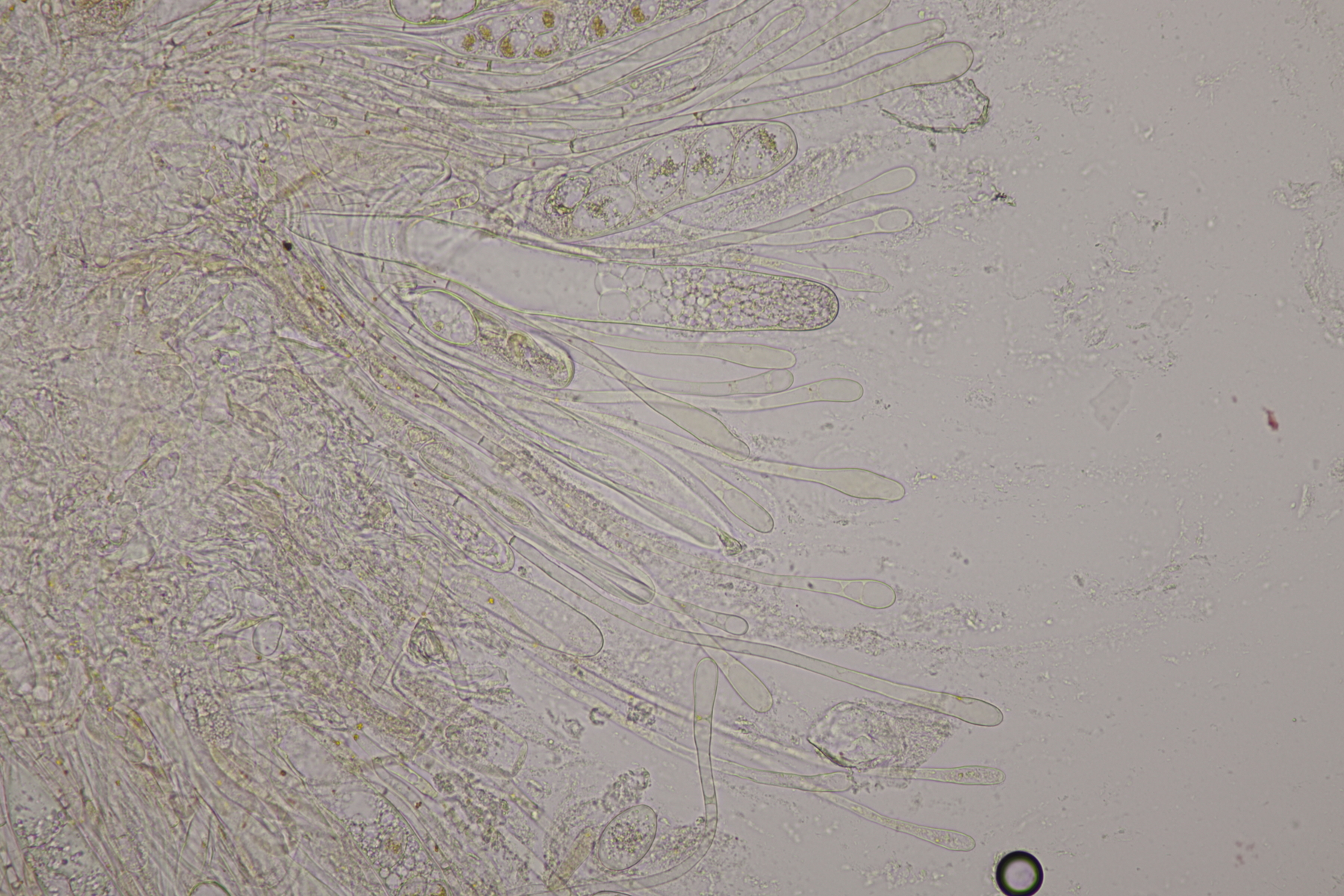
4. Botryobasidium aureum
5. Und noch eine Erdzunge, von der ich allerdings kein Makrofoto habe. Sporen messen 67-80 µm, im Mittel 75 µm. Auch noch mal Geoglossum cookeanum mit etwas untypischen Paraphysen?
Björn
