Halllo zusammen,
am Sonntag hat der APR sich zu einer Exkursion auf der Halde Lipper Höhe in Marl getroffen. Auch diesmal hat es sich gelohnt und wir konnten etliche interessante Pilze bestaunen:
1. Phaeotremella frondosa. Das Exsikkat bräunt zwar, aber die Sporen messen 9.1+-0.6 x 6.5+-0.5, Q=1.4+-0.1, 7.5-10.5 x 5.4-7.3, Q=1.2-1.7
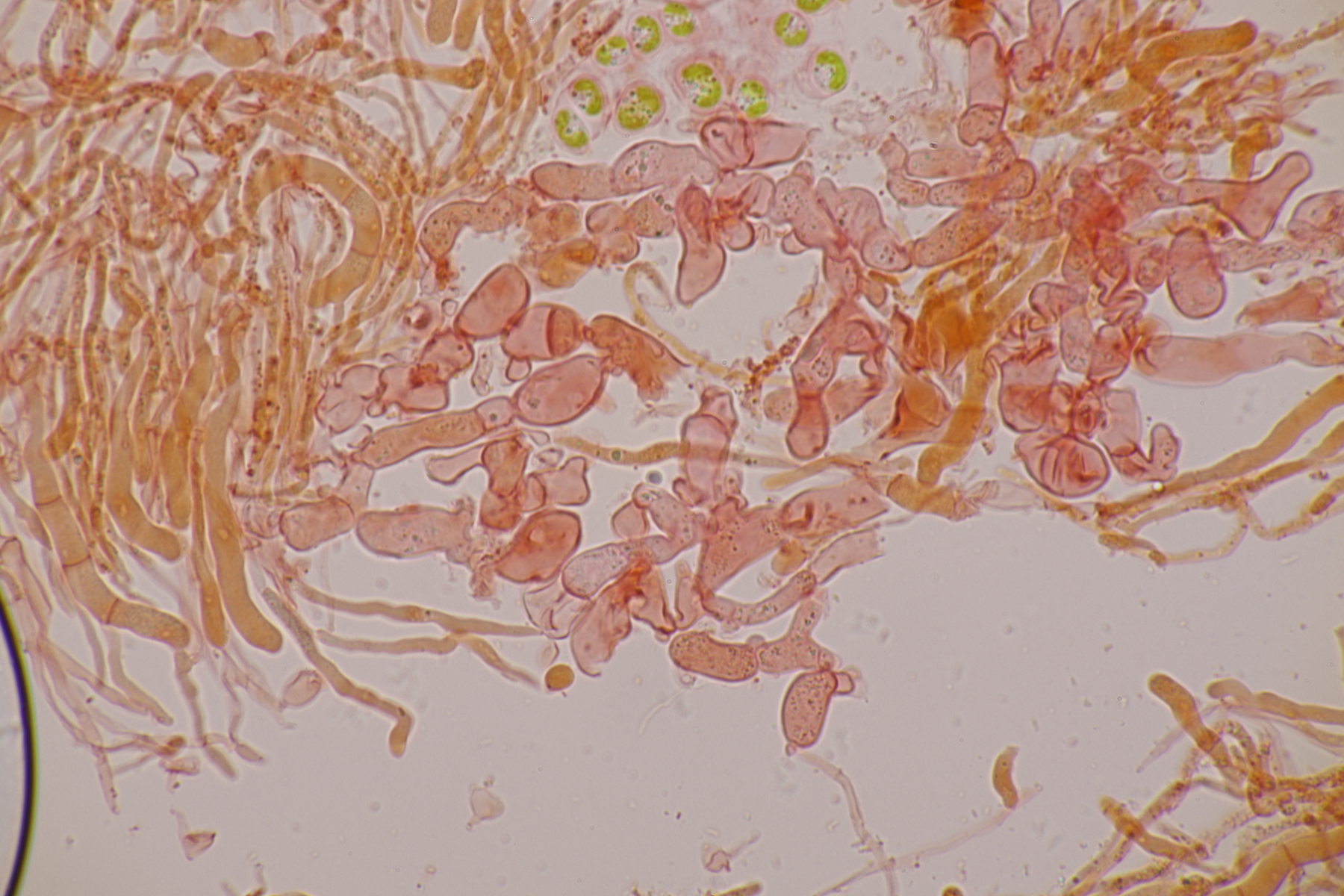
2. Ein weißer Heterobasidiomycet. Im Subikulum sind recht dickwandige, breite Zellen mit Schnallen vorhanden, dazu auriculariode Basidien mit vier langen Sterigmen. Mit dem Phragmoschlüssel der Niederländer lande ich dann bei Colacogloea effusa. Der soll aber an Peniophorella praetermissa parasitieren und die ist hier weit und breit nicht zu sehen.
3. Octospora musci-muralis an Grimmia pulvinata
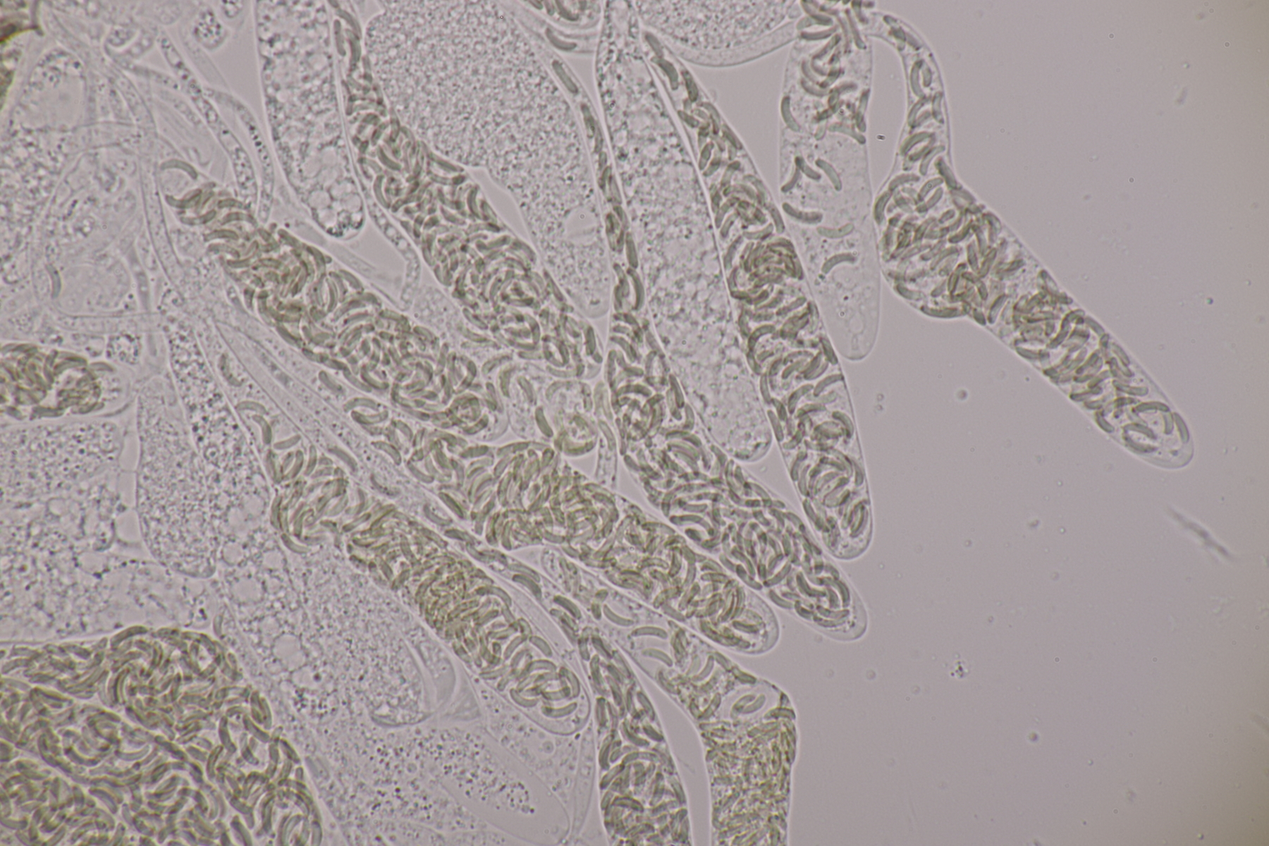
4. Diatrypella favacea an Betula sp.
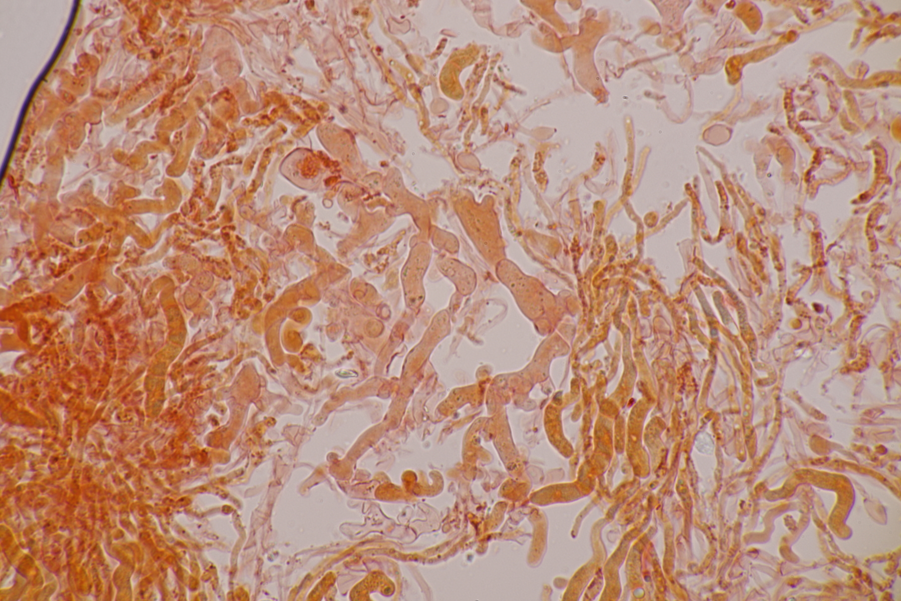
5. Merismodes/Cyphellopsis confusa
6. Im Feld dachte ich erstmal an Lophodermium, aber dann wurde ich bei diesen kleinen Pilzen an Pinus strobus eines Besseren belehrt: Meloderma desmazieri
Björn
