Huhu.
Den folgenden Pilz habe ich eben im Online-Treffen schon mal durchs Bild gezogen. Schupfnudeline ist zwischenzeitlich ins Bett, also habe ich mich nochmal kurz ans Mikro gehangen, da Karl W meinte, dass bei meiner vermuteten Art die Cheilos ganz spannend wären.
Aber von vorne.
Fundort war am Wegrand in Laub-Detritus.
Ziemlich große, dünnstielige Pilze mit gräulichen Lamellen und runzeligem Hut. Erinnert daher ein wenig an Langunddünn, wie Wutzi auch bemerkte. Ich hatte im Feld dann schonmal fix gegoogled ob Agrocybe arvalis, der mir als erstes einfiel passen könnte. Ein Sklerotium konnte ich aber leider nicht finden, obwohl ich sie recht tief gerüpft habe. Irgendeine komische Hypholoma wäre meine Alternativ-Idee gewesen.
Jede Menge Myzelfilz:
Sieht alles ziemlich ackerlingsartig aus, finde ich. Den kleinen Helmling mit der Basalscheibe habe ich lieber mal vor Ort gelassen.
Geruch unbedeutend. Sporenabwurf läuft.
Hut hygrophan und feinrunzelig, was beim flüchtigen Hinschauen am Frischpilz aber gar nicht so sehr auffällt.
So, also Cheilos angucken. Die sehen aber gar nicht mal so spannend aus. ![]()
Also nochmal nachgelesen. Die Pileozystiden sollen für Agrocybe ungewöhnlich sein. Na gut, dann gucke ich eben die an. "Kurze bis lange fingerförmige Auswüchse" sollen die haben. Huthautschnitt zählt nun auch nicht gerade zu meinen Parade-Disziplinen. Beim 4. Schnitt habe ich dann endlich was zystidiges gefunden. Ich hoffe mal, das sind auch welche. Nur geht das doch nicht als fingerförmige Auswüchse durch?
Die sehen aber irgendwie nicht so aus, wie Ludwig und die FN sie abbilden oder sie hier gezeigt werden und das verwirrt mich nun. Ludwig schreibt aber auch "selten ohne" - ich glaube das bezieht sich auf die fingerförmigen Auswüchse. Habe ich nun hier gar keine Pileozystiden abgebildet, eine fingerlose Version erwischt oder einen ganz anderen Pilz? Eigentlich war ich mir fast schon sicher...
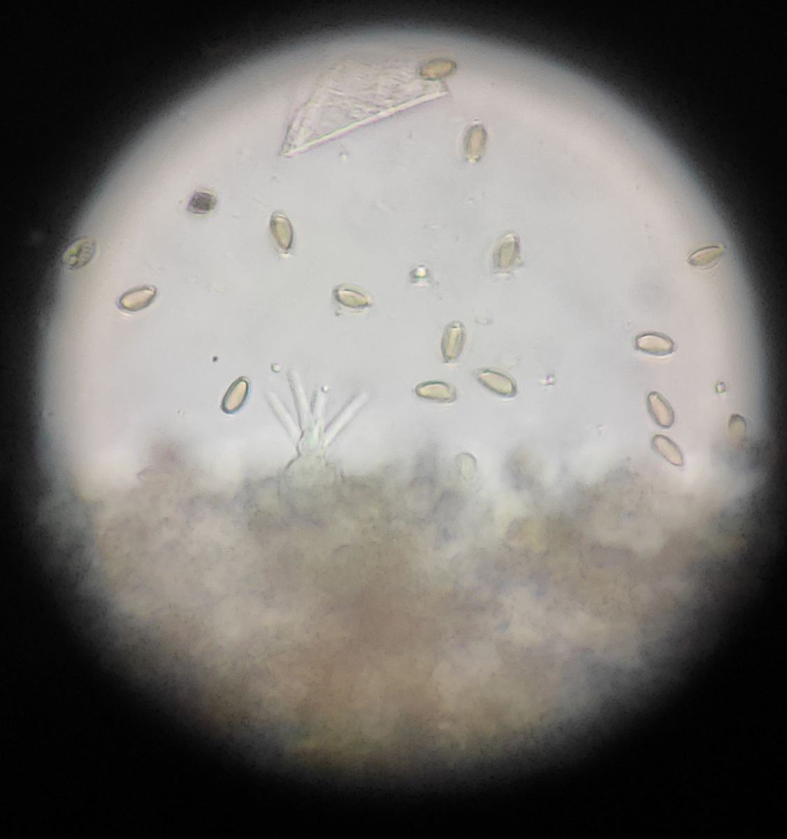
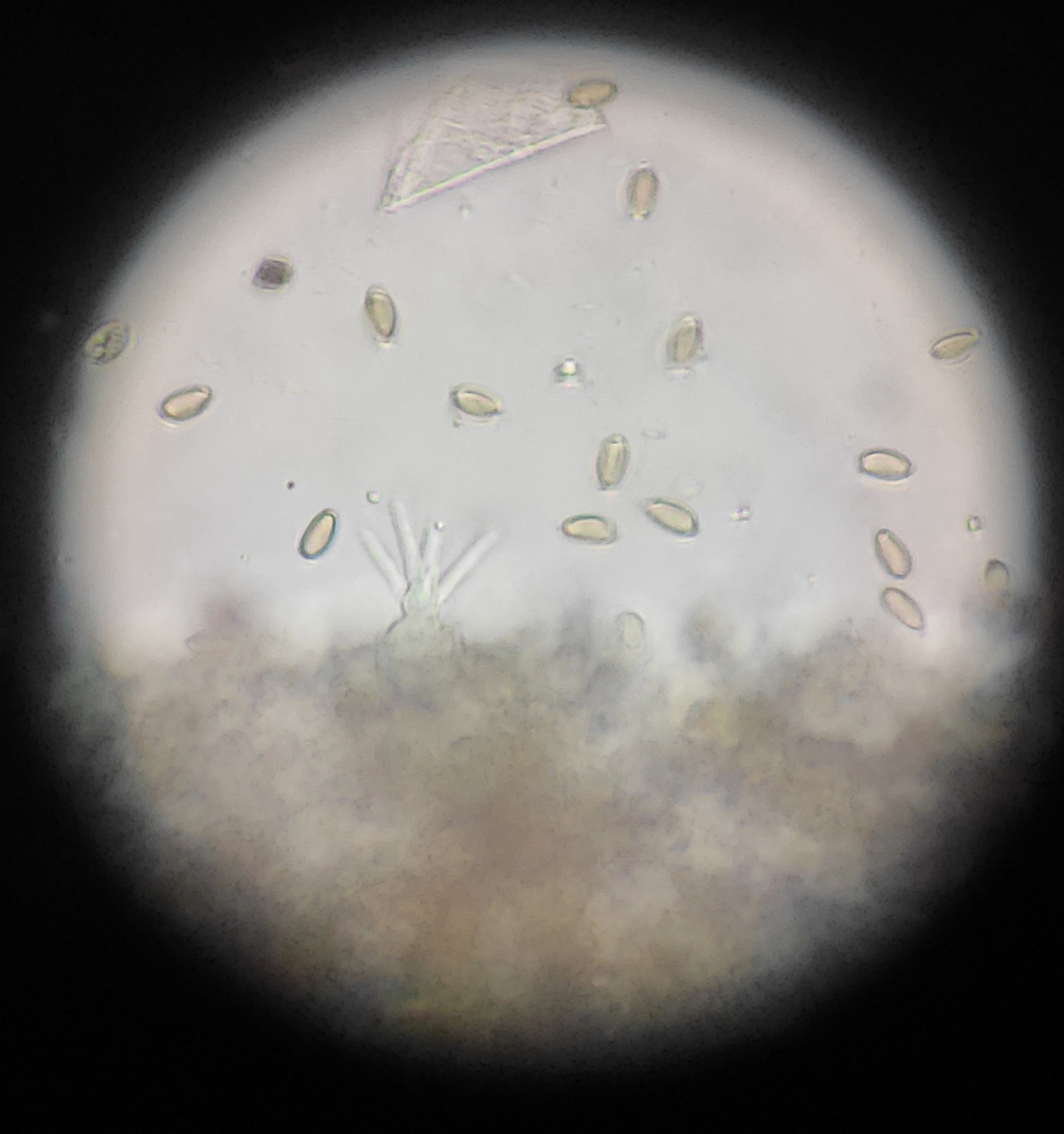
Noch die Sporen:
Danke.
LG,
Schupfi
