Ja - bei diesem Wetter ist das mit dem Geruch suboptimal. Das stimmt.
Als Alternative könnte ichmir auch noch
MYCENA GALOPUS VAR NIGRA vorstellen. Da hätte weißer Milchsaft rauskommen müssen. Und zwar viel.
Gruß Nosozia
Ja - bei diesem Wetter ist das mit dem Geruch suboptimal. Das stimmt.
Als Alternative könnte ichmir auch noch
MYCENA GALOPUS VAR NIGRA vorstellen. Da hätte weißer Milchsaft rauskommen müssen. Und zwar viel.
Gruß Nosozia
Tja, Geruch ist bei Helmlingen sehr wichtig. Also immer dran schnüffeln.
Gruß Nosozia
Dazu müsste man das Muster der "Stacheln" besser erkennen können. Aber ich denke es ist regelmäßig - ein größerer "Pöppel" in der Mitte und mehrere kleinen aussen rum.
Ich würde Flaschenstäubling sagen.
Gruß Nosozia
Stefan war mal wieder schneller.
Ich kann hier nur noch zustimmen.
Gruß Nosozia
Hallo André,
Stummelfüsschen sollte passen, zumindest wenn die Lamellen noch dunkler werden, Stummelfüsschen sind ja braunsporer.
Welches aber kann ich nicht sagen. Ich muss diese immer mikroskopieren. Aber vielleicht kann jemand anderes es auch an Hand der Bilder genauer sagen.
Gruß Nosozia
Hallo André,
das ist einer der Helmlinge. Vielleicht der Graublättrige (MYCENA AETITES).
Gruß Nosozia
Super - danke Ditte,
Noch habe ich ein Exemplar bei mir. Werde ich nochmal in KOH anschauen und mir hoffentlich fürs nächste Mal merken.
Ist zumindest für Hessen ein seltenerer Fund ![]()
Gruß Nosoza
Danke Stefen, ich schaue mir mal I soluta an.
Gruß Nosozia
Ja, ja, ich weiß!
Risspilze sind heiß begehrt - und jedermanns Liebling ![]()
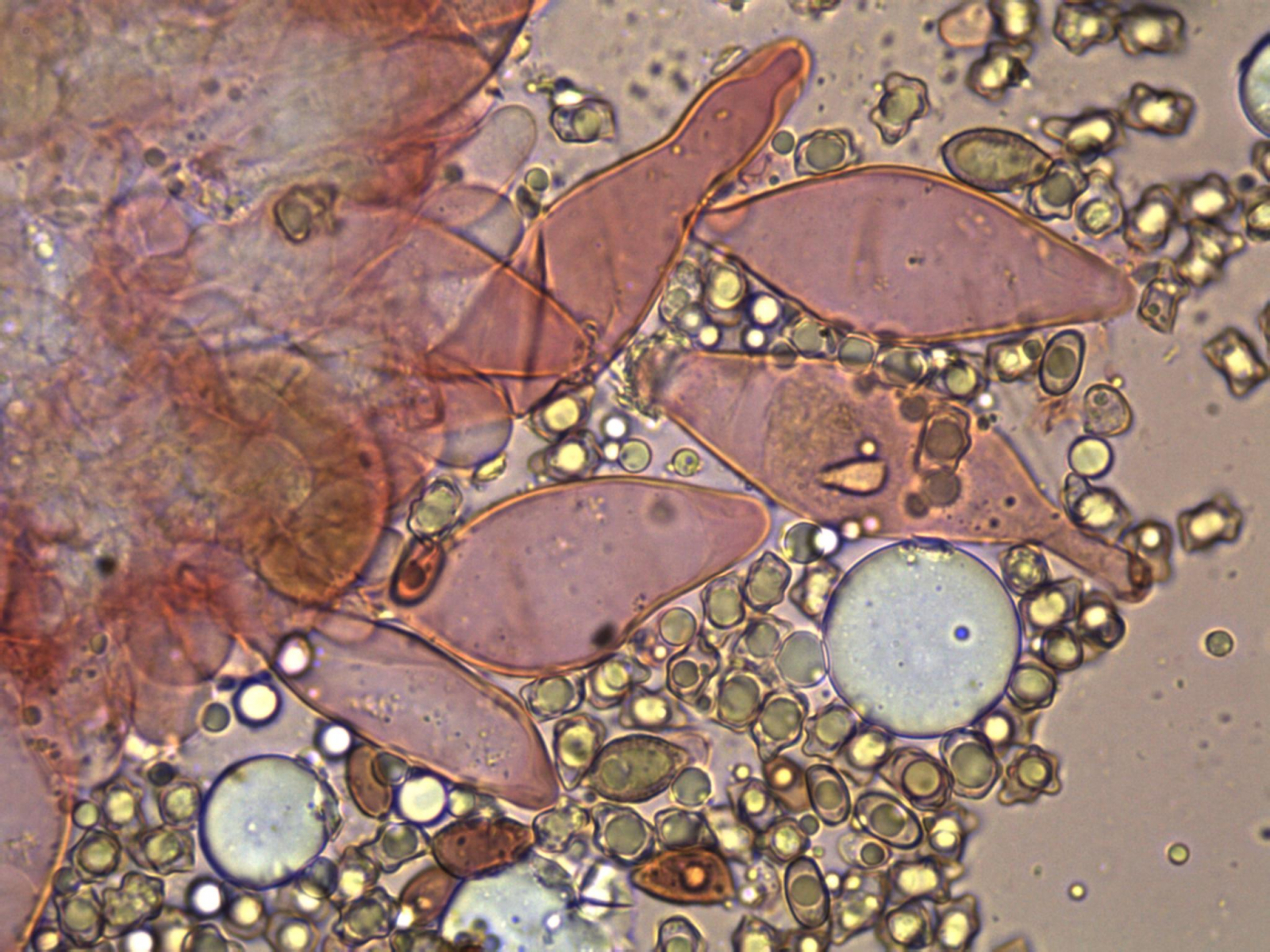
Gefunden am Wegrand mit Mischwald. Birken, Buchen aber auch Fichten. Geruch unbedeutend.
Sporen: 7.4 × 5.2 µm ; Qe = 1.4; N = 30
(6.4) 6.8 - 8 (8.2) × (4.4) 4.5 - 5.7 (5.8) µm; Q = (1.2) 1.3 - 1.6 (1.7) ;
Viele Zystiden vorhanden. Meist mit Kristallschopf, aber auch ohne. Dazwischen ein paar keulige.
Stiel:
Ich komme beim Schlüsseln bei Inocybe assimilata raus.
Kann das passen?
Gruß Nosozia
Schönes Bild.
Ist wahrscheinlich sogar der Rauchblättrige Schwefelkopf. Ich sehe keinen Grün/Gelbton im Stiel. Aber um sicher zu sein, muss man, wie bereits gesagt, den Pilz von unten sehen.
Gruß
Nosozia
Ich denke mal, da die Anfrage in einem Pilzforum steht, dass die Hoffnung auf Trüffel bestand.
Also Kartoffelbovist ist es wohl nicht. Nach Trüffel sieht es aber auch nicht wirklich aus - wobei ich erst einen gesehen habe.
Wie wäre es mit einer großen Galle?
Gruß Nosozia
Da kann ich mich nur Rudi anschließen.
Gruß Nosozia
Hm - dann beibe ich bei Rötelritterling. Eventuell Lepista sordida.
Gruß Nosozia
Ja - der 2. ist etwas schwierig. Ich kann die Farben nicht richtig zuordnen. Sind die Lamellen rosalich oder doch weiß?
Wenn Rötelritterling, dann auf jeden Fall nicht der Violette. Da stimmt ich Schupfnudel zu.
Wenn die Lamellen weiß sind, dann könnte ich mir auch einen Weichritterling vorstellen.
Gruß Nosozia
Tja , wenn er es wirklich ist, dann kann er wohl auch an Nadel.
Ich hatte ihn bisher auch meist an Buche. Aber ich habe auch Funde an Fichte.
Gruß Nosozia
Hallo Maria,
schau mal nach Angebraunntem Rauchporling (Bjerkandera adusta)
Gruß Nosozia
Ja - ich sehe auch Schüppchen am Stiel - was bedeutet, dass es Stockschwämmchen sind.
Gruß Nosozia
Hallo Azalee,
ich denke Nr 1 ist schon eine Nebelkappe. Die können schon mal diche Stiele haben.
Nr 2 erinnert mich eher an einen Rötelritterling. Wie riecht er denn?
Gruß Nosozia
Na - hat niemand eine Idee dazu?
Momentan passt am Besten P. potteri. Kennt den jemand?
Gruß Nosozia
Da stimme ich Nobi voll und ganz zu.
Gruß Nosozia
Hallo Pilzbaer,
ich würde auch Kaffebrauner Gabeltrichterling sagen , wie Schupfnudel.
Gruß Nosozia
Tja, dann bleibt er dieses mal wohl unbestimmt.
Vielleicht finde ich den nächsten dann bei eindeutigem Wirtspartner. Am besten natürlich alle 3 zum erschnuppern.
Gruß Nosozia
Danke euch,
ich stelle morgen noch mal Bilder der älteren Exemplare ein. Einer trocknet gerade auf der Heizung. Die Stiele werden auch jeden Fall schon dunkler.
Ja mit den Gerüchen ist es schwierig. Man muss die Nase wirklich erst eichen. Bisher hatte ich aber nur lascivum gefunden und das ist auch schon wieder länger her.
Gruß Nosozia
Danke Stefan, JanMen
FNE 4 habe ich nicht (aber Weihnachten ist ja bald
). Aber in Funga Nordica steht bei Tricholoma was von Mortensen/Heilmann-Claussen. Vielleicht ist es ja der selbe Schlüssel.
OK - vergessen wir die Schnallen.
Dann passen die Sporen besser zu Tricholoma stiparophyllum oder auch album.
T album soll erst unangenehm und dann bitter schmecken. Also ich fand ihn sofort bitter - der war schmeller wieder ausgespuckt als er drin war
.
Da es Mischwald war gibt es hier leider auch keine eindeutige Aussage.
Mal sehen, ob noch jemand was dazu sagt.
Gruß
Nosozia
