Hallo,
ich weiß nicht, ob ich in diesem Abschnitt des Forums an der richtigen Stelle poste. Sonst kann ich den Beitrag ja auch wieder löschen und woanders posten. Ich habe eine Frage zu tomentelloiden Pilzen, die auf http://www.tomentella.de/ angesprochen werden. In dieser Kategorie von Pilzen kenne ich mich nicht gut aus, aber wollte mir diese mal anschauen. Kann mir jemand sagen unter welchen Bedingungen ein Pilz tomentelloid ist und wann ich den http://www.tomentella.de/ -Schlüssel verwenden kann? Nicht, dass ich es in anderen Gattungen als denen im Schlüssel vorkommenden versuche. Oder ist das nicht möglich bzw. muss ich mit einem anderen Schlüssel zu dem Tomentella-Schlüssel kommen?
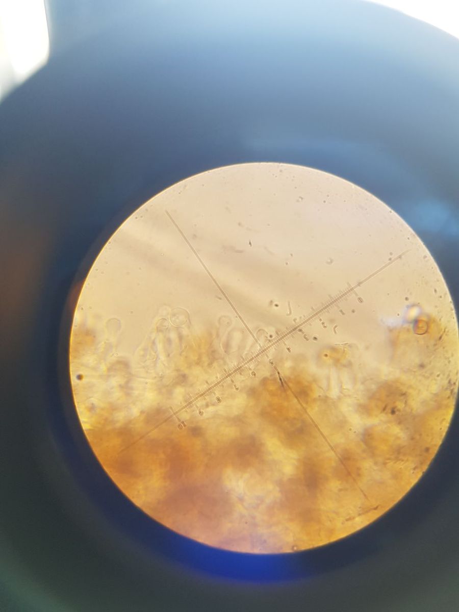
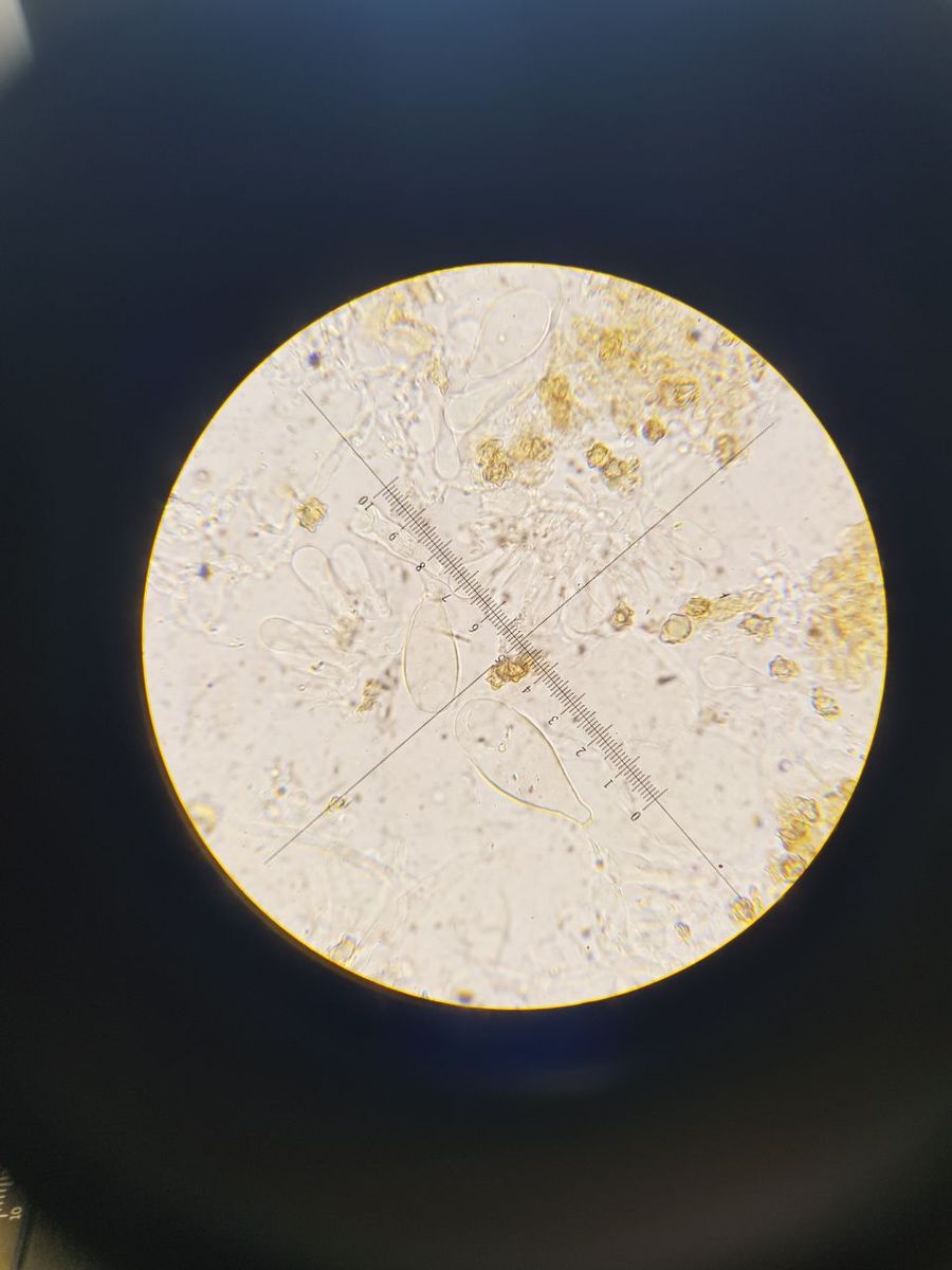
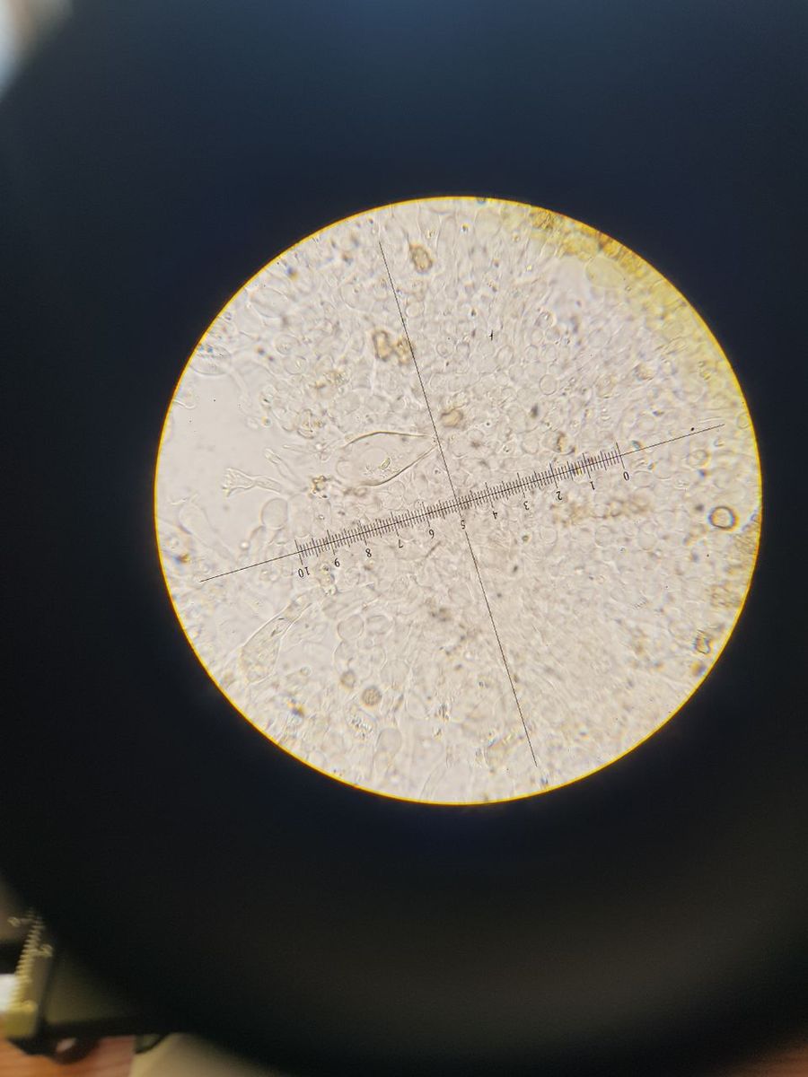
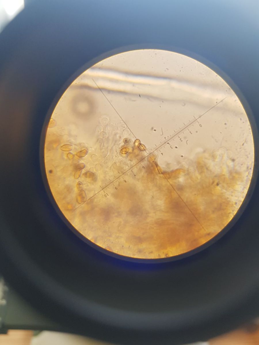
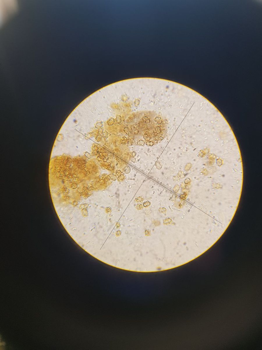
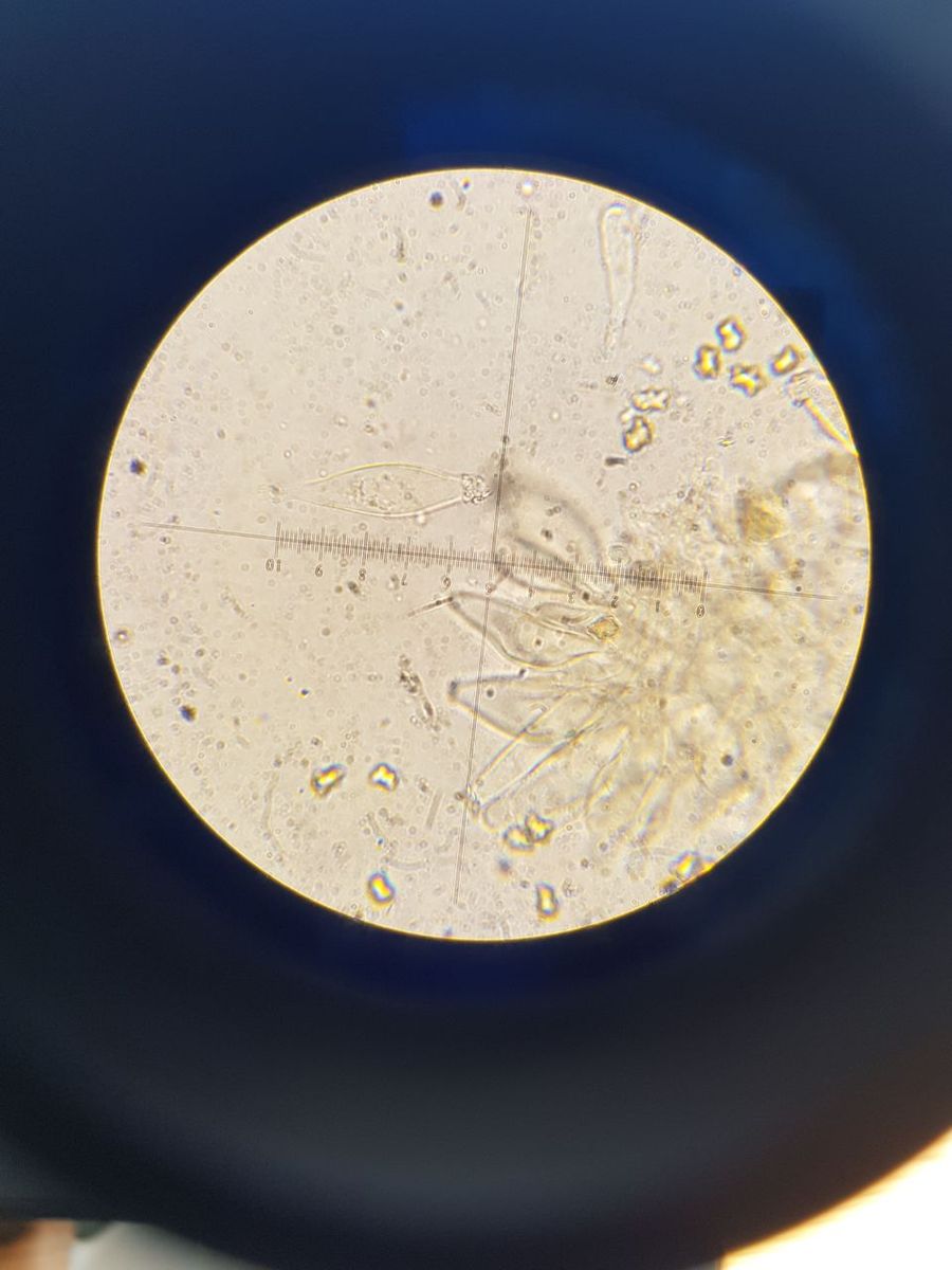
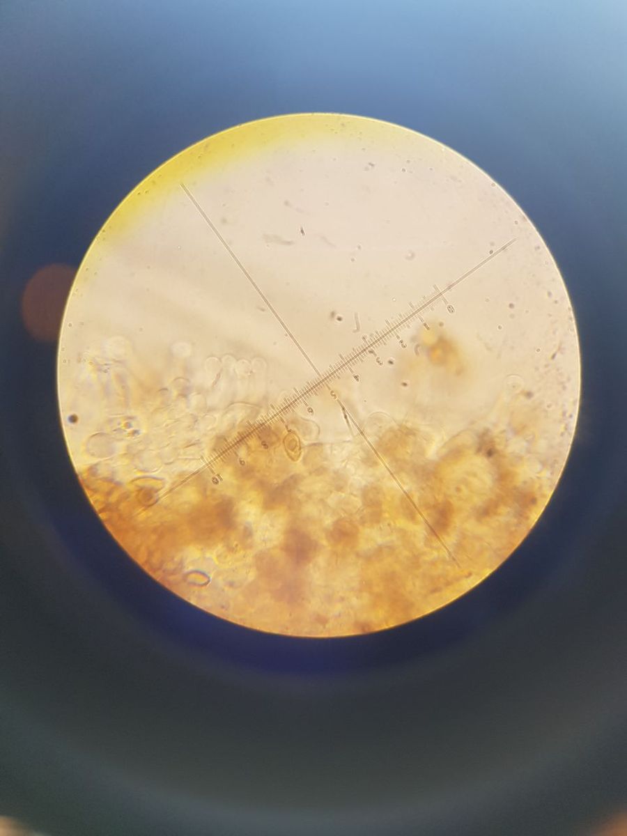
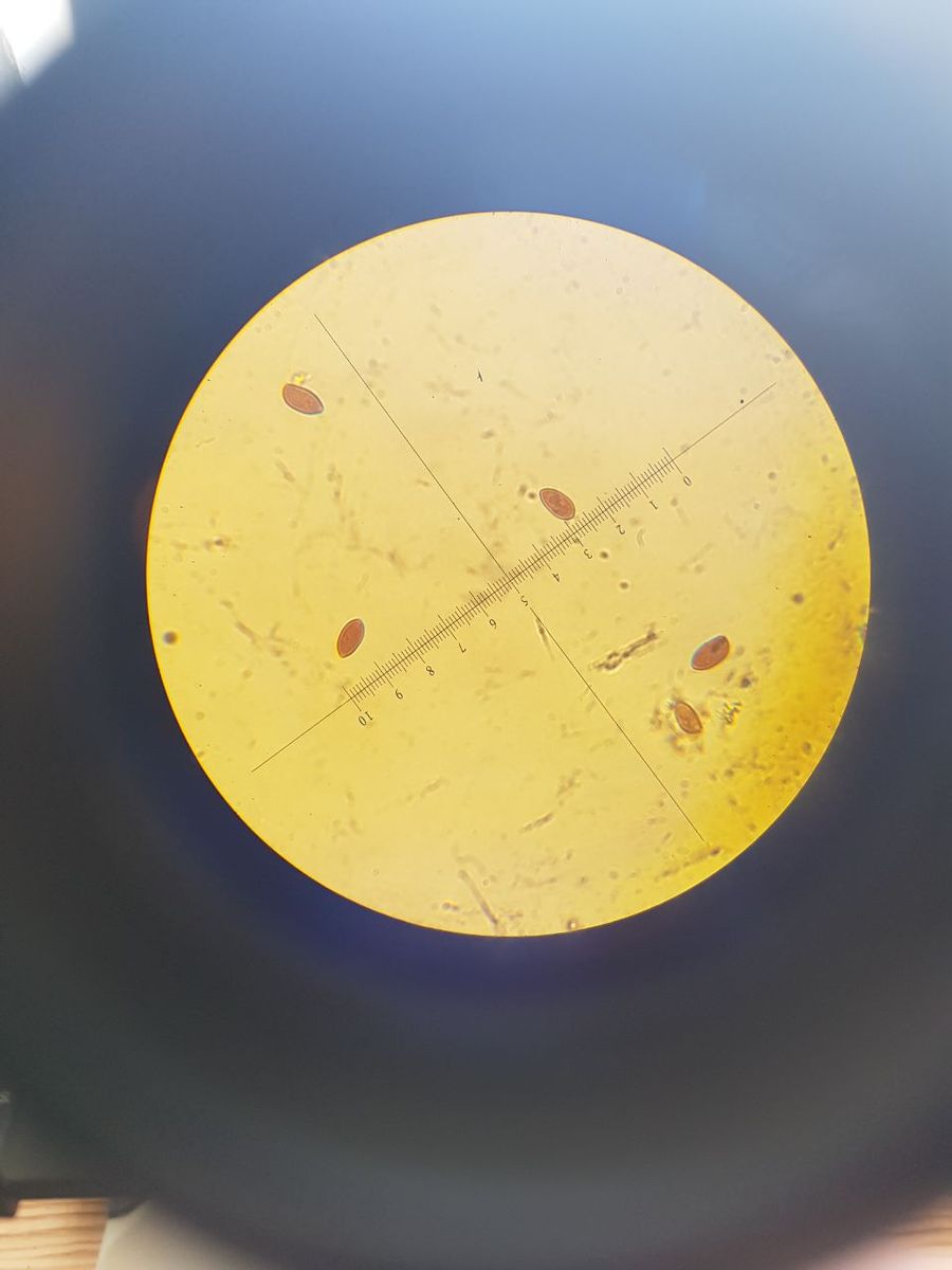
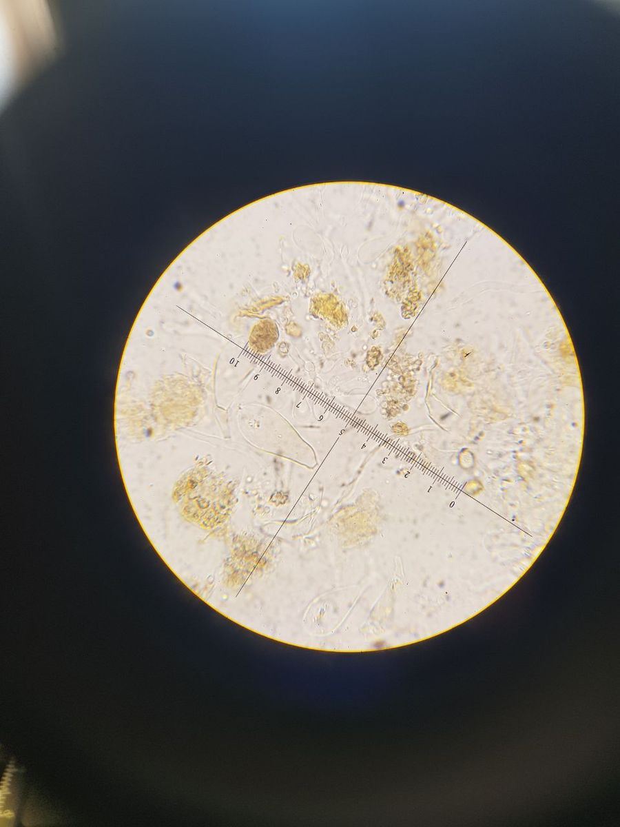
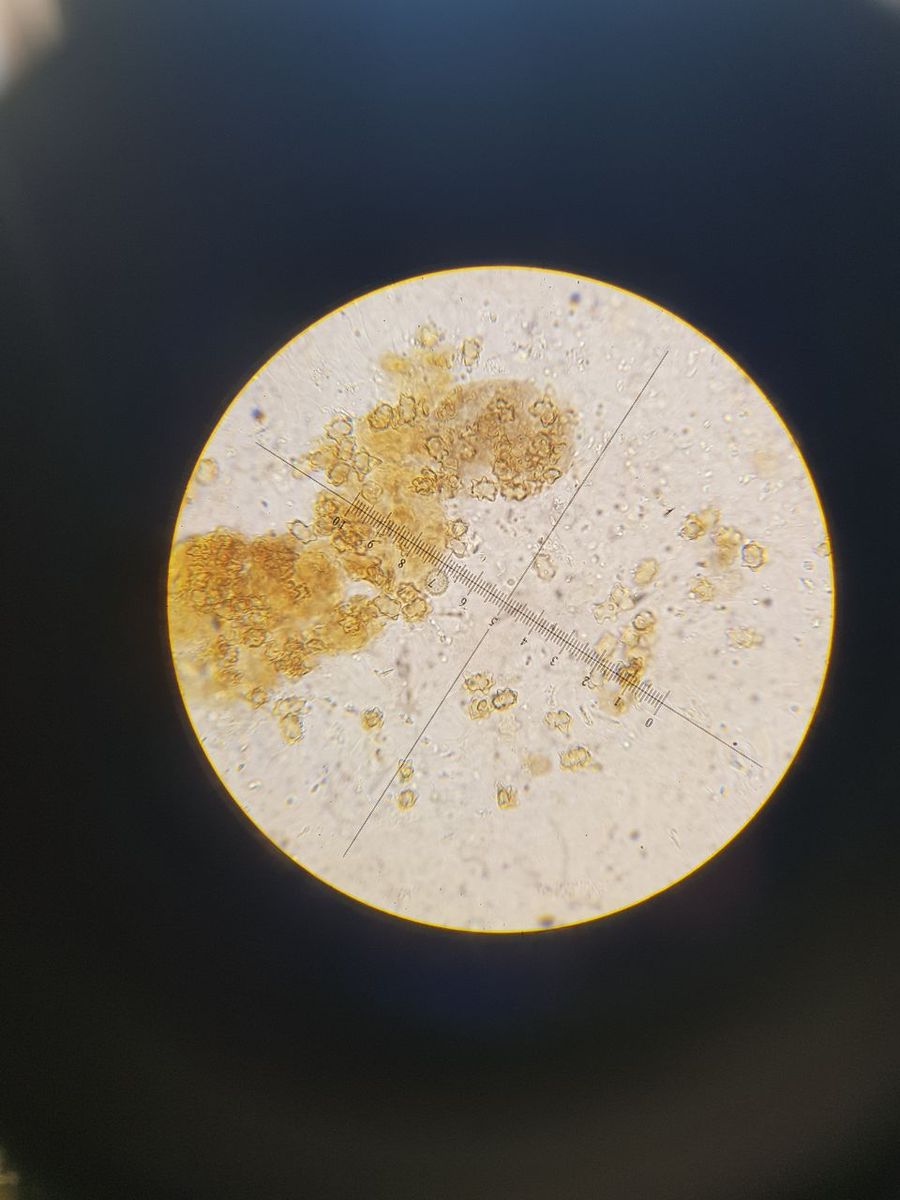
Mit Pilze der Schweiz kommt man über diese Angabe: 2' Sp . unter dem Mikroskop gefärbt, strukturiert (punktiert, warzig , stachelig , höckerig , eckig) theoretisch zu einigen Tomentella-Arten, aber auch anderen Gattungen, die nicht auf tomentella.de genannt sind.
Bitte entschuldigt, falls die Frage aufgrund fehlenden Wissens zu diesem Thema vielleicht etwas unclever ist oder so.
Vielen Dank für eure Antworten und einen schönen Sonntag!
