Hallo zusammen,
am letzten Sonntag ging es mal wieder mit einer kleinen Gruppe in die Gruga. auch hier schießen die Pilze aktuell wie wild aus dem Boden, so daß wir unserer Artenliste einige neue Taxa hinzufügen konnten.
1. Podosphaera euphorbiae ex Euphorbia peplus
2. Leucoagaricus badhamii
Sporen in Wasser
Sporen in Melzer
Lamelle
3. Aleuria aurantia
Sporen
Sporen in Baumwollblau
Schläuche
4. Octosporopsis nicolai
5. Mycena crocata
6. Boletus edulis
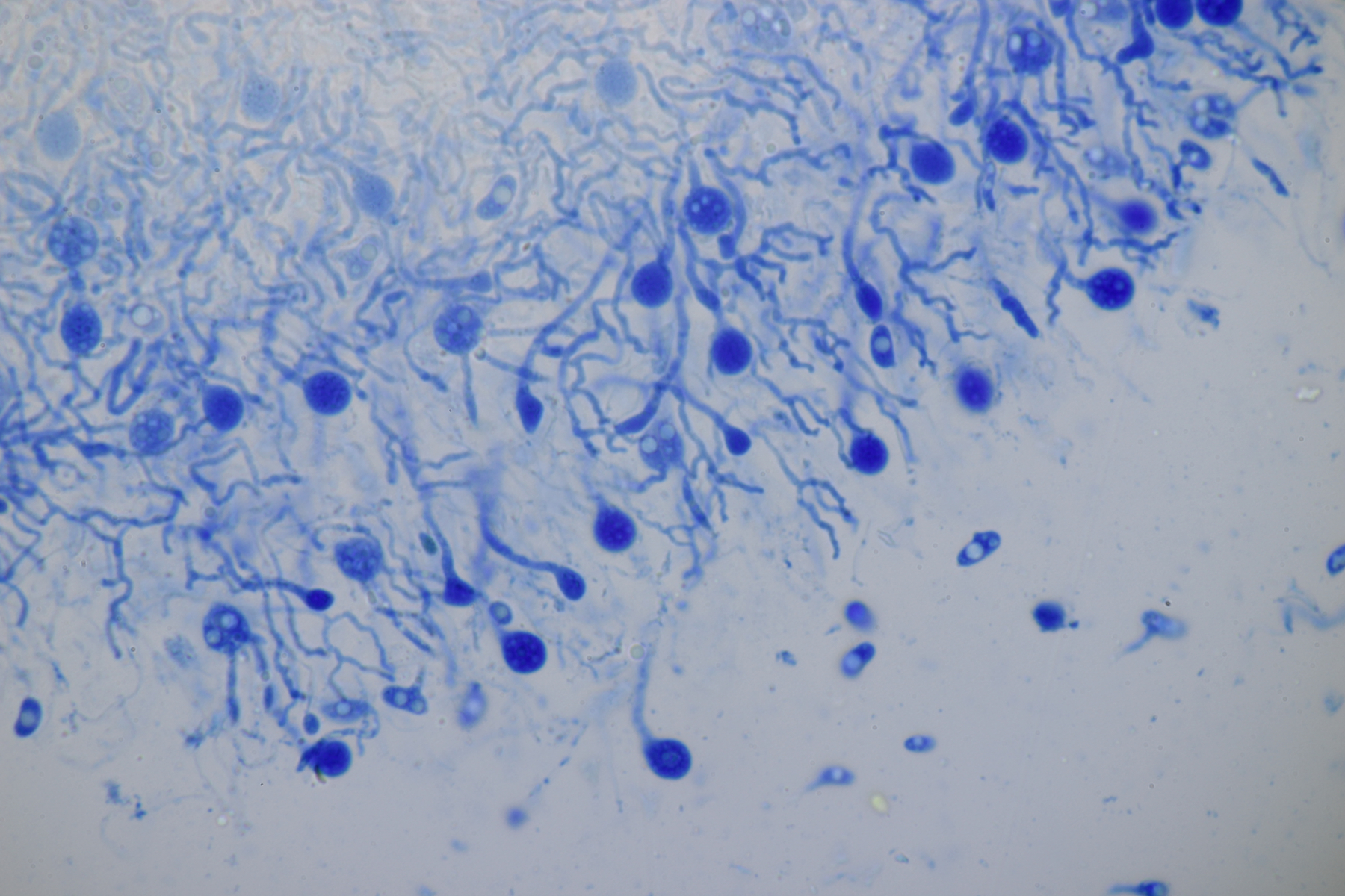
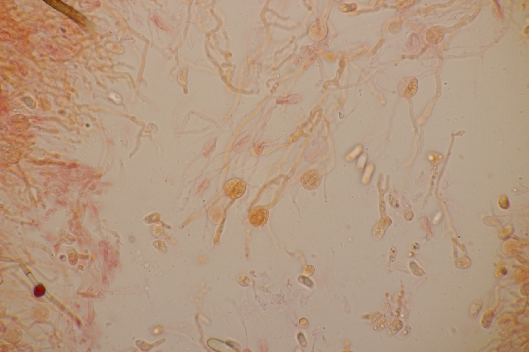
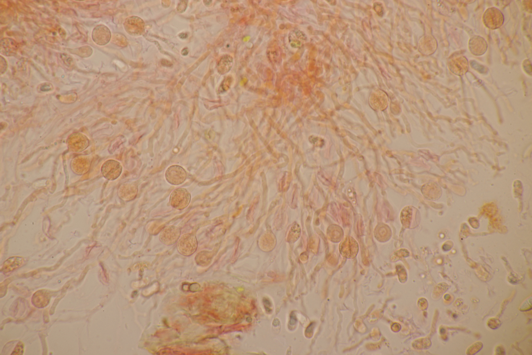
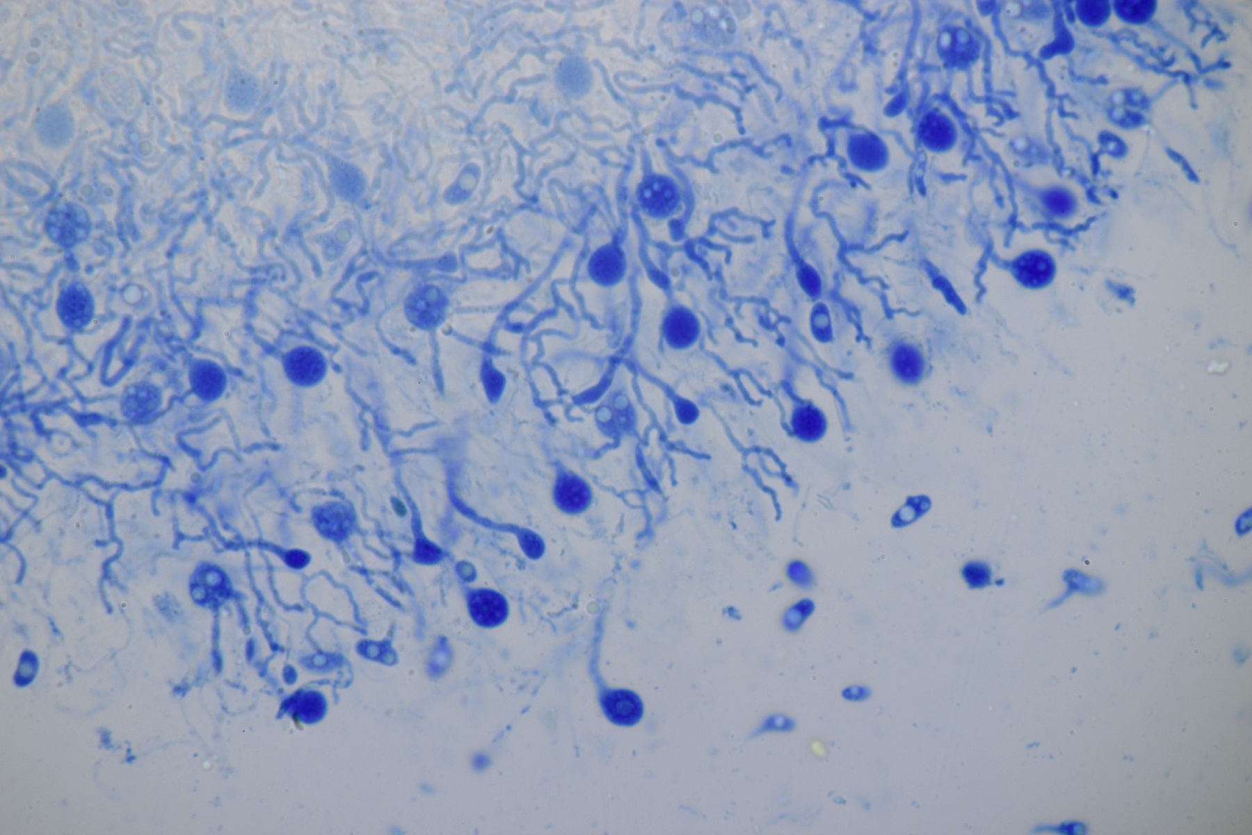
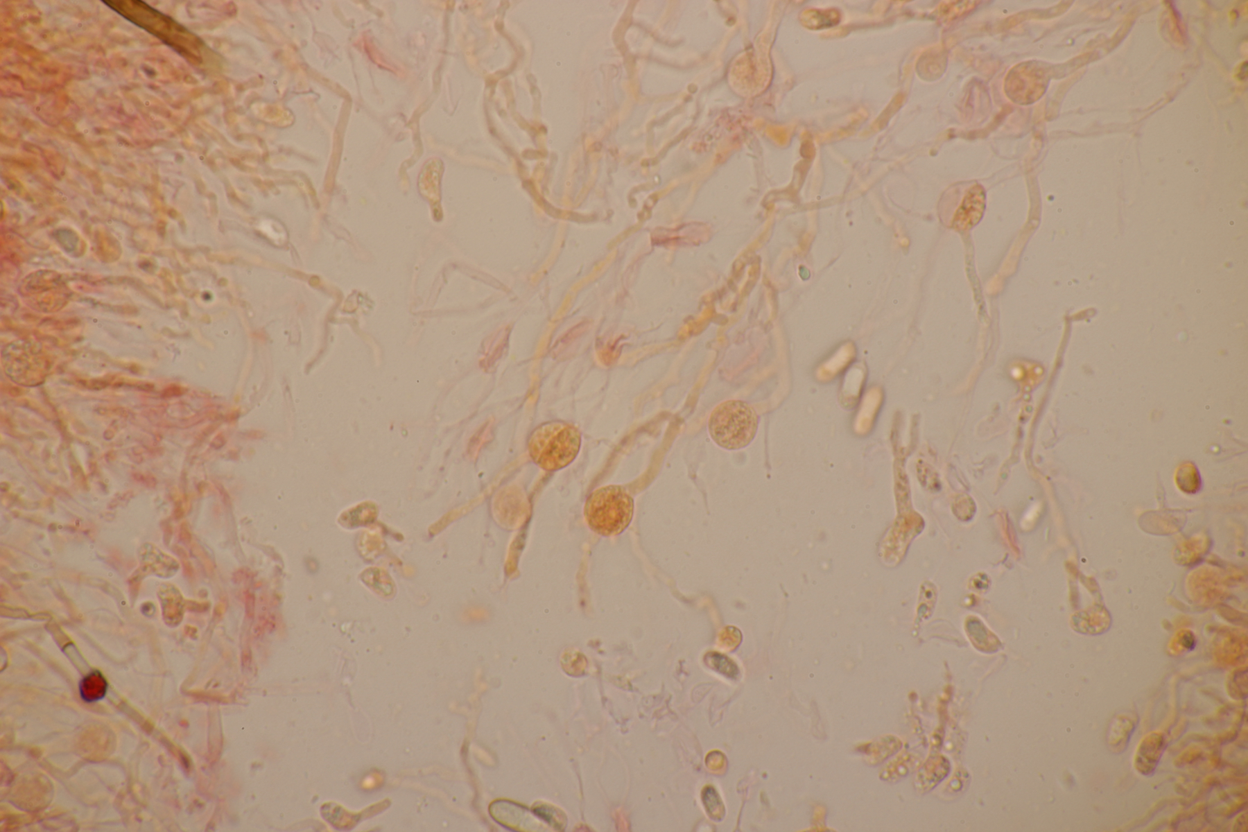
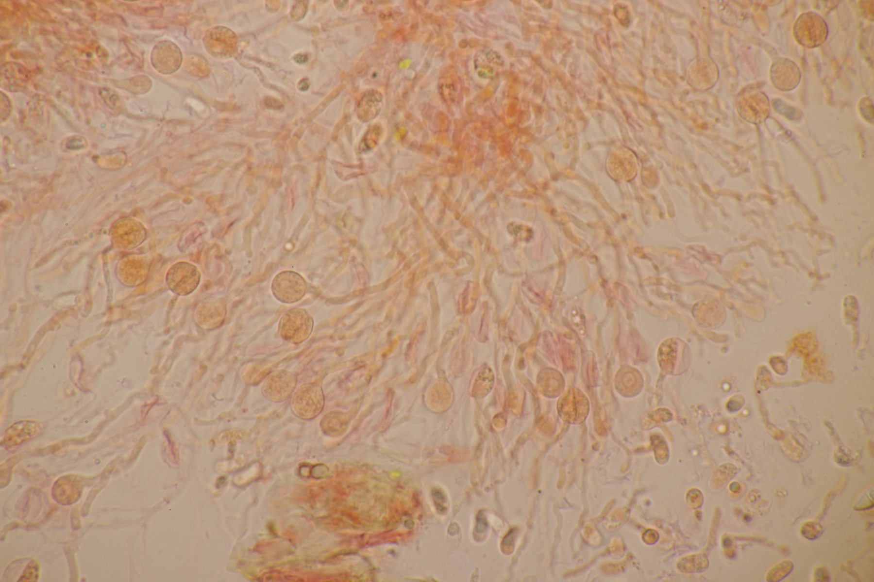
7. Mit den gestielten Basidien lande ich bei dieser dünnen Glibberkruste bei Myxarium. Sporen (7.5-10.2) µm x (3.5-4.9) µm, Q=1.8-2.7 bzw. (8.7+-0.7) µm x (4.0+-0.4) µm, Q=2.2+-0.2, Schnallen vorhanden., keine Zystiden, keine Kristalleinschlüsse sichtbar.
Wenn ich mich dann mit Spirin et al. "A convolute diversity of the Auriculariales with sphaeropedunculate basidia" von 2019 durchschlüssel, lande ich bei Myxarium grilletii. Hat da jemand Erfahrung und kann das bestätigen oder hat andere Ideen?
8. Stropharia aeruginosa
9. Phyllactinia betulae ex Betula jacquemontii
10. Mucilago crustacea
11. Puccinia asperulae-odoratae ex Galium odoratum mit Eudarluca caricis als Hyperparasit
Björn
