Rötlicher sehr fester Schleimpilz (?)
- romana
- Erledigt
Es gibt 4 Antworten in diesem Thema, welches 1.563 mal aufgerufen wurde. Der letzte Beitrag () ist von romana.
-
-
Hallo Romana,
Dein Fund sieht schon etwas merkwürdig aus.
Wenn Du aber schreibst, das Innere wäre mit grauem Sporenstaub gefüllt und der Fruchtkörper hätte eine dicke Peridie würde ich auf Lycogala flavofuscum tippen. Sonst sehen die Fruchtkörper dieser Art eigentlich mehr grau aus. Vielleicht ist die Entwicklung gestört worden (durch zu viel Feuchtigkeit oder ähnliches). Deshalb müßte der Fruchtkörper mikroskopiert werden, um das zu bestätigen.
LG Ulla
-
-
Hallo Romana,
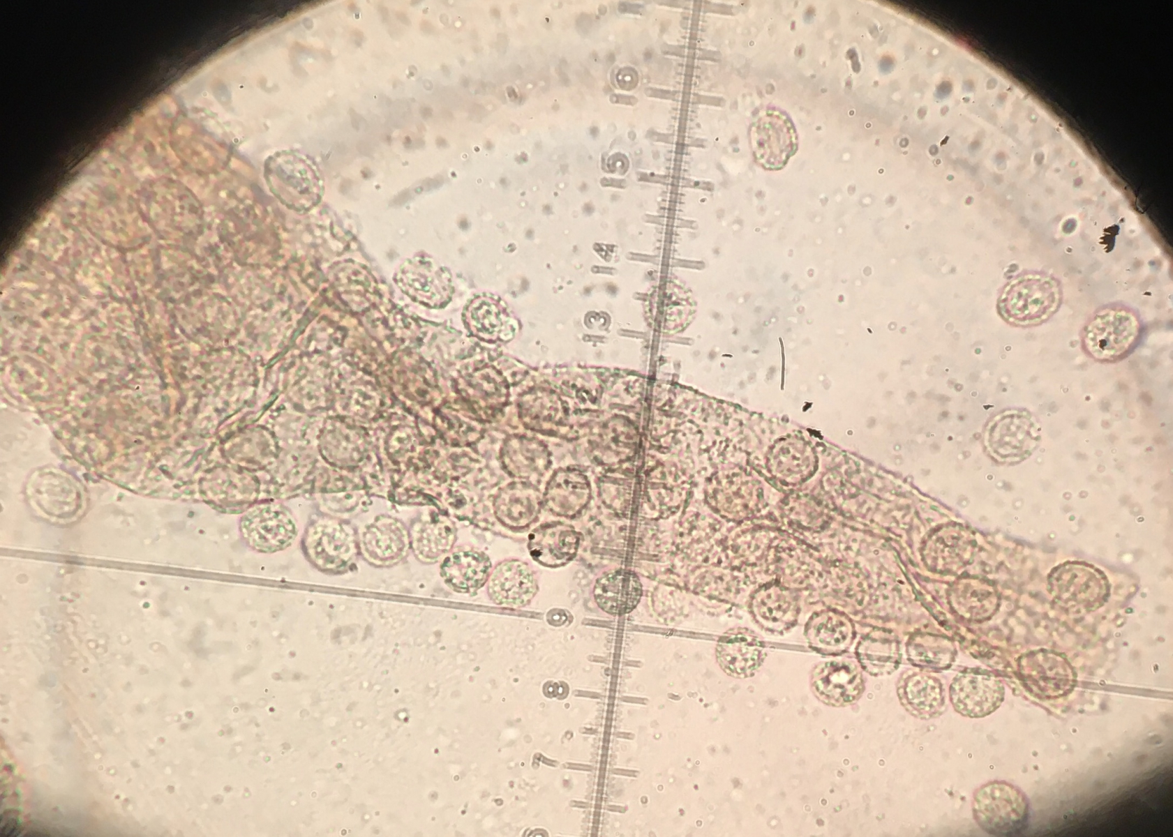
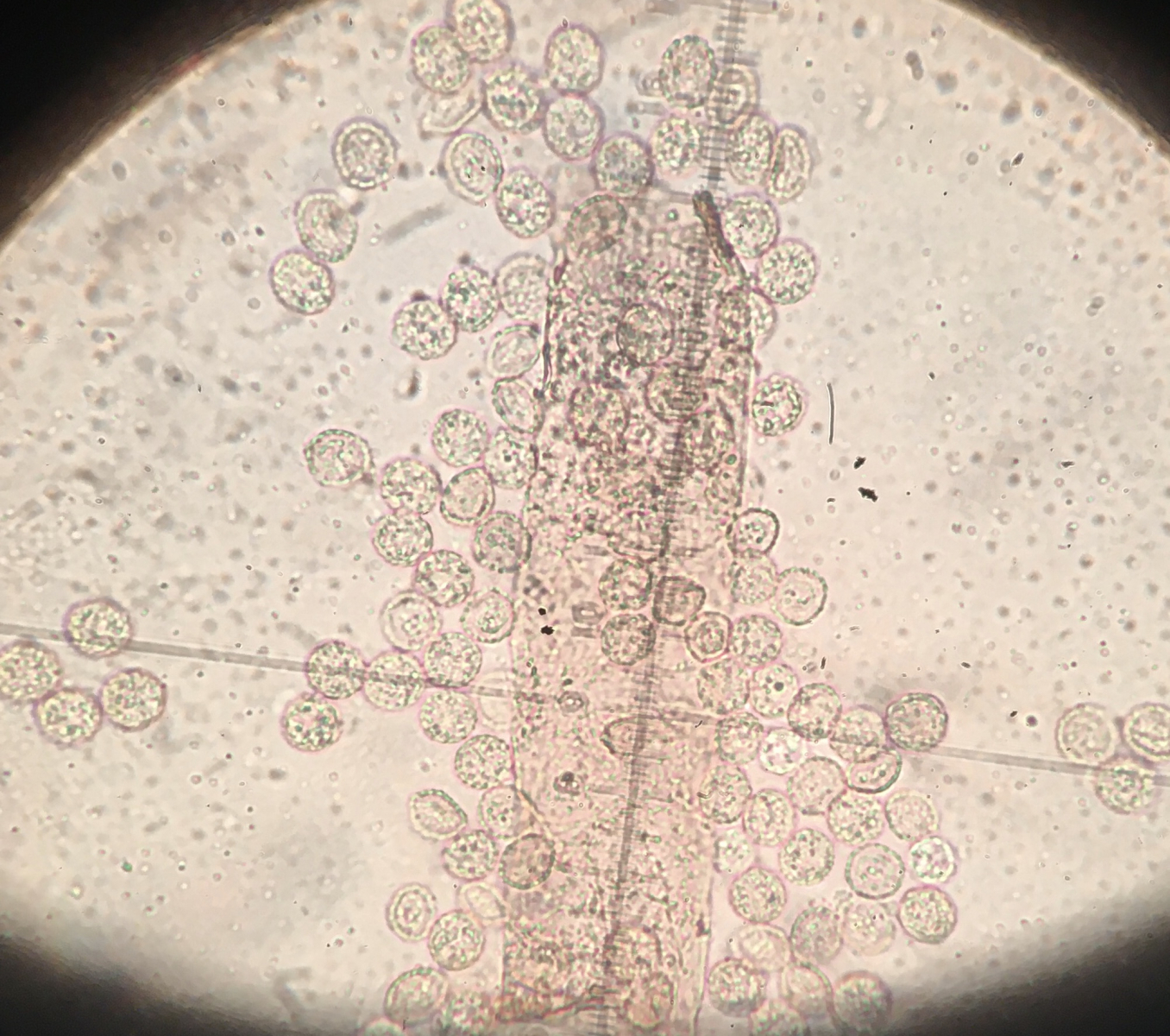
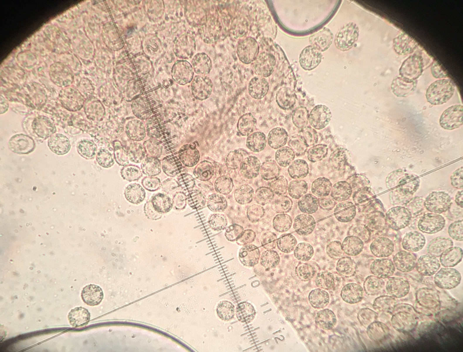
ja die Sporengröße paßt. Die Skulptur sollte ein kleinmaschiges Netz aus Graten und Stacheln sein. Das kann man auch erahnen.
Dann sieht man auf Deinen Fotos auch noch das Pseudocapillitium aus dicken röhrenförmigen Gebilden.
Deshalb denke ich, das paßt!
Schöner Fund. Trotz der Größe der Fruchtkörper ist die Art nicht so häufig.
Allerdings sind Deine Fruchtkörper eben etwas gestört, sonst sind sie mehr grau.
LG Ulla
-
Hallo Ulla,
vielen Dank für die Bestimmung und die Erläuterungen! Der wird dann wohl ins Herbar der ÖMG kommen.
LG
romana
