Hier ein Fund von 10.11.2019 aus der Ohligser Heide von G. pannocinctus.
Der in frischer Zustand weiße Fruchtkörper wird nach eine Weile gelblich.
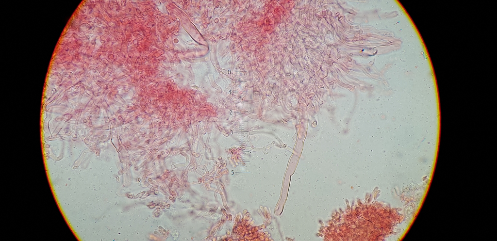
Sporen
Das Hsubhymenium besteht aus dünn bis leicht dickwandige Hyphen sehr stark miteinander verwogen, alle Septen mit Schnallen.
Auch mikroskopisch ist eine gelatinöse Schicht zu sehen zwischen Hymenium und Subhymenium ob das auch etwas mit der die Makroskopisch auch erkennbaren Schicht zu tun hat?
Etwas verwirrt haben mich die se extrem breite Hyphen die hin und wieder zu sehen waren, da die nicht angegeben werden in Polyporales S.l. wusste ich nicht wohin damit, ein Blick Poroid fungi of Europe hat mich dann weiter gebracht, das sind wohl Basal Hyphen.
Ich schätze das ich dann mit der Bestimmung richtig liege oder?
