Hallo zusammen,
ich habe hier einen Altfund, den ich am 09.08.21 auf einem Ast einer Esche finden konnte.
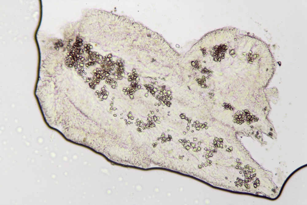
Es gibt keine KOH Reaktion, Zystiden sind vorhanden und es gibt auch reichlich Kristalle die nicht KOH löslich sind.
Vor 2 Jahren konnte ich eine ähnliche Mycoacia finden, die sich als Mycoacia uda herausgestellt hatte (Siehe hier), vielleicht wieder M. uda ?
Hier sind die Bilder:
1.
2.
3. inkrustierte Hyphen
4. Zystiden
5.
Was meint ihr dazu ? Tomentella
VG : Thorben
