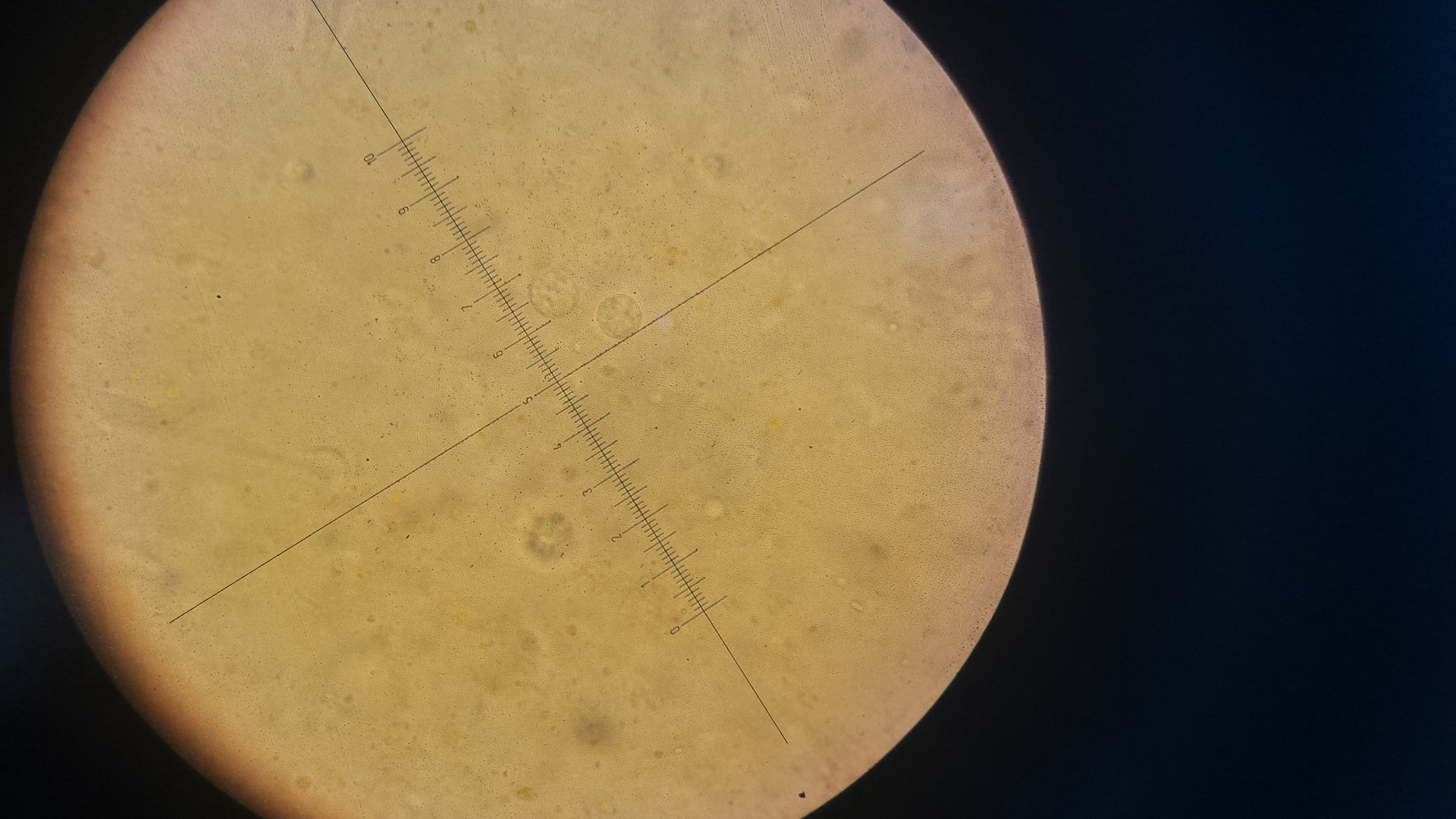
auf einer Probe Rinderdung kommen diese Dinger - leuchtend gelb, tropfenartig, ohne eigenen stiel, eher an Fasern aus dem Substratwachsend. Unter dem Mikroskop eine Masse an Konidien, ca 4-5 µm, fast rund. Die größeren Objekte könnten auch Nematodeneier sein, das Präparat wimmelte. Hat jemand eine Idee?
Imperfektes auf Rind
- Hagen Graebner
- Erledigt
Es gibt 2 Antworten in diesem Thema, welches 1.603 mal aufgerufen wurde. Der letzte Beitrag () ist von Hagen Graebner.
-
-
Hallo Hagen,
sind das eventuell Myxobakterien? Die finden sich gerne mal auf Dung und machen so einen anamorphen Eindruck.
Björn
-
Wenn ich mir z:b. das Bild bei wikipedia so anschaue, dann könnte das hinkommen. Auf einer Rinderdung-Probe (kein Kuhmist, es sind lauter Jungbullen) blüht gerade Pilobolus kleinii.
