Hallo zusammen,
ich bin heute über diesen recht kleinen, gelben Täubling gestolpert. Zuerst dachte ich das ist bestimmt wieder ein R. ochroleuca aber die Farbe war mir zu Gelb. Nach eingehender Untersuchung führen mich die Schlüssel zu dem Blassgelben Täubling R. raoultii und der Ockergelbe fällt aufgrund der in SV angefärbten Dermatozystiden natürlich raus.
Ökologie: Buchenwald mit eingestreuten Kiefern auf Sandboden.
Hut: Durchmesser 5,5 cm, Gelb zum Rand hin heller, Rand gerieft, Huthaut ~ zu 1/2 des Radius abziehbar.
Lamellen: weiß
Stiel: weiß, zur Basis etwas ockerfleckig
Geruch: angenehm obstartig
Geschmack: nach 5 Sekunden scharf werdend
Sporenpulver: Weiß Ia-b (MARXMÜLLER), eher Ia
Sporen: recht klein, mit Stacheln unter 0,75 Mikrometer, welche teilnetzig verbunden sind, im Durchschnitt 7x6,5, Hillarfleck nur teilweise und schwach anfärbbar
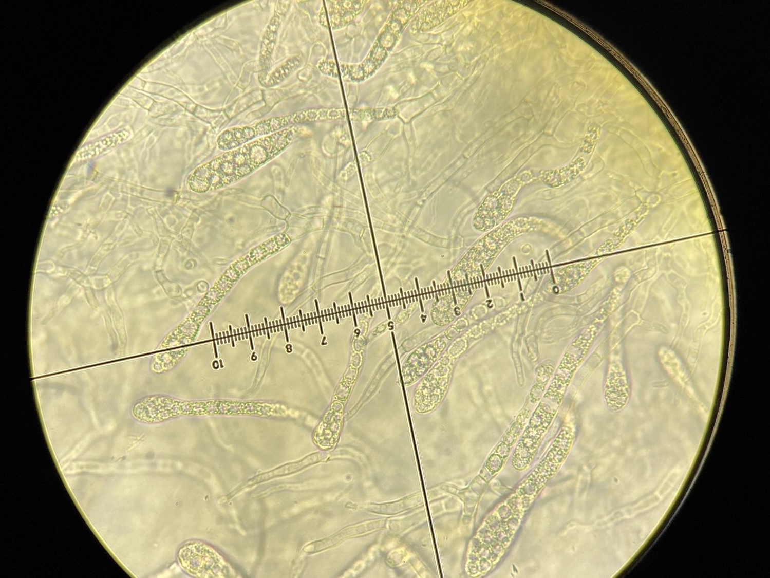
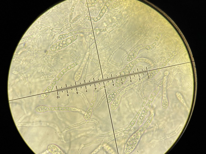
HDS: Mit in SV anfärbbaren, keuligen Pileozystiden
Guajak: uneindeutig - mein altes Reagenz muss noch ersetzt werden ...
Eisen(II)sulfat: blass rosa
KOH (20%): negativ
Ich muss mich ja unbelehrbarerweise immer auf Einzelfruchtkörper stürzen (oder sie auf mich ![]()
![]()
HDS in Leitungswasser 1000x(Öl):
HDS in SV 1000x(Öl):
Sporen aus Abwurf in Melzers 1000x(Öl):
Darf ich mich über meinen Erstfund freuen? ![]()
Danke bereits im voraus!
LG Thiemo
