Bodenschimmel > Chromelosporium

Es gibt 8 Antworten in diesem Thema, welches 4.098 mal aufgerufen wurde. Der letzte Beitrag () ist von thorben96.

  • Guten Abend


    Am 1.10.14 habe ich mir wieder eine Bodenschimmelart vorgenommen, weil dieses mal wissen wollte ob jeder Bodenschimmel bei mir im Wald gleich aufgebaut ist oder ob es sich um verschiedene Arten handelt.
    Ich habe mir einfach mal ein für mich junges Exemplar genommen und das mal Mikroskopiert.
    Das was heraus kam sah richtig krass aus.
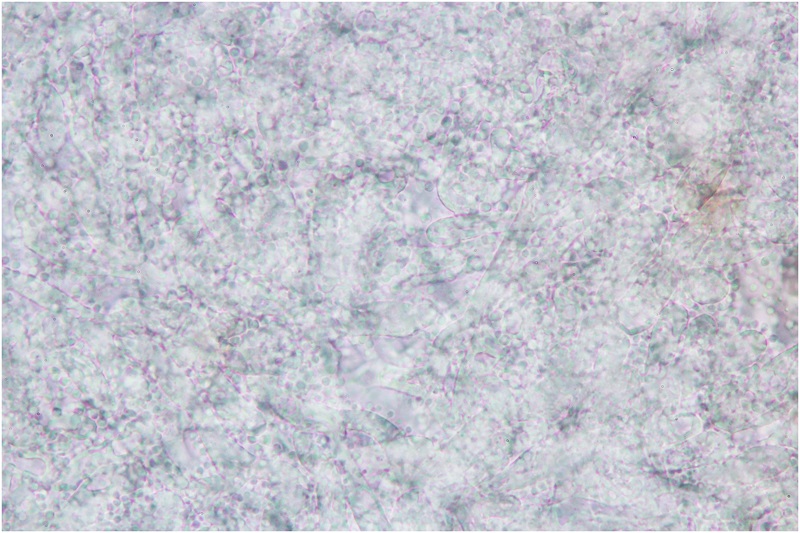
    Hier die Bilder :


    1. Das ist mein Schimmel den ich Mikroskopiert habe.
    In der Mitte findet wohl die "Entstehung" des Schimmels statt.
    Links und rechts unten ist wohl die nächste Reifephase.


    2. Man könnte meinen da würden Pilzstränge miteinander konkurrieren


    3.


    4.


    5.


    6.


    Bitte nicht wundern, aber meine Bovisten waren mit dem Schimmel in der Tüte und deshalb sind bei Nr.3 und 4. jeweils eine Bovistenspore im Bild.


    Ich denke mal das es alles unterschiedliche Bodenschimmelarten sind in meinen Wald, das sieht man besonders auch am äußeren, wenn man mit dem Makroobjektiv Fotos macht.
    Jeder Bodenschimmel sieht da anders aus, einige haben leichte Farben von grün, pink oder gelb. Einige andere Schimmelarten werden braun/gelblich und zerfallen einfach.
    Ich werde mich weiter mit dem Schimmel beschäftigen und hoffe irgendwann eine kleine Sammlung zu haben aus Bildern :)


    VG : Thorben

  • Hallo Jürgen


    Ich habe gestern Abend noch einmal geschaut und aus der ausgetrockneten Probe noch etwas herausgeholt.


    7.
    Da war in der Probe eine Ansammlung von "Sporen".


    8. Hier waren noch Sporenansammlungen an einem Strang, ganz oben das sieht man nicht mehr geht der Strang noch weiter.


    Die Konidien mit Stiel 5 µm ohne Stiel 3 µm und die freien Sporen die im Wasser herumschwammen hatten eine Größe von 6 µm.
    Werde morgen oder nächste Woche, aber noch einmal frisches Material von der Stelle besorgen.


    Achso nach dem googeln von Botryosporium kam bei mir ein Bild heraus was einem Bild ähnelt was ich vor einem Jahr gefunden hatte.
    Könnte das ein Botryosporium sein ?
    Hier ist der Link Botryosporium ?



    VG : Thorben

  • Hallo zusammen


    Ich bin durch Zufall auf Chromelosporium gestoßen der eventuell meine gefunden Art sein könnte :
    https://www.google.de/search?q…xUdeagbgC&ved=0CAYQ_AUoAQ


    VG : Thorben

  • Hallo Peter,


    eine Botryosporium ist das auf jeden Fall, nur ob es eine B. pulchrum oder longibrachiatum ist, kann ich nicht sagen.


    VG : Thorben

  • Hallo Bohan,

    Hallo Thorben,

    deinen ersten Fund würde ich für Chromelosporium halten. Ich habe nämlich auch etwas Ähnliches mal gefunden.

    Eine Arbeit dazu gibt es hier.

    LG

    Bohan

    Den alten Thread hatte ich so gar nicht mehr auf dem Schirm gehabt, dementsprechend freue ich mich sehr über den Hinweis :)

    Du hast da vollkommen recht mit Chromelosporium und werde das gleich ergänzen.


    VG : Thorben

  • thorben96

    Hat den Titel des Themas von „Bodenschimmel“ zu „Bodenschimmel > Chromelosporium“ geändert.