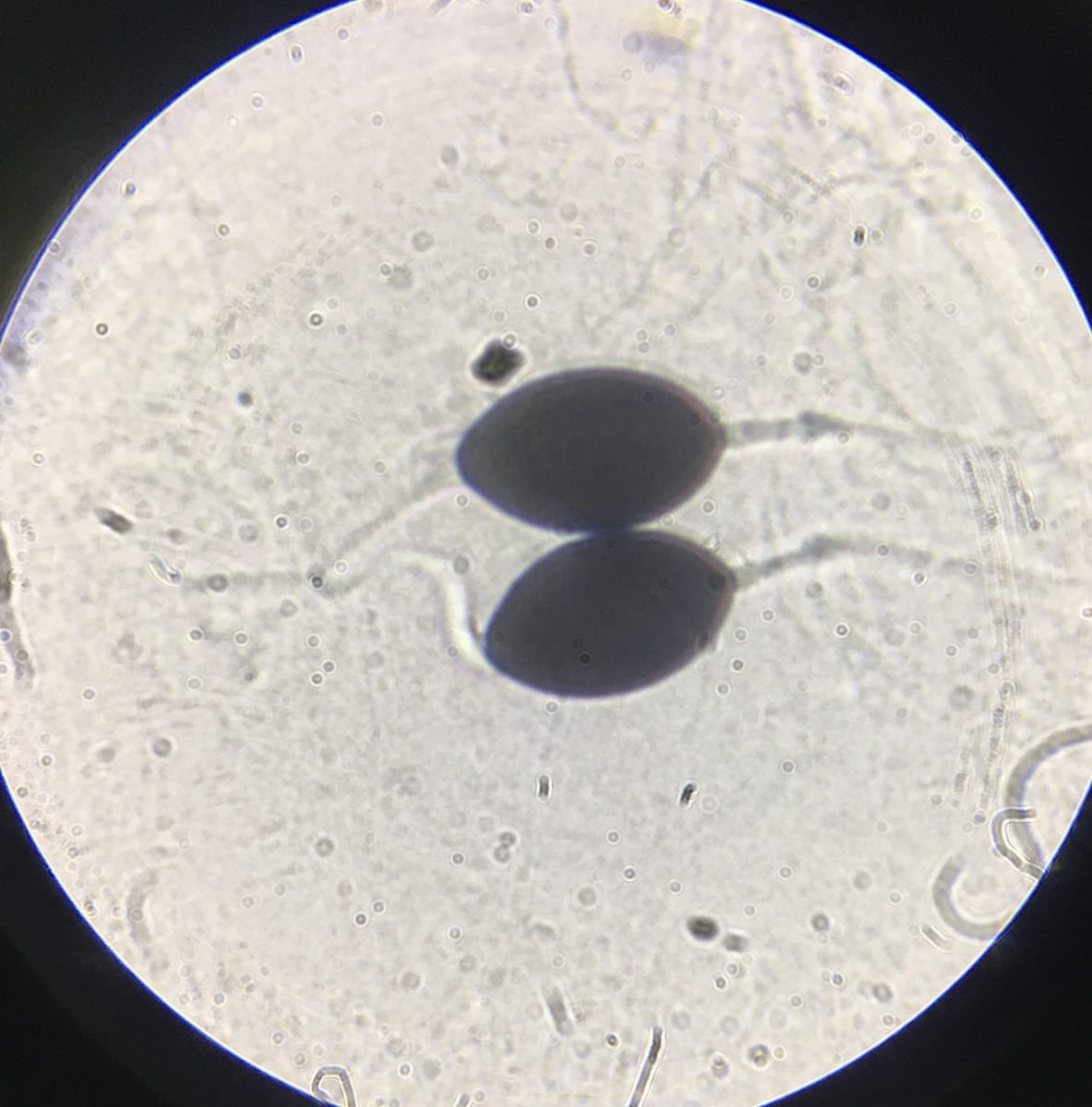
Ich schaue mir hier eine Podospora an und komme nicht weiter. Leider ist sie achtsporig und 22-24µm x 14-15µm, was ja öfter vorkommt. Das Pedicel ist sehr lang, über 80µm oder so. Das ganze wächst in Hirschlosung und das Perithecium (450-650) ist oft bis zum Hals versenkt. Ich dachte erst P. ellisiana, aber ich sehe keine Haare oder apikalen Ring. Für Schizothecium miniglutinans fehlen die Squamufolien. Kommt jemandem die Sache bekannt vor?
Podospora Rätsel => Schizothecium miniglutinans
- sigridj
- Erledigt
Es gibt 2 Antworten in diesem Thema, welches 1.714 mal aufgerufen wurde. Der letzte Beitrag () ist von sigridj.
-
-
Hallo Sigrid,
mit den Sporenmaßen sehe ich da nichts anderes als Schizothecium miniglutinans.
Die Gattung ist wegen der bereits im unreifen Stadium klar abgegrenzten Pedicel von Podospora unterschieden.
Das Pedicel ist sehr lang, über 80 µm oder so.
Das Pedicel ist sehr kurz, das lange sind die gelatinösen Sekundäranhängsel.
Für Schizothecium miniglutinans fehlen die Squamufolien. Kommt jemandem die Sache bekannt vor?
Nun, die Squamufolien können bei Schizothecium miniglutinans sehr reduziert und kaum sichtbar sein.
Wenn Du genau hinschaust, wirst Du zumindest winzige "Haarschuppen" finden.
Liebe Grüße
Nobi
-
Rätsel gelöst und wieder etwas gelernt - vielen Dank!
-
sigridj
Hat den Titel des Themas von „Podospora Rätsel“ zu „Podospora Rätsel => Schizothecium miniglutinans“ geändert.
