Hallo,
hier kommen die letzten beiden Pilze für heute.
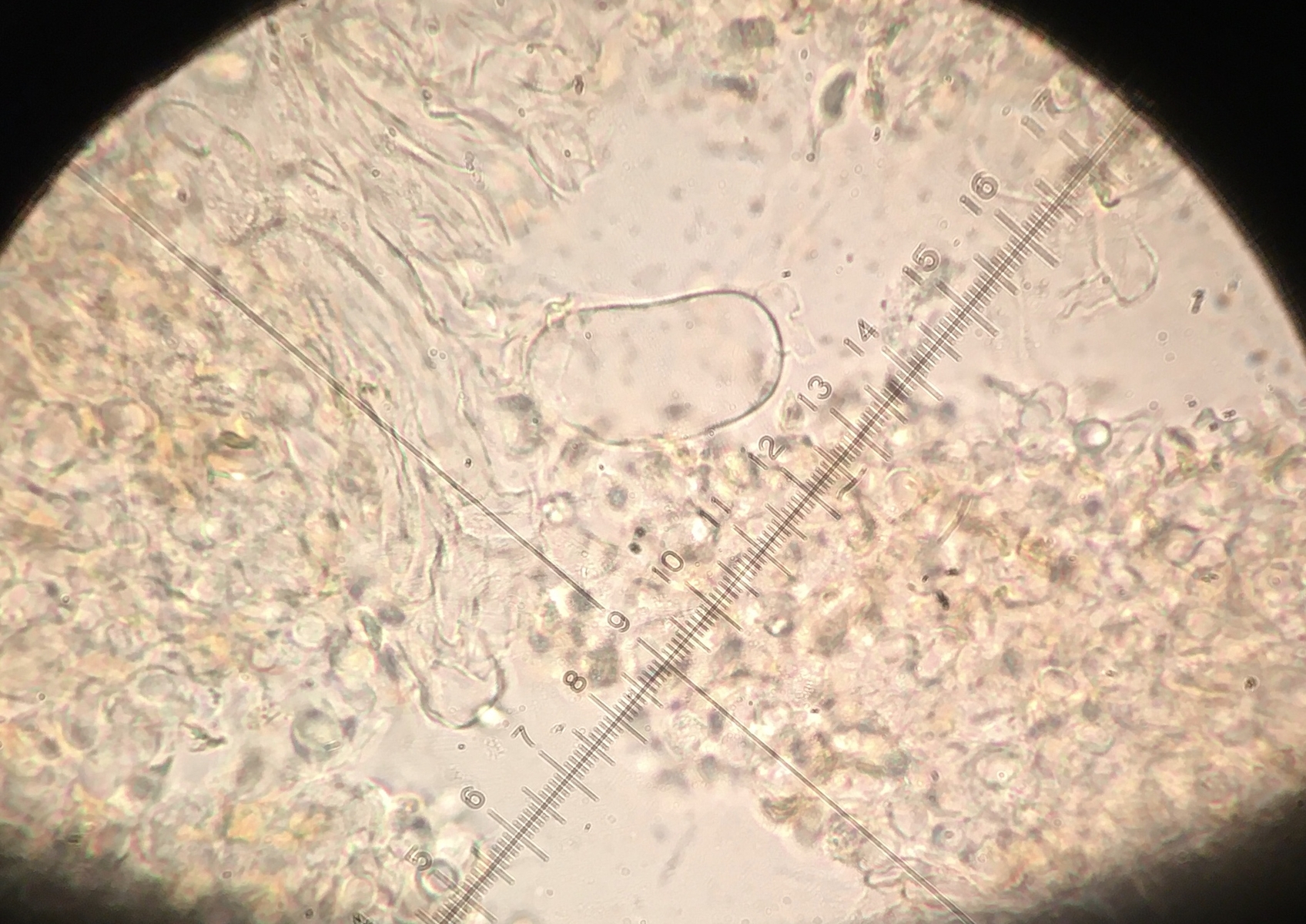
Den ersten Winzling halte ich für Tubaria minutalis. Die Sporen messen 5-7 x 3-3,5
Beim zweiten komm ich gar nicht weiter. Er hat einen rüblingsähnlichen Habitus, doch das Sporenpulver ist farbig, man sieht es am Hutrand. Er wuchs bei einer Platane und ist geruchlos. Die Sporen messen 6-8 x 3,8-5. Möglcherweise eine Entoloma?
2ADAAD86-055D-4FE9-8947-A57065031925.jpeg
LG
romana
