Hallo zusammen,
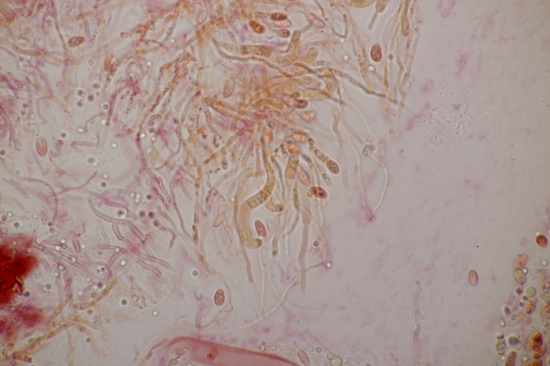
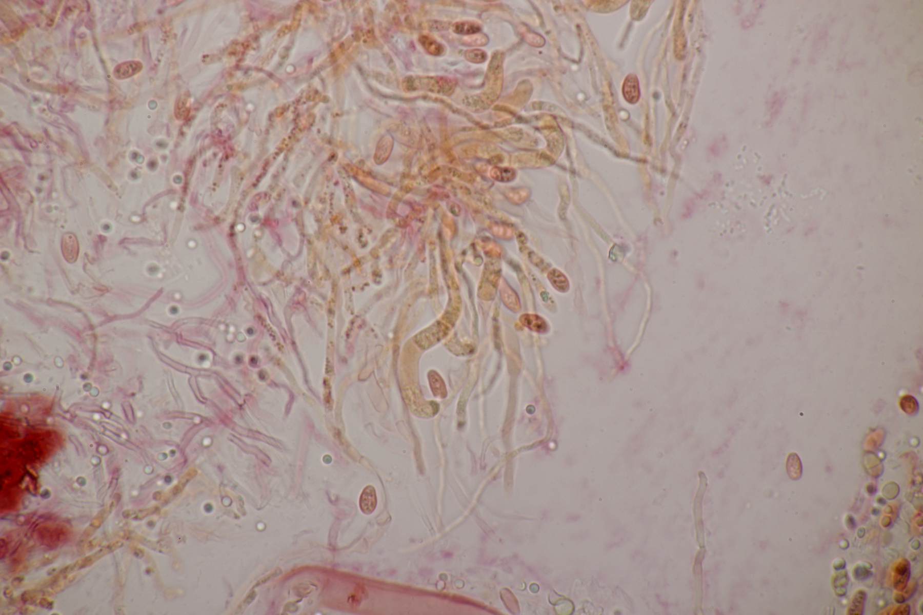
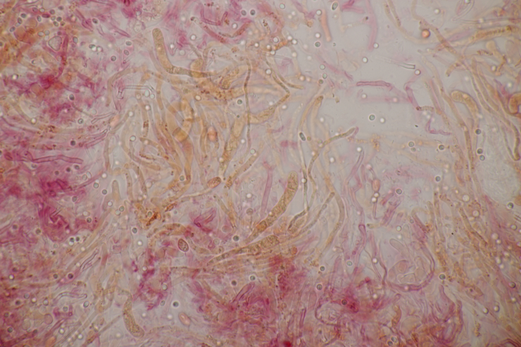
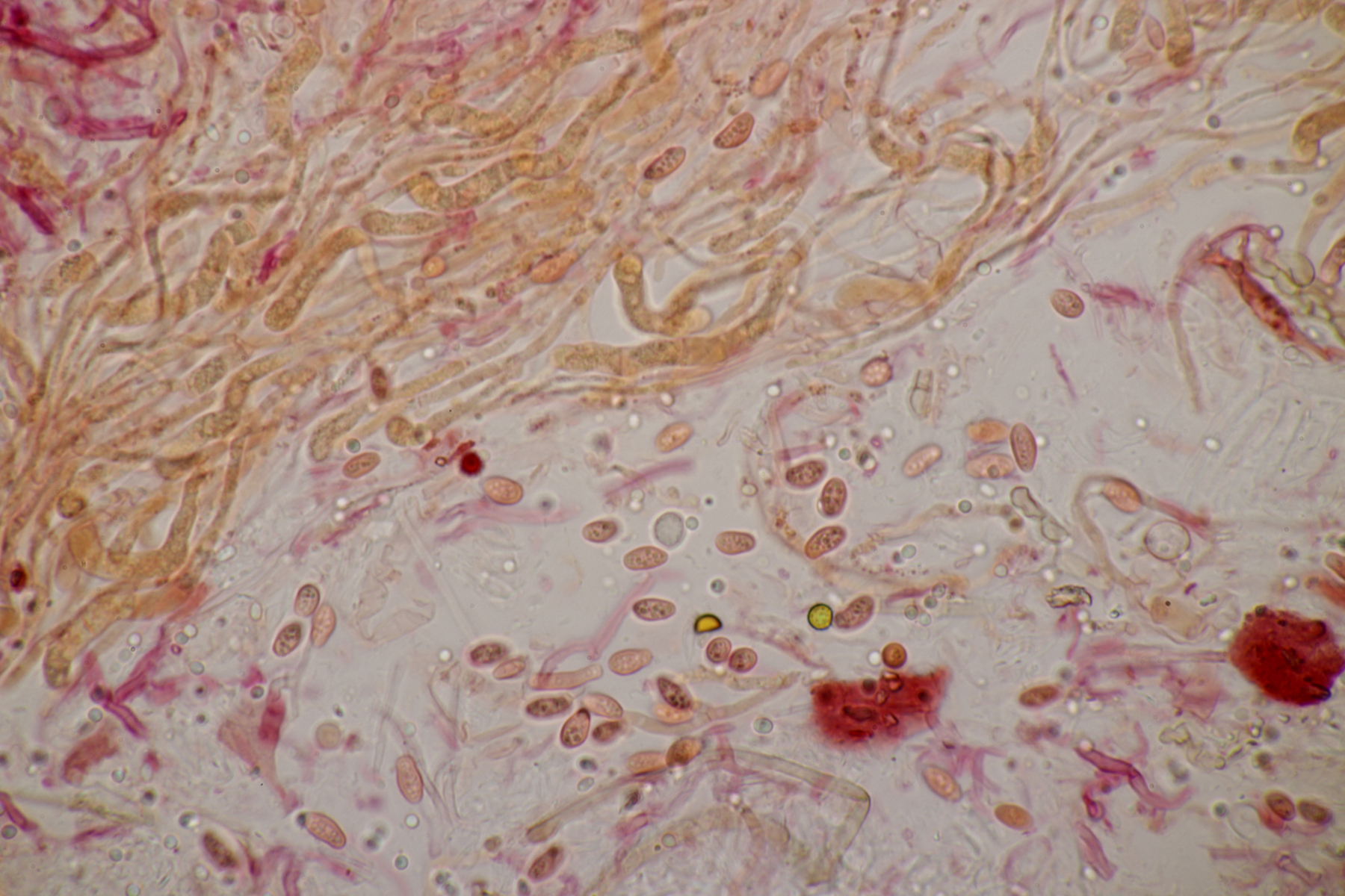
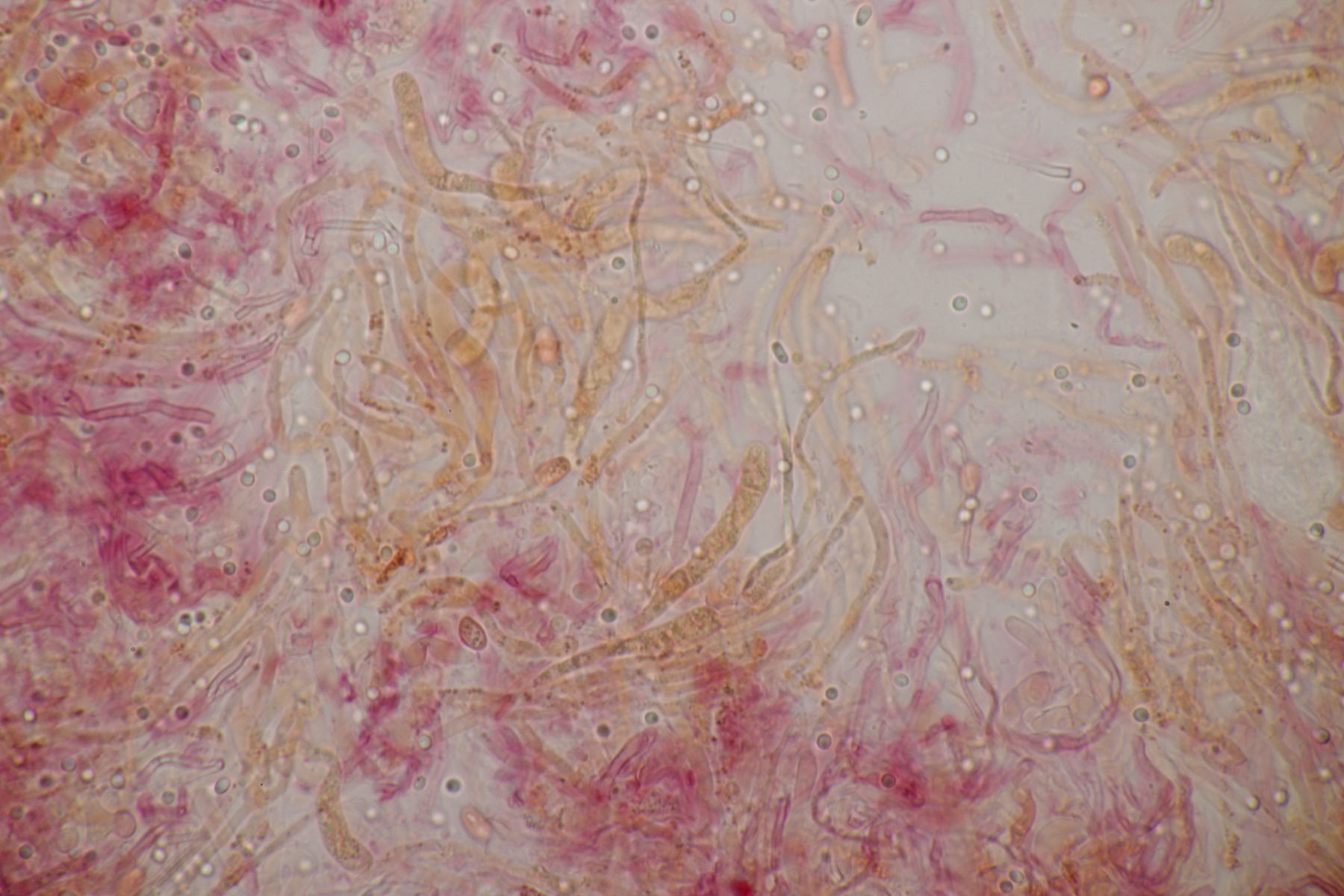
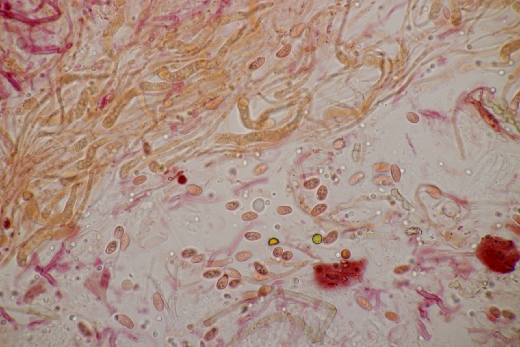
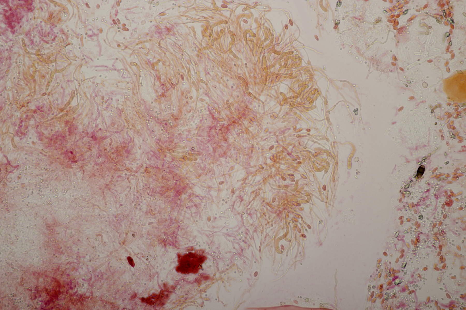
am letzten Samstag war ich in der Nähe von Hinsbeck im NSG Krickenbecker Seen unterwegs. Dabei habe ich unter anderem diesen Pilz hier gefunden, bei dem ich nicht so richtig zum Ziel komme und Euch um Rat fragen wollte. Makroskopisch sah das auf den ersten Blick nach einem der zahlreichen weißen Rindenpilze auf der Unterseite eines am Boden liegenden Birkenstammes aus. Beim zweiten Blick fielen mir dann aber kleine gelbe Knubbel darauf auf. Nun gibt es ja einige Heterobasidiomyceten, die auf anderen Pilze parasitieren und dabei sehr unscheinbare Fruchtkörper bilden. Also hatte ich ein Stück eingepackt und zu Hause unters Mikrokop gelegt. Dort die Überraschung: Von einem normalen Rindenpilz war weit und breit nichts zu sehen. Stattdessen gab es einerseits eine Anamorphe mit Unmengen an winzigen, runden Konidien. Dazwischen dann aber tatsächlich ein Heterobasidiomycet mit Auricularioiden Basidien. Interessanterweise war es nicht so, daß die gelben Knubbel dem Heterobasidiomyceten und die weißen Stellen der Anamorphe entsprachen. Es war eher so, daß die gelben Knubbel wohl hauptsächlich Konidienmasse waren, während der Parasit dann überwiegend in den weißen Partien in der Anamorphe saß. Ob Anamorphe und Teleomorphe zusammengehören oder die Teleomorphe die Anamorphe parasitiert?
Sporenmaße sind (7.1+-0.4) µm x (3.8+-0.2) µm, Q=1.9+-0.2 bzw. (6.4-8.2) µm x (3.2-4.2) µm, Q=1.7-2.3. Schnallen sind vorhanden. Basidien sind 4-sporig. Ich hab versucht mit dem Schlüsseln von Phragmoproject zu arbeiten (die übrigens ganz grundsätzlich sehr zu empfehlen sind), aber habe da bislang noch keinen durchschlagenden Erfolg. Mit dem Generalschlüssel würde ich am ehesten bei Achroomyces s.l. landen, aber da lande ich dann keinen guten Treffer.
Björn
