Hallo zusammen,
ich habe am 09.11.2020 eine Tricholomopsis rutilans eingesammelt.
Da sie in den Portraits noch fehlt, mache ich mal dazu einen Thread auf.
Hier sind die Bilder dazu:
1.
2.
3.
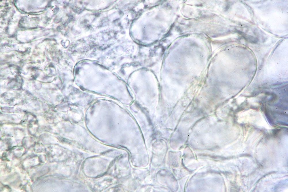
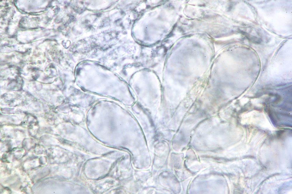
4. Cheilozystiden
5. Cheilozystiden
6. Cheilozystiden (manche mit Auswüchsen)
7. HDS
8. HDS
9. HDS in KOH-3%
10.
VG : Thorben
