Hallo zusammen,
am letzten Sonntag war mal wieder eine APR-Exkursion angesetzt. Leider dachte ich, daß wir auf die Halde Lipper Höhe gehen würden, während wir tatsächlich im Asbachtal unterwegs waren. Da war ich dann ziemlich alleine auf der Halde unterwegs. Gelohnt hat es sich aber trotzdem, denn es gab etliche schöne Funde.
1. Pseudoboletus parasiticus
Röhren
Stiel
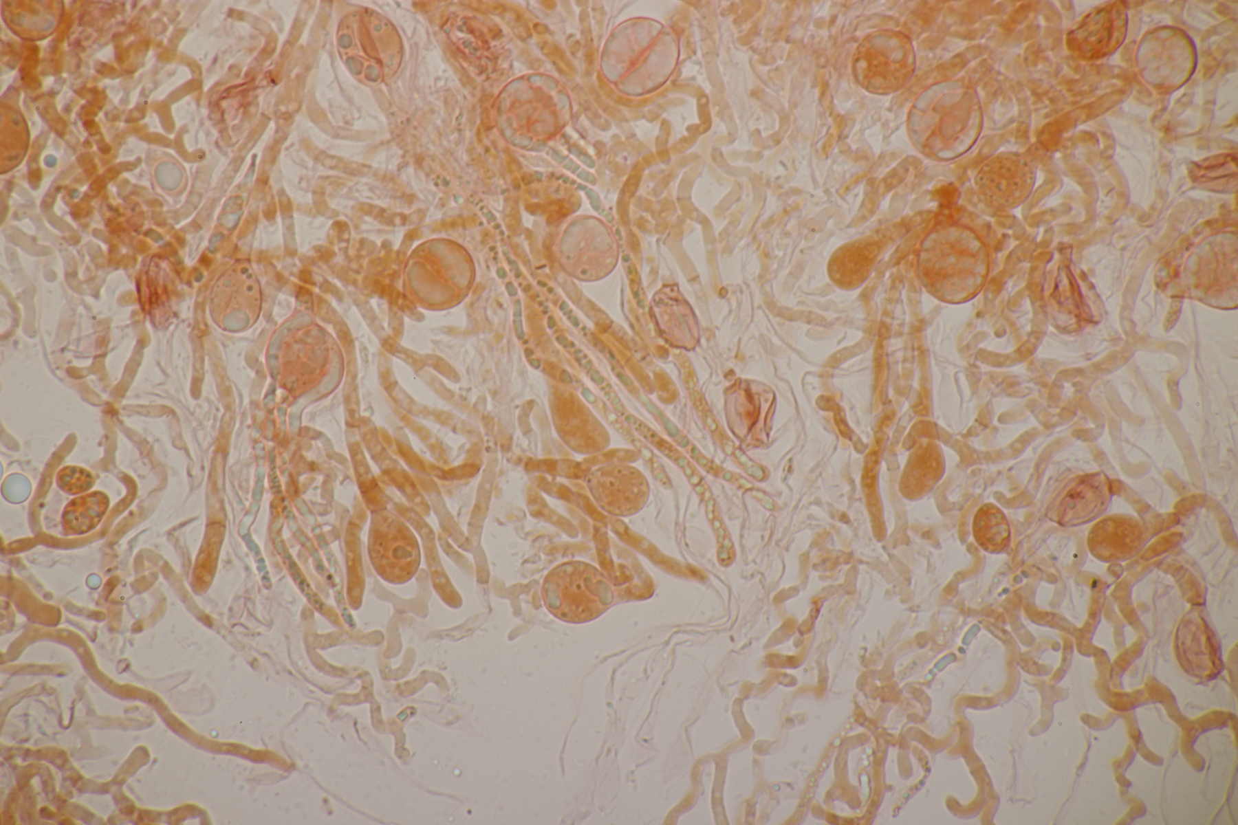
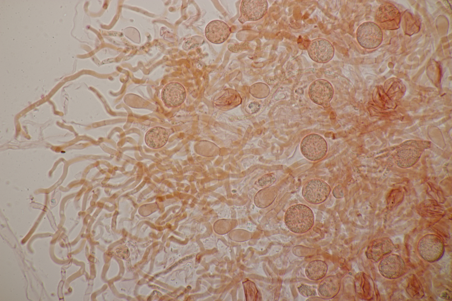
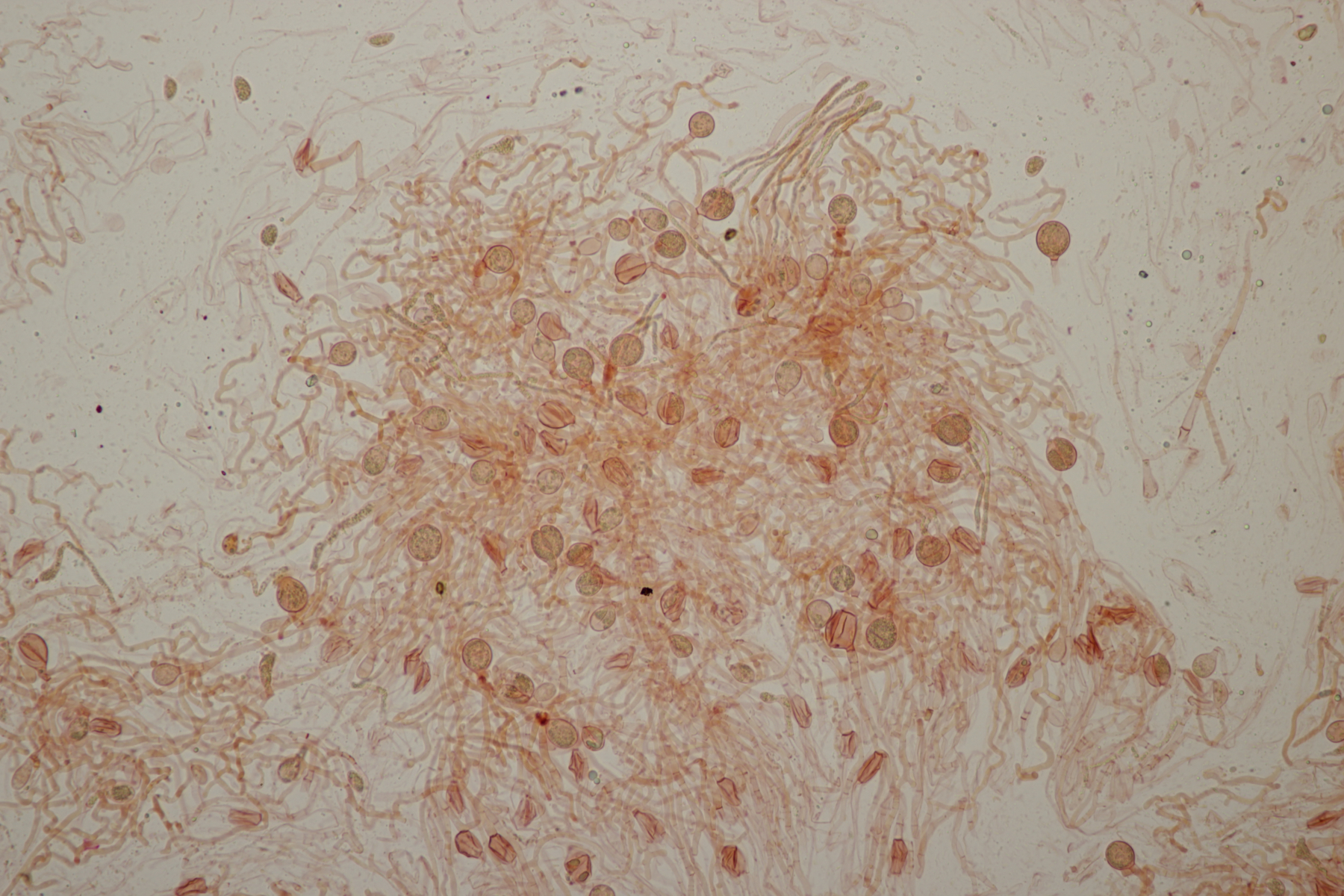
Huthaut
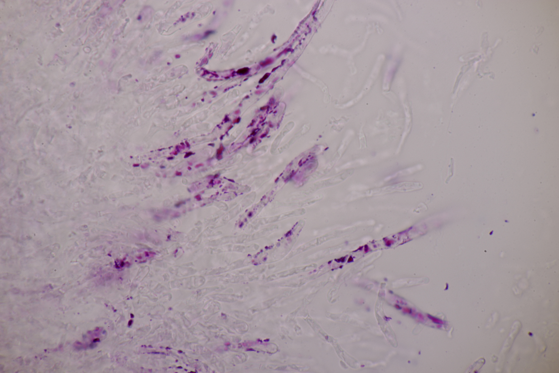
Sporen
2. Russula claroflava
3. Russula velenovskyi
4. Sebacina incrustans
5. Uromyces silphii ex Juncus tenuis agg.
6. Leccinum scabrum
7. Lactarius helvus
8. Boletus edulis
Björn
