Tremella versicolor auf Peniophora spec.?

Es gibt 6 Antworten in diesem Thema, welches 2.890 mal aufgerufen wurde. Der letzte Beitrag () ist von PhilEsc.

  • Grüezi


    Ich habe zwei neue Spielzeuge. Zum einen habe ich gemerkt, dass ich mit der Olympus Tough TG-5 meiner Freundin ganz passable Makroaufnahmen machen kann ohne dass ich mich gross mit Fotografie auseinandersetzen muss. Die Kamera kann ich über ein iPad bedienen was ich ziemlich cool finde. Zum anderen hat sie eine Moticam S3 zu ihrem Motic BA310 gekauft und mir das ganze zur Benutzung überlassen. Ich habe jetzt also ein besseres Mikroskop und eine andere Software zur Verfügung, kann aber noch nicht so ganz damit umgehen... Ich weiss zum Beispiel noch nicht wie man einen Massstab einfügen kann. 8o


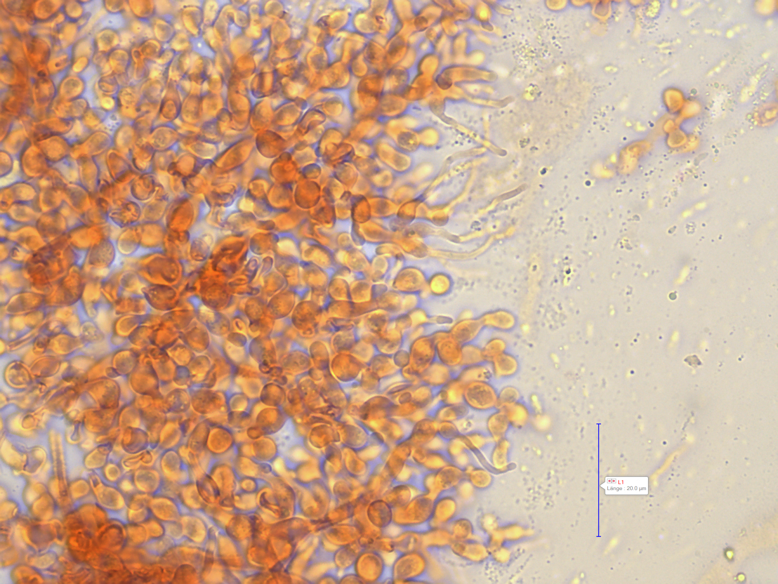
    Gestern habe ich dieses Stöckchen gefunden. Substrat kenne ich nicht, könnte ich aber in Erfahrung bringen, ist fast vor der Haustüre. Ich dachte im Feld die kleinen gelben Punkte seien irgendein Ascomycet. Ist es aber nicht. Ich denke aber dass es Tremella versicolor ist. Kann das jemand bestätigen?


    Der Wirt müsste eine Peiniophora sein, sieht aus wie Peniophora lycii. Ich habe gelesen, dass es nahezu unmöglich sei, Vertreter dieser Gattung genauer zu bestimmen, deshalb habe ich es bis jetzt auch nicht wirklich versucht. Stimmt das?



  • Servus Philipp,


    das kann schon gut eine junge Tremella versicolor sein. Später färbt sie zu braun um (Name!). Ohne Mikroskop würde ich da aber nichts sagen wollen. Wenn, dann hast du hier die reine Nebenfruchtform (Konidienträger, keine Basidien).


    Peniophora ist gut bearbeitet und die Arten eigentlich gut bestimmbar, wenn sie reif sind (Sporen) und alt genug (alle Cystodentypen ausgeprägt). Schwierig ist die Präaparation, da die Geflechte sehr dicht sind und verkittet, was eine Analyse erschwert. Das ist bei einigen Russulales so (bei den corticioiden), dass sie schwer analysierbar sind. Hast du aber die Merkmale, dann kannst du gut bestimmen. Oft reichen aber wenige Merkmale bei Peniophora aus.


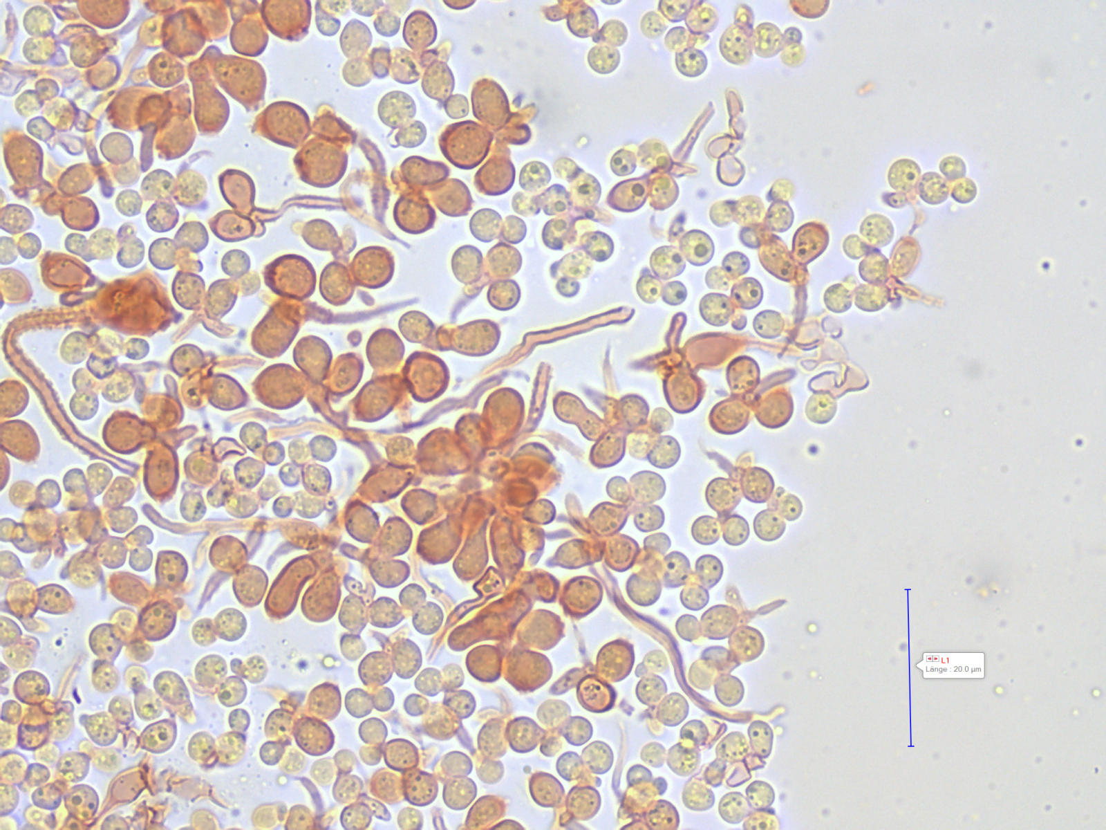
    Ich traue mir nicht zu, Peniophora lycii makroskopisch zu erkennen. Im Mikroskop reicht ein Blick (schöne Bäumchen).


    Kleine Tremella-Arten sind nicht immer bestimmbar, da sicher noch einige Arten nicht beschrieben sind. Aber Tremella versicolor parasitiert m.W. nur Peniophora , was die Bestimmung erleichtert.


    Liebe Grüße,

    Christoph

  • Hi

    Ohne Mikroskop würde ich da aber nichts sagen wollen.

    Mikrobilder sind im Spoiler. :)


    Ich packe meine Mikrobilder meistens in einen Spoiler weil ich es nicht besonders mag wenn zu viele Bilder in einem Beitrag sind. Am Händi kann das recht mühsam sein. Aber vielfach werden sie dann im Spoiler übersehen...


    Und ja, Basidien habe ich keine gesehen.

  • Mikrobilder sind im Spoiler. :)

    Ah... hatte ich in der Tat übersehen. So habe ich keinerlei Einwände gegen Tremella versicolor. Passt sehr gut.


    Liebe Grüße,

    Christoph

  • Nice, dann werde ich einen Eintrag im Verbreitungsatlas machen und dem WSL ein Exsikkat abliefern. Ist anscheinend ein Erstnachweis für die Schweiz.


    Mit Bäumchen meinst du Lamprozystiden? Ich habe das Präparat versucht zu quetschen aber die sind dann alle verschwunden... Sporen habe ich keine gesehen.


  • Servus Philipp,


    Lamprocystiden haben die meisten Peniophora-Arten. Bei Peniophora lycii bilden die Lamprocystiden an der Spitze auffallende Bäumchen, sind dendroid verzweigt. Das ist hier nicht der Fall. Damit ist es sicher nicht P. lycii. Eine Peniophora aber auf alle Fälle.


    Liebe Grüße,

    Christoph