Hallo abeja,
wir haben sie auch vor kurzem probiert. Uns kamen sie eher geschmacklos vor, wobei uns die gar nicht schleimige Konsistenz positiv überrascht hat.
LG, Jan-Arne
Hallo abeja,
wir haben sie auch vor kurzem probiert. Uns kamen sie eher geschmacklos vor, wobei uns die gar nicht schleimige Konsistenz positiv überrascht hat.
LG, Jan-Arne
Hi!
Super, das ist der Wollige Scheidling (Volvariella bombycina). Toller Fund. ![]()
LG, Jan-Arne
Hallo ataualpa,
zunächst ein Tipp: Wenn du die Bilder aus dem Anhang ziehst, kannst du sie sortieren, nummerieren und sie werden richtig herum angezeigt. Dazu einfach neben dem Bild im Anhang "Bild in Beitrag einfügen" klicken.
Du hast hier zwei Arten ( nicht Sorten
) gefunden. Aber willst du es nicht selbst einmal versuchen? Das macht viel mehr Spaß und hat zudem noch den höheren Lerneffekt zur Folge. Und gerade bei der Einordnung in Gattungen kann man bei diesen beiden Funden nicht viel falsch machen...
Aber da du gefragt hast: Du hast einen Röhrling gefunden, der möglicherweise ein Rotfußröhrling war und da möglicherweise der Falsche Rotfußröhrling. Und dann noch ein Milchling (die Milch kann man gut sehen), bei dem es sich um einen Süßlichen Buchenmilchling handeln könnte. Für genauere Einschätzungen würde man Angaben zu den Pilzen benötigen, die du in sehr detaillierter Form in meiner Signatur verlinkt findest. ![]()
LG, Jan-Arne
Hallo!
Eine sehr schöne Zusammenstellung von interessanten Funden! Und natürlich auch guten Hunger gehabt zu haben.
Das I-Tüpfelchen wäre in dem Fall wohl ein Bilder der violett verfärbten Milch gewesen (da spricht der Neid!).
LG, Jan-Arne
Hallo!
Was für - mit Verlaub! - geile Teile. Kalk ist schon was Feines. Leider gibt's hier keinen und daher kenne ich auch nur eine Handvoll Cortinarien. Dabei sind die so interessant und schick anzuschauen.
Pablos und Oehrlings Vorschlägen habe ich nicht viel hinzuzufügen. 11, 13, 14 sehe ich genauso. 12 dürfte schon ein Rillstieliger Helmling sein. 21 recht sicher auch der Spindelige Rübling. Zur Stropharia fällt mir noch Stropharia albocyanea ein. Da wäre der Geruch interessant.
Ansonsten: Danke für's Zeigen! Und wenn die Namen noch hinzukämen, wäre das wirklich die Krönung. ![]()
LG, Jan-Arne
Hallo Markus,
was für tolle Bilder! ![]()
LG, Jan-Arne
Hallo lieber Pablo,
da haben dich die beiden wohl verraten.
Gut so!
Auch von mir alles alles Gute; Glück, Gesundheit und viele Lichtblicke! ![]()
Ich freue mich auf's doppelte Wiedersehen im November. ![]()
LG, Jan-Arne
Hallo Karl!
Sachen gibt's, die gibt's gar nicht. Und zwar so schöne Funde bei völliger Trockenheit. Wobei. Ich hab das Gefühl, dass sich bei ungewöhnlichen Bedingungen durch Trockenheit gerne mal aus Protest Seltenheiten (vor allem) aus dem Holz drücken.
Und du warst auch in Alme? Hätte ich mir denken können. Neben deiner Anwesenheit und der Anwesenheit weiterer NRW-Koryphäen sind sicherlich auch solche mitgebrachten Funde ein guter Grund, dort nächstes Jahr auch mal hinzufahren.
LG, Jan-Arne
Hi!
Das sieht auf jeden Fall schon mal sehr gut geplant aus. Ich mache mir dazu auch noch meine Gedanken.
Ich hoffe nur, dass die edle (nicht elende!) Kocherei uns nicht zu viel Wald-Wiesen-und Bestimmungszeit raubt. ![]()
LG, Jan-Arne
Hallo Pilzator,
herzlich willkommen im Forum. ![]()
Es ist in der Tat besser, wenn dein Vater dir sagt, was du gefunden hast - sofern er weiß, was er tut. Essensfreigaben über das Internet gibt es nämlich nicht, vor allem wenn jegliche Angaben (Fundort, Geruch usw.) fehlen, die eine Bestimmung erleichtern würden.
Mal abgesehen davon gebe ich dir bei den Goldröhrlingen recht. Die Rotfußröhrlinge sind Rotfußröhrlinge, aber keine Falschen. Die hätten keine oder kaum Rottöne am Stiel. Das sind wohl eher Gemeine Rotfußröhrlinge. Alle Rotfüße setzen übrigens in der Regel sehr früh Schimmel an. Die Pilze auf Bild 2 sind Rotfußröhrlinge. Die Pilze auf dem 2. Bild sind Kuhröhrlinge.
Dass du fast nur Röhrlinge für die Pfanne sammelst, ist übrigens für den Anfang absolut richtig. Da gibt es kaum giftige Arten und diese sind zumeist gut erkennbar. Ich würde mich über weitere Anfragen von dir freuen, evtl. auch wenn dein Vater mal nicht weiter weiß. ![]()
LG, Jan-Arne
Hi!
Nummer 1 könnte u. U. eine Galerina sein, ich würde hier aber eher eine Tubaria sehen und Tubaria dispersa, der Gelbblättrige Trompetenschnitzling, könnte mir hier gut gefallen.
Nummer 2 ist sicher eine Lepiota.
Nummer 3 ist ein Helmling. Kohlgeruch? Eventuell Chlor/Nitrat? Das könnte optisch gut der Büschelige/Viersporige Nitrathelmling (Mycena stipata) sein.
LG, Jan-Arne
Hallo romana,
momentan sind die Bilder noch im Anhang. Sie sollten eigentlich richtig gedreht sein, sobald du sie aus dem Anhang holst. ("Bild einfügen" im Bildeditor)
LG, Jan-Arne
Wie angekündigt diesmal etwas verspätet - Die Jury hat entschieden...
1. Platz
Bild 15 - Schwammer-Dieter (Monatssieger) mit Körnchen-Becherling (Peziza fimeti)
2. Platz (punktgleich)
Bild 18 - Doris und Helmut mit Nadelstreu-Käsepilzchen (Marasmius bulliardii)
2. Platz (punktgleich)
Bild 8 - Wühlmull mit Goldfell-Schüppling (Pholiota aurivella)
Die weiteren Platzierungen:
4. Platz - Bild 10 (lupus) mit Sparriger Schüppling (Pholiota squarrosa)
5. Platz (punktgleich) - Bild 2 (pilzpic) mit Kuhmaul (Gomphidius glutinosus)
5. Platz (punktgleich) - Bild 14 (abeja) mit Orangebrauner Flockenschüppling (Flammulaster cf. limulatus)
7. Platz - Bild 1 (Irisle) mit Schildborstling (Scutellinia spec.)
8. Platz - Bild 13 (Josef-08) mit Schwärzender Saftling (Hygrocybe conica)
9. Platz (punktgleich) - Bild 6 (alisa06) mit Seitling (Pleurotus spec.)
9. Platz (punktgleich) - Bild 3 (dieter.heune) mit Grünblättriger Schwefelkopf (Hypholoma fasciculare)
11. Platz - Bild 7 (Mausmann) mit Rosablättriger Helmling (Mycena cf. galericulata)
12. Platz (punktgleich) - Bild 11 (Alis) mit Rosenroter Baumschwamm (Fomitopsis rosea) (?)
12. Platz (punktgleich) - Bild 4 (gdno81) mit Grünblättriger Schwefelkopf (Hypholoma fasciculare)
14. Platz - Bild 17 (friend1) mit Ochsenzunge (Fistulina hepatica)
15. Platz - Bild 12 (rudi) mit Glimmerschüppling (Phaeolepiota aurea)
16. Platz - Bild 16 (Linnea) mit Schwefelporling (Laetiporus sulphureus)
17. Platz - Bild 5 (Tannenzaepfle) mit Austernseitling (Pleurotus cf. ostreatus)
18. Platz - Bild 9 (bibabaer) mit Lila Dickfuß (Cortinarius traganus)
Allen Siegern einen herzlichen Glückwunsch!
Mit dem Monatssieger setze ich mich wegen des Preises in Verbindung!
Eure Vorschläge zu den nicht oder möglicherweise falsch bestimmten Arten auf den Fotos könnt ihr mir - wie immer - gerne hier lassen. ![]()
Hier findet ihr den aktuellen Monatswettbewerb und hier den derzeit laufenden Mottowettbewerb!
Freundliche Grüße
Jan-Arne
Hallo liebes Forum,
Ein weiterer Monatswettbewerb startet:
Für alle Interessierten: Bis zum 19. Oktober um 23:59 Uhr habt ihr Zeit, euer Foto einzuschicken!
Bitte Folgendes vor der Teilnahme lesen!
--> Regeln und Ablauf zur Teilnahme am Pilzfotowettbewerb
___________________________
Hier seht ihr, welche Preise man gewinnen kann. Darunter befinden sich Gutscheine von Traumflieger.de und Pilzzuchtsets von Pilzmännchen!
___________________________
Allen Teilnehmern viel Glück und eine ruhige Hand,
Das Forenteam von pilzforum.eu
Hallo Hans,
ein sehr schöner und interessanter Fund. ![]()
LG, Jan-Arne
Hallo!
Na, dann gratuliere ich mal ganz herzlich! Super! ![]()
LG, Jan-Arne
Hallo Victoria,
ich würde hier mindestens zwei Rotfußröhrlingsarten vermuten, was für die Bestimmung zum Verzehr natürlich irrelevant ist, da alle Rotfußröhrlinge jung essbar sind. Aber eine Essensfreigabe gibt es über Bilder ja ohnehin nicht, dafür gibt es Pilzsachverständige. ![]()
LG, Jan-Arne
Hi,
Gratulation zu den zahlreichen Futter-Funden. ![]()
Bei der Nummer 1 sehe ich schon mit bloßem Auge weiße Milch, oder? Der Bruchreizker würde auch frisch schon leicht würzig riechen. Ich denke, dass das hier eher in die Richtung Süßlicher Buchenmilchling gehen, aber dafür müsste man ihn riechen und ggf. die Geschmacksangabe schärflich durch bitter ersetzen. Da gibt es aber noch ein paar optisch sehr ähnliche Arten.
Nummer 3 ist ein Dachpilz und ziemlich sicher der Rehbraune Dachpilz (Pluteus cervinus) -> Rettichgeruch?
Nummer 4 wird wohl (dank des Schnittbilds) ein Champignon sein. War der Geruch zufällig anisartig? Wobei da das völlig fehlende Gilben auffällig wäre.
LG, Jan-Arne
Hallo,
mir gefällt der Gefleckte Rübling ganz gut. Der ist in der Tat recht variabel und so engstehende Lamellen sieht man auch nicht so häufig. Eine Angabe zum Geruch wäre hier noch wichtig. Ansonsten: Aussporen lassen für die Gewissheit. ![]()
LG, Jan-Arne
Alles Gute auch von mir, liebe Heidi! ![]()
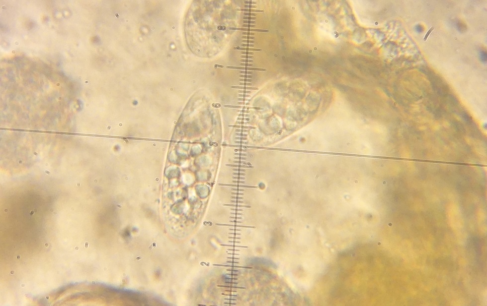
Hallo zusammen!
Kommando zurück. Es bleibt mangels Literatur leider ein Unbestimmling. Danke für die Kritik, Thorben, denn was makroskopisch so eindeutig war, wurde mikroskopisch revidiert.
Die Sporen sind etwa 35 x 15 µm groß. Sie müssten aber sowohl kürzer als auch breiter sein (Wikipedia spricht von 27-31 x 20-24 bei dem primären Konidien, jeweils weniger bei den sekundären).
Die Konidiophoren sind 100 µm lang.
Und dann gab's da noch das hier.
Schade, dass der wohl unlösbar sein wird. Aber spannend trotzdem und für mich ein schöner Fund. ![]()
LG, Jan-Arne
Hallo Thorben,
wir sind gerade mit dem APR auf unserer Herbst-Exkursion in Hilchenbach. In einem sehr feuchten Teil an einem Hang mit Buchen und Fichten fand ich diesen "Puschel", den ich schnell als Insektoparasiten und nach ein wenig Recherche dann als den Fliegentöter bestimmt hab. Es gibt meines Wissens - abgesehen von sehr seltenen Arten - keine anderen Arten in der Gattung, oder? Ist sie wirklich so selten? Für dich tut's mir leid und ich dachte beim Fund auch direkt an dich. Wäre ich planlos geblieben, wärst du die erste Ansprechstation gewesen.
LG, Jan-Arne
Hallo zusammen,
endlich kann ich hier auch mal was beitragen. Heute durfte ich den Fliegentöter finden.
Gruselig und faszinierend! ![]()
LG, Jan-Arne
Hi Hotzenplotz,
immerhin schon wieder ein Fliegenpilz. Ich hab dieses Jahr noch keinen einzigen Fliegenpilz gesehen. ![]()
LG, Jan-Arne
Hallo Thorsten,
mit dem Erscheinungsbild kommen tatsächlich nur Milchlinge in Frage. Lepista flaccida ist kräftiger gefärbt, hat stark herablaufende Lamellen, eine deutliche Einbuchtung in der Hutmitte und ist zudem nicht so kompakt, sondern eher "schlaksig".
LG, Jan-Arne
