Hallo zusammen,
letzten Samstag ging es trotz Schauerwetter am Vormittag auf eine kleine Runde ins Rotbachtal an der Stadtgrenze Bottrop/Oberhausen. Trotz feuchter Witterung war pilztechnisch sehr wenig los. Es gab aber dann trotzdem auch ein paar Highlights, die alles wieder rausgerissen haben.
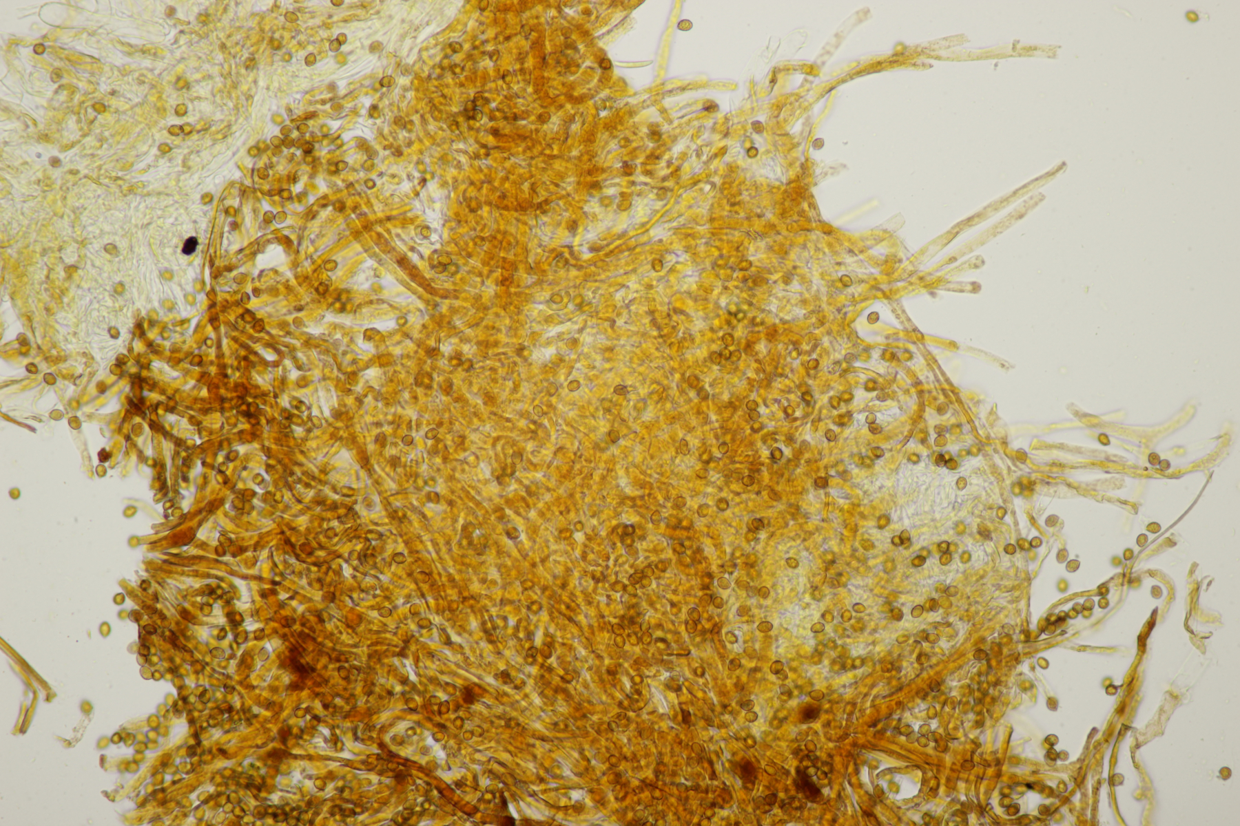
1. Volvariella bombycina
Huthaut
Lamelle
Volva
Sporen
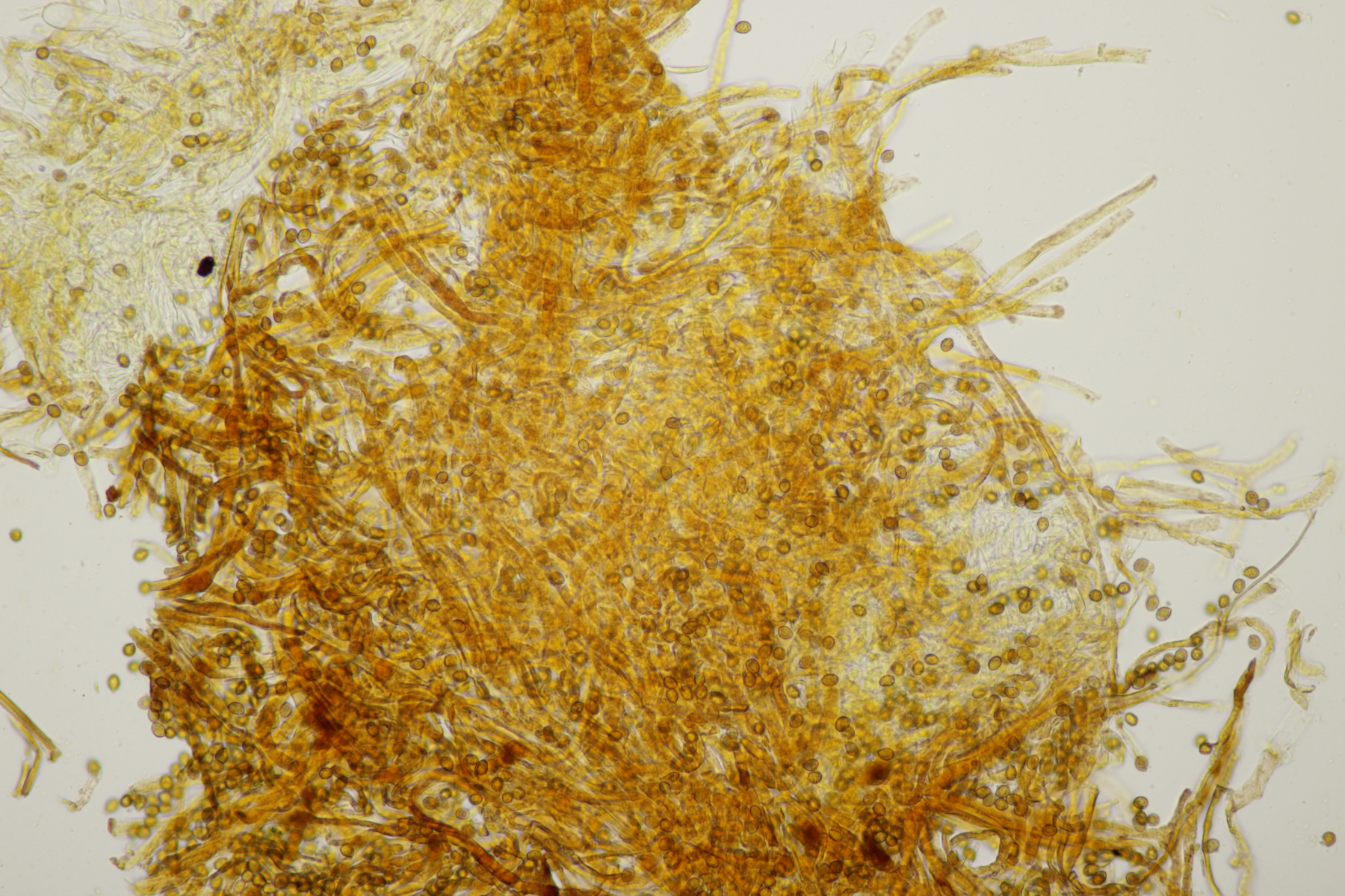
2. Von Cortinarien habe ich ja keine Ahnung, aber den hier würde ich gerne als Cortinarius bolaris ansprechen wollen.
Huthaut
Basidien
Sporen
3. Ramularia urticae ex Urtica dioica
4. Delicatula integrella
5. Eine Lorchel. Das sollte irgendwas um Helvella elastica sein, aber ich muß gestehen, daß ich mit dem Skrede-Schlüssel so gar nicht warm werde...
Björn
