Mycena rhenana

Es gibt 2 Antworten in diesem Thema, welches 1.570 mal aufgerufen wurde. Der letzte Beitrag () ist von thorben96.

  • Hallo zusammen


    Ich möchte euch hier die Mycena rhenana zeigen die auf einem Erlenzapfen wuchs. Gefunden hatte ich diese am 16.09.17.
    Bei dieser Art gibt es keine Cheilozystiden, dafür aber sehr ausgeprägte Hyphenendzellen der Huthaut und Kaulozystiden.
    Hier sind die Bilder:
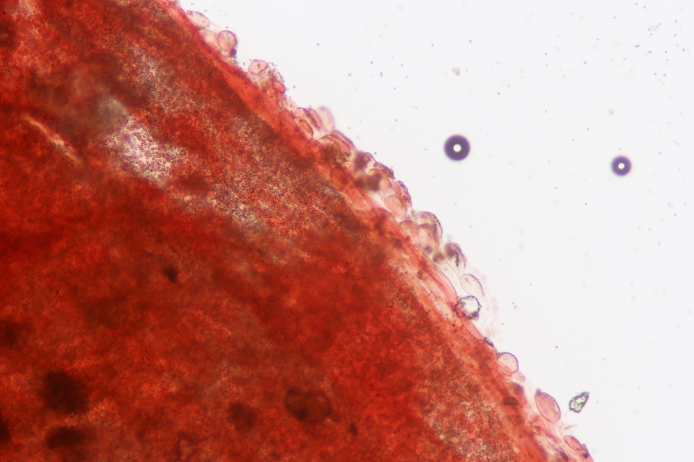
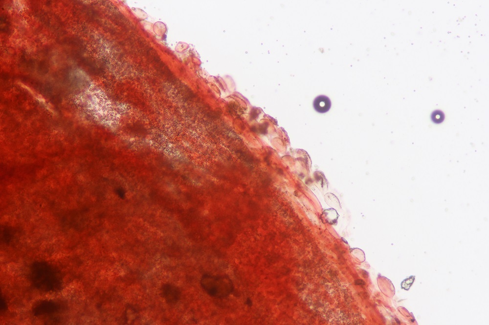
    1.


    2.


    Hyphenendzellen der HDS in Kongorot


    3.


    4.


    Hyphen der HDS
    5.


    6.


    Kaulozystiden
    7.


    8.


    Sporen
    9.


    Sporen in Lugol
    10.


    VG : Thorben

    • Offizieller Beitrag

    Hallo, Thorben!


    Eine tolle kleine Schönheit. :thumbup:
    Super auch diese plüschigen Huthaut - Zellen. Es macht immer wieder Spaß, die mikroskopischen Details von Helmlingen zu betrachten, da haben die halt auch einiges zu bieten.



    LG, Pablo.

  • Hallo Pablo


    Da hast du recht die mikroskopischen Details von Helmlinge haben wirklich einiges zu bieten.
    Ich finde die Gattung Mycena generell sehr spannend. Erst kürzlich hatte ich mit der Bestimmung einer Mycena amicta zu kämpfen, die auf einem Kiefernzapfen wuchs.


    Viele Grüße
    Thorben