Servus,
hier der von allen so sehnlichst gewünschte Teil 5
meiner Konidiensammlung ![]()
Nr.:1
dieser wuchs auf einer Eutypa und gab sich als weißer Filz zu erkennen.
Im Mikroskop hatte er allerdings braungraue, septierte Konidiophoren und hyaline Sporen von 13 x 2-2,5 µ Länge, die an den Spitzen der Konidiophoren gebildet wurden.
Nr.: 2
Hat sich fast das selbe Substrat ausgesucht,
hier war es eine Daldinia wo die Sternchen drauf wuchsen
Die Konidiophoren waren hyalin, 40 x2-3 µ,
Die Sporen 4x2 µ, ellipsoid, glatt
Nr.3
Kleine rotbraune Pustel auf nacktem Holz.
Hier sind es endlich einmal braune 3 fach septierte, 15-17 x 4 µ große Konidien
Nr.4
Verzweiflung pur
Hatte mich schon gefreut einmal eine Ijuhya gefunden zu haben
Aber anstatt Asci hab ich dann halt 15-20 x 3-3,5 große Konidien gefunden.
Substrat war Lonicera
Zum Schluss
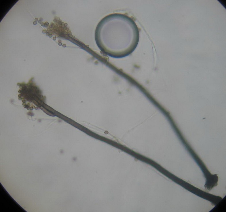
Nr.:5
lebt ;),
und zwar auf einem Grashalm der aus einer Dungprobe heraus stand
Die Sporen hab ich mit rundlich, hyalinbraun,warzig ?, 4-6 µ beschrieben
Konidiophoren waren braunschwarz, apikal verzweigt und die Sporen hingen in Kugeln an der Spitze.
In IKI war alles leicht rotbräunlich, was aber eigentlich auch nicht anderst zu erwarten war.
Grüße
Felli

