Hallo zusammen,
endlich kann ich hier auch mal was beitragen. Heute durfte ich den Fliegentöter finden.
Gruselig und faszinierend! ![]()
LG, Jan-Arne
Es gibt 6 Antworten in diesem Thema, welches 7.350 mal aufgerufen wurde. Der letzte Beitrag () ist von thorben96.
Hallo zusammen,
endlich kann ich hier auch mal was beitragen. Heute durfte ich den Fliegentöter finden.
Gruselig und faszinierend! ![]()
LG, Jan-Arne
Hallo Jan-Arne
Endlich hast du auch mal eine Entomophthora gefunden und dann noch E. muscae ![]()
Suche schon seit längerem vergeblich nach einer E. muscae ![]()
Dafür gibt es an den Bächen momentan jede Menge Befälle.
Wo hast du denn deinen Befall gefunden ?
VG: Thorben
Hallo Thorben,
wir sind gerade mit dem APR auf unserer Herbst-Exkursion in Hilchenbach. In einem sehr feuchten Teil an einem Hang mit Buchen und Fichten fand ich diesen "Puschel", den ich schnell als Insektoparasiten und nach ein wenig Recherche dann als den Fliegentöter bestimmt hab. Es gibt meines Wissens - abgesehen von sehr seltenen Arten - keine anderen Arten in der Gattung, oder? Ist sie wirklich so selten? Für dich tut's mir leid und ich dachte beim Fund auch direkt an dich. Wäre ich planlos geblieben, wärst du die erste Ansprechstation gewesen.
LG, Jan-Arne
Der sieht ja wirklich gruselig aus! ![]()
Sehr interessanter Fund, Jan-Arne! ![]()
Hallo Jan-Arne
Das Problem ist, dass Makroskopisch der Pilz auch einer Erynia, Zoophthora, Pandora und so weiter ähneln könnte.
In der Gattung Entomophthora soll es noch Entomophthora schizophorae geben die Musca domestica befällt.
Ob da jetzt auch noch andere Arten gibt die M. domestica befallen, dass weiß ich nicht. Fakt ist, dass man Makroskopisch nur spekulieren kann und es auf die Mikroskopischen Bilder ankommt. Die meisten sagen, wenn M. domestica befallen wird ist es automatisch Entomophthora muscae sein. Da es aber noch Entomophthora schizophorae gibt und vermutlich auch noch andere Insektoparasiten, würde ich lieber den Pilz als Entomophthora cf. muscae bezeichnen. Diese Entomophthorales Pilzes sind eh ein Fach für sich und bisher konnte ich noch keine genaue Pilzart bestimmen, sondern lediglich Vermutungen über die Gattung anstellen :(. Weil du brauchst für die Mikroskopische Bestimmung nicht nur die Konidienform und Größe, sondern auch die Größe der Sekundärkonidien ![]()
VG : Thorben
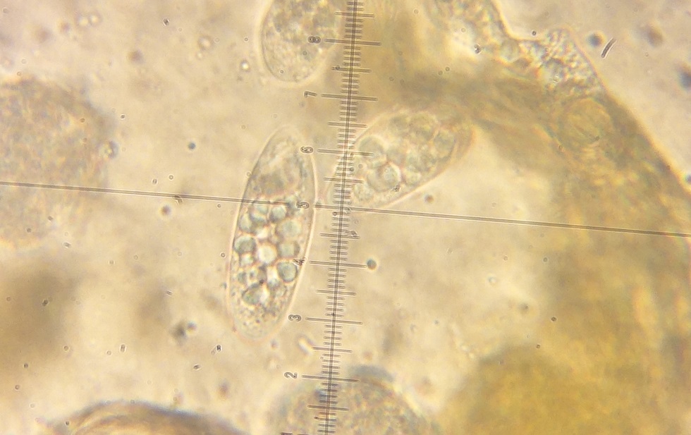
Hallo zusammen!
Kommando zurück. Es bleibt mangels Literatur leider ein Unbestimmling. Danke für die Kritik, Thorben, denn was makroskopisch so eindeutig war, wurde mikroskopisch revidiert.
Die Sporen sind etwa 35 x 15 µm groß. Sie müssten aber sowohl kürzer als auch breiter sein (Wikipedia spricht von 27-31 x 20-24 bei dem primären Konidien, jeweils weniger bei den sekundären).
Die Konidiophoren sind 100 µm lang.
Und dann gab's da noch das hier.
Schade, dass der wohl unlösbar sein wird. Aber spannend trotzdem und für mich ein schöner Fund. ![]()
LG, Jan-Arne
Hallo Jan-Arne
Das Problem kenne ich das die Größe der Konidien abweichend ist, aber auch das Herausfinden der primären und sekundären Konidien kann eine Herausforderung sein.
Besonders wenn man beide Konidienarten zusammen gemessen hat ![]()
Das letzte Bild sollten die primären Konidien und das erste die sekundären Konidien sein.
Zitat
Es bleibt mangels Literatur leider ein Unbestimmling
Wenn du mir eine PN mit deiner E-Mailadresse schickst, dann sende ich dir ein paar PDF Dateien über diese Insektoparasiten ![]()
VG : Thorben
