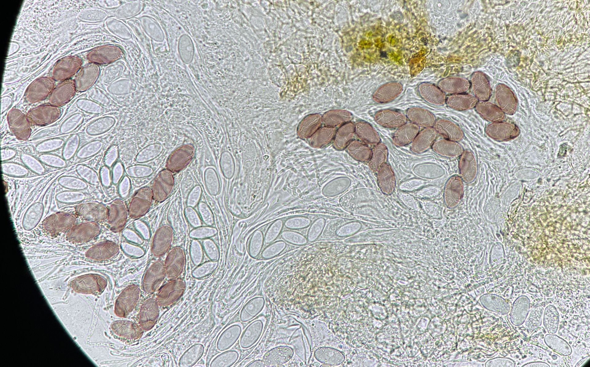
Ich habe jetzt einmal geschaut, was bei den Gänsen auf dem Friedhof in der Nachbarschaft so wächst. Das sind zwar Branta canadensis, sind aber das ganze Jahr hier zuhause. Es schaut aus wie Ascobolus brantophilus, allerdings sind die Sporen mit 25µm x 15µm etwas zu groß. Gibt es sonst noch etwas, das ähnlich aussieht?
Jetzt wo ich noch einmal schaue, denke ich das ist Ascobolus degluptus oder Ascobolus stictoideus.
pilzforum.eu/attachment/427382/pilzforum.eu/attachment/427383/pilzforum.eu/attachment/427388/
