Hallo zusammen
Animiert durch Eure Fundberichte von den Gänsen hab ich mir auch ein paar Würstchen aufgesammelt. Ich muss dazu sagen, dass ich es mit Schwänen schon versucht habe, aufgrund des üblen Geruchs die Übung aber schon bald abgebrochen habe. Im Vergleich dazu riechen die Gänse geradezu erfrischend.
U.a. wuchsen praktisch flächendeckend Podospora pauciseta (anserina). Und mittendrin, beinahe übersehen, war eine kleine Fläche besetzt mit Apiosordaria verruculosa. Ralf hat diesen Pilz hier schon vorgestellt und Nobi seine wertvollen Hinweise dazu geliefert.
Und hier also das Produkt der Gans:
FK 560 x 460 µm, leicht eingebettet
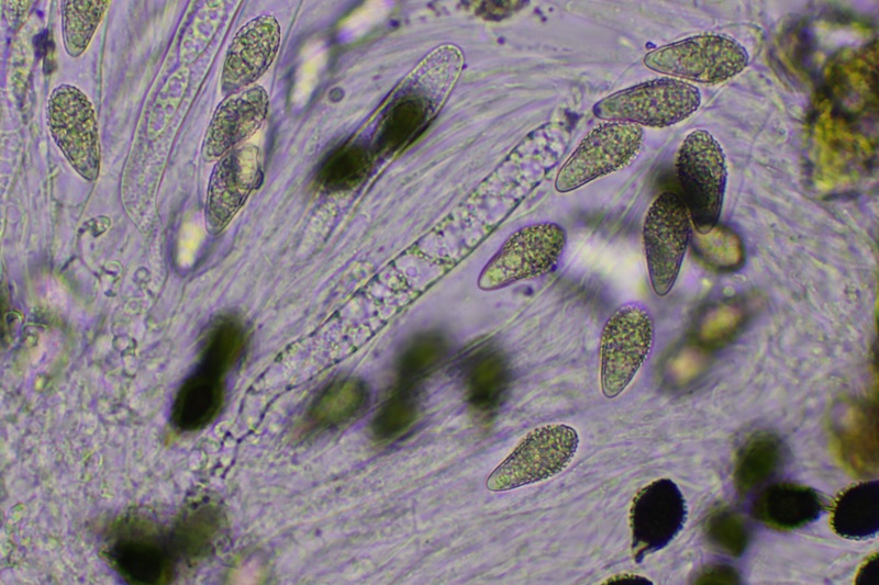
Sporen (16.5) 16.9 - 18.87 (18.9) × (12.3) 12.5 - 14.7 (14.9) µm, komplett mit abgeflachten Warzen besetzt, die 1.2 - 1.7 µm hoch sind. Das Pierrot-Hut-förmige Pedicel hat die Masse (8.1) 8.14 - 10.3 (10.6) × (7.2) 7.5 - 9.3 (9.5) µm
4-sporige Asci
Auch ein paar Seten wurden beobachtet.
Liebe Grüsse
Marco
