Ascobolus brantophilus -> Ascobolus degluptus?

Es gibt 3 Antworten in diesem Thema, welches 2.128 mal aufgerufen wurde. Der letzte Beitrag () ist von sigridj.

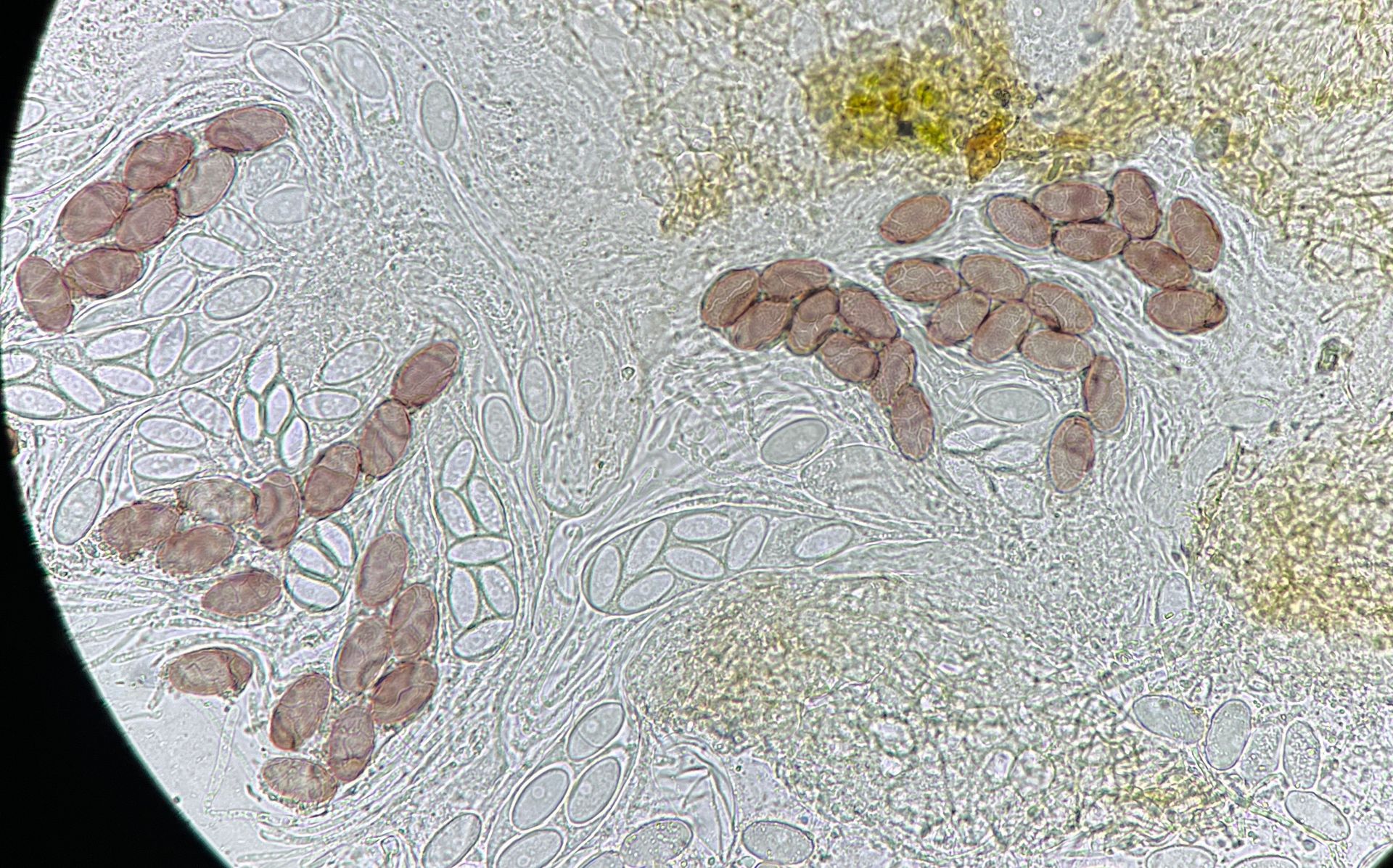
  • Ich habe jetzt einmal geschaut, was bei den Gänsen auf dem Friedhof in der Nachbarschaft so wächst. Das sind zwar Branta canadensis, sind aber das ganze Jahr hier zuhause. Es schaut aus wie Ascobolus brantophilus, allerdings sind die Sporen mit 25µm x 15µm etwas zu groß. Gibt es sonst noch etwas, das ähnlich aussieht?


    Jetzt wo ich noch einmal schaue, denke ich das ist Ascobolus degluptus oder Ascobolus stictoideus.

    pilzforum.eu/attachment/427382/pilzforum.eu/attachment/427383/pilzforum.eu/attachment/427388/

  • sigridj

    Hat den Titel des Themas von „Ascobolus brantophilus, aber zu groß?“ zu „Ascobolus brantophilus -> Ascobolus degluptus“ geändert.
  • Hallo Sigrid,

    Ich kann bei Deinem Fund schlecht mitreden, weil ich fast zeitgleich mit Dir einen ähnlichen Ascobolus eingestellt habe, den ich für A. stictoideus halte, aber dabei nicht sicher bin.

    Die weiße Farbe der Fruchtkörper täte für A. degluptus passen, aber die von Dir angegebene Sporenlänge ist weit unter der von van Brummelen, die für diese Art bei 30 my beginnt. Die Schleimkappen sind um die Sporen aber unregelmäßig verteilt, was wieder für diese Art sprechen könnte.

    A. brantophilus kenne ich leider nicht.

    Bin gespannt, was Nobi zu Deinem Fund sagt.


    LG Matthaeus

  • sigridj

    Hat den Titel des Themas von „Ascobolus brantophilus -> Ascobolus degluptus“ zu „Ascobolus brantophilus -> Ascobolus degluptus?“ geändert.
  • Hallo Sigrid.

    Bitte entschuldige meine späte Antwort.

    Ich war vom 27.04. bis gestern in einem "internetfreien Raum", sprich Urlaub.

    Jetzt wo ich noch einmal schaue, denke ich das ist Ascobolus degluptus oder Ascobolus stictoideus.

    Zuerst. Auch wenn das Substrat prima passen würde, sind die Sporen für Ascobolus brantophilus in der Tat zu klein, zudem sind diese glatt.

    Mit den feinwarzigen, rissigen Sporen und großflächig ablösendem Epispor kommt meiner Meinung nach tatsächlich nur Ascobolus degluptus infrage.

    Die Sporen sind zwar etwas klein für die Art, aber ich denke, das passt gerade noch! Ich hatte die auch schon unter 30 µm.


    LG, Nobi

    Hier geht es zu meinen Themen.

    -------------------------------------------------------------------------------------------------------------------------------------------------------------------------------------------------------

    Chips: 72