Hallo, folgenden Rötling habe ich im Herbst in einem Eichen- Buchenbestand gefunden:






Folgende mikroskopische Daten habe ich dazu erhoben:
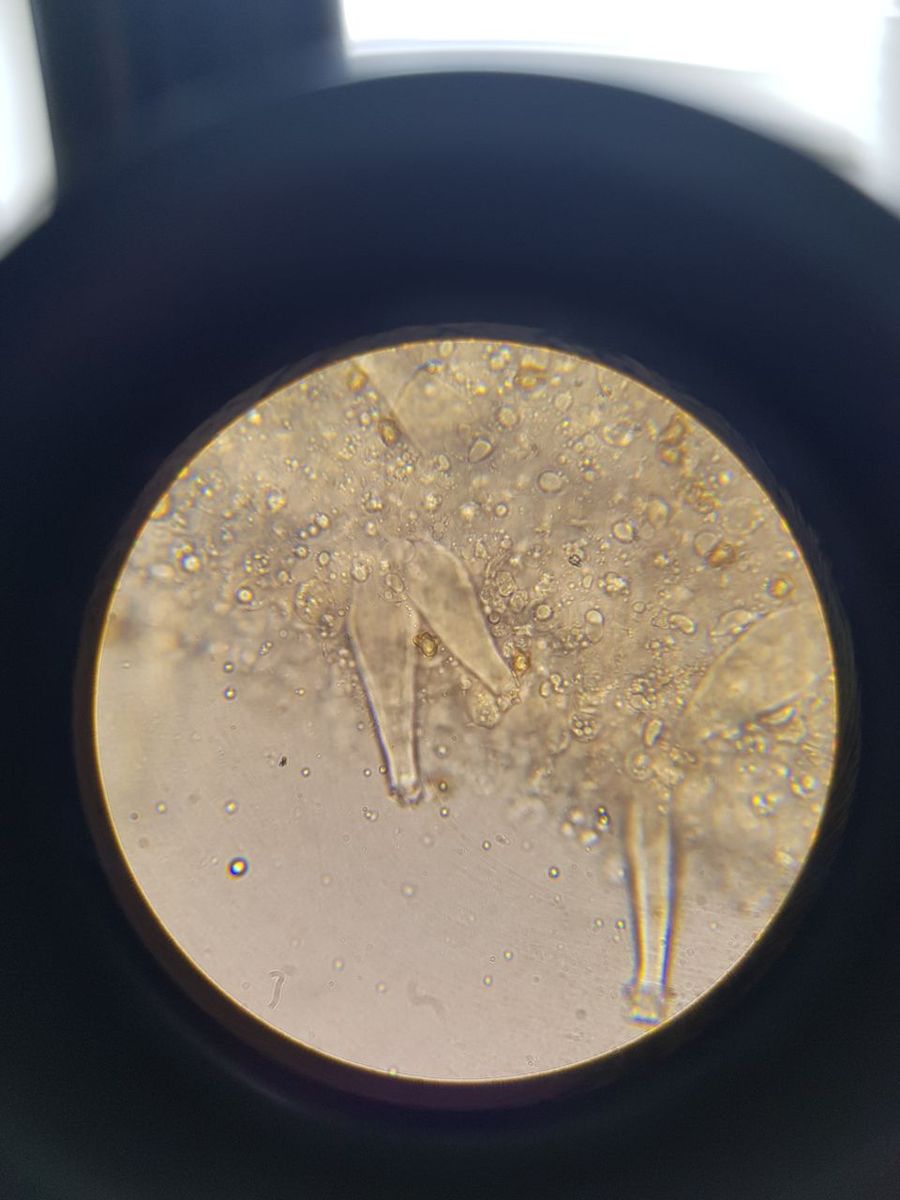
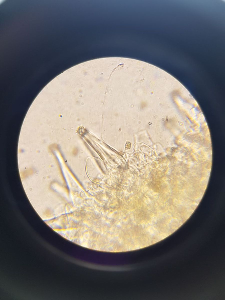
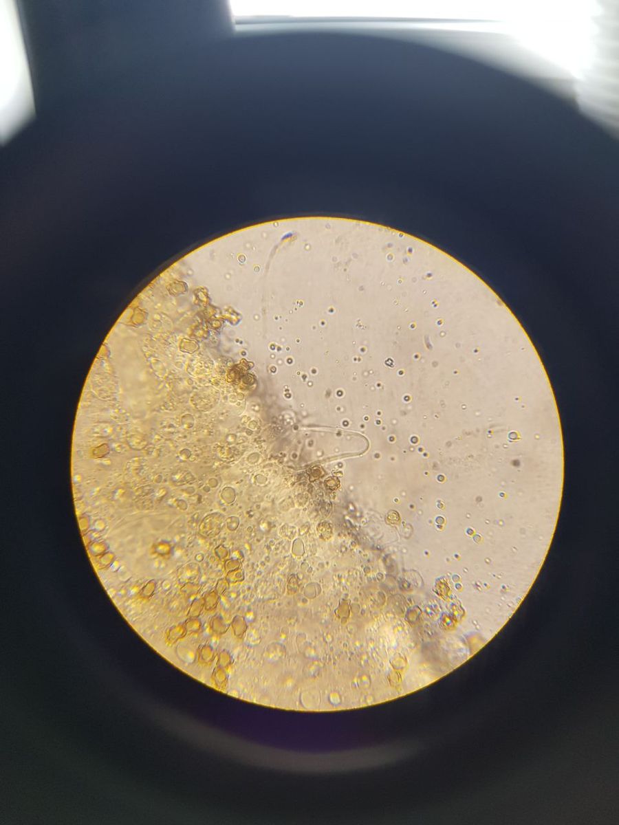
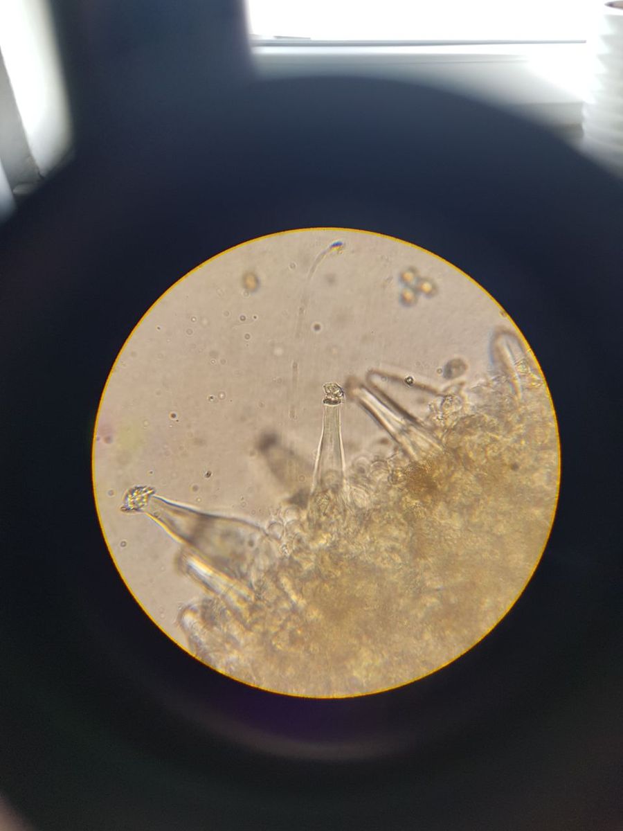
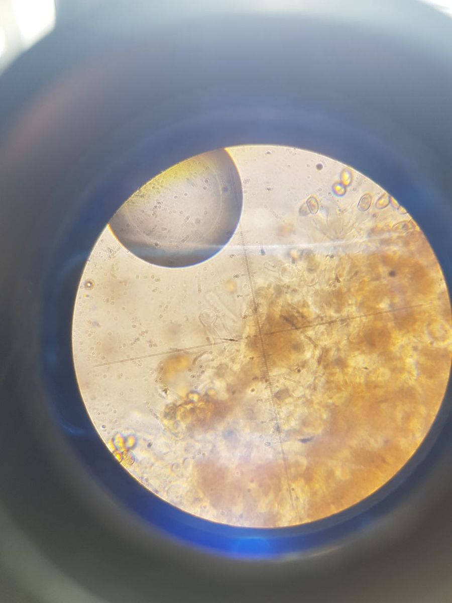
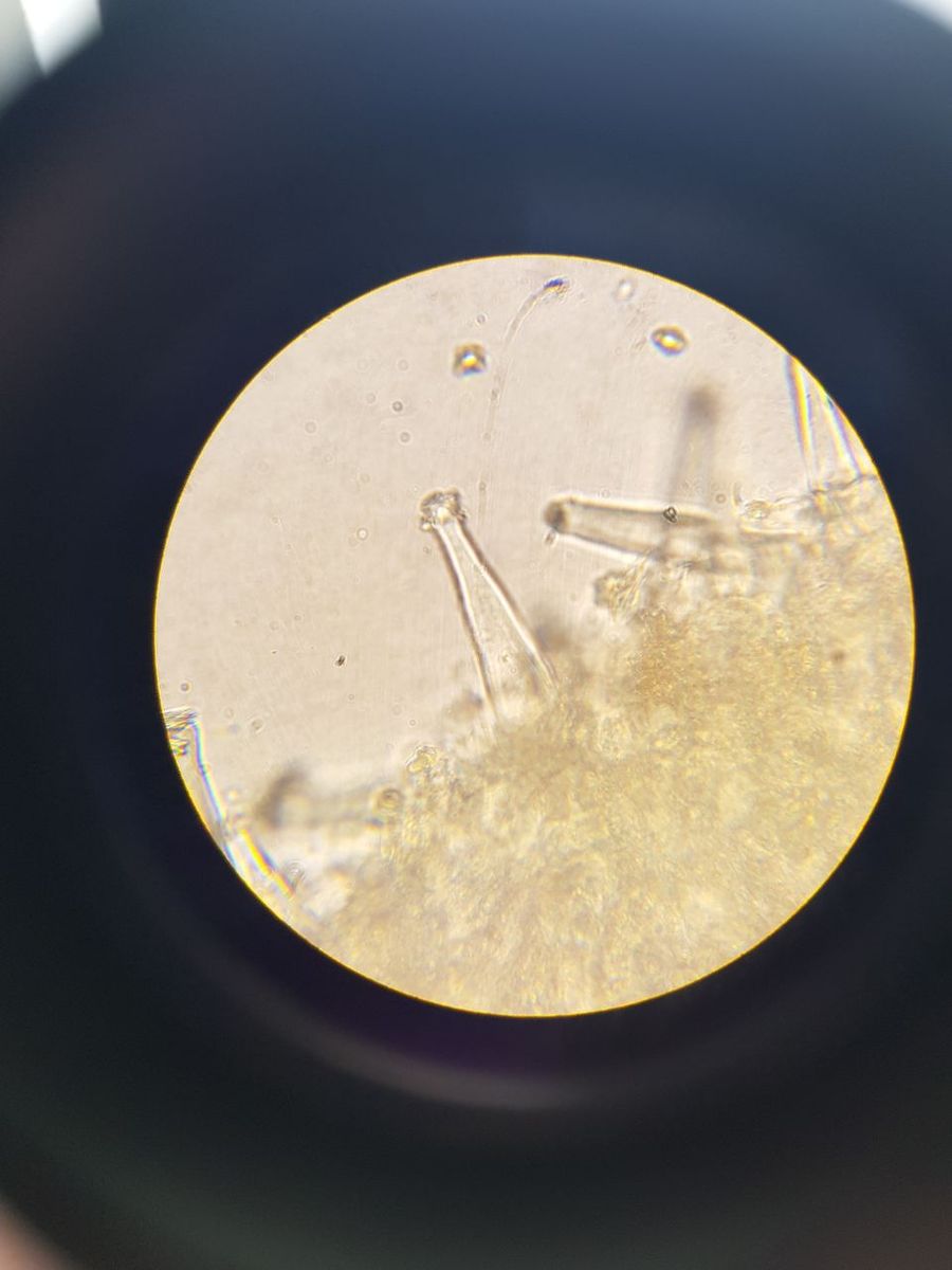
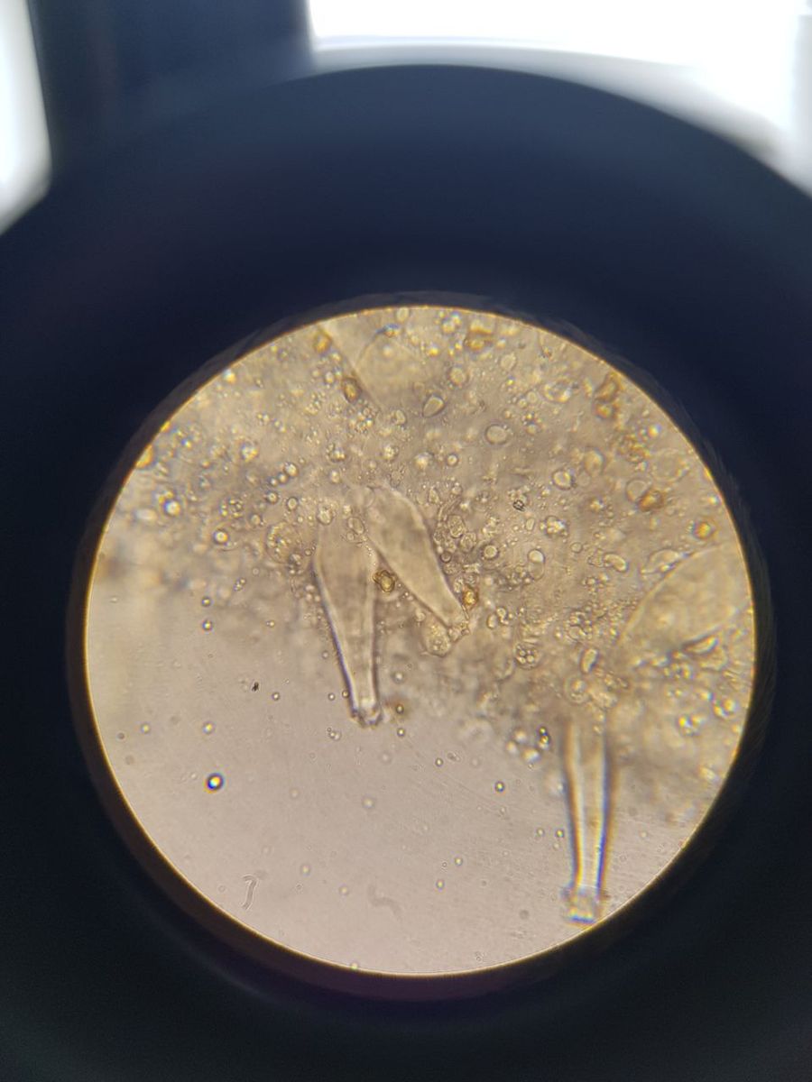
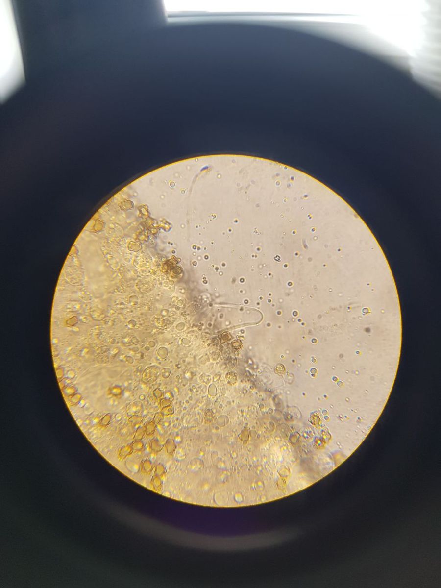
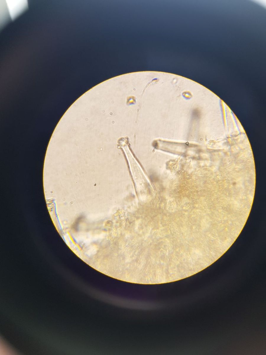
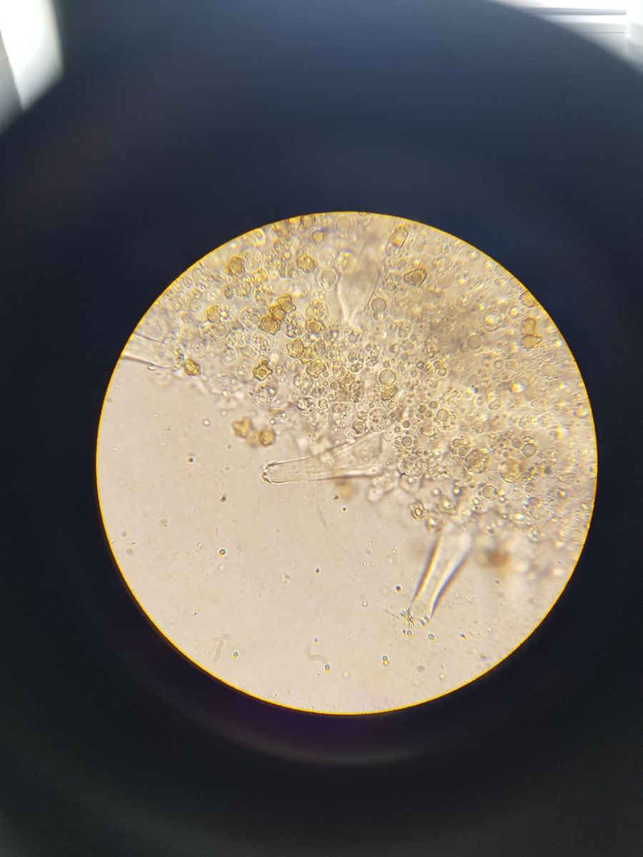
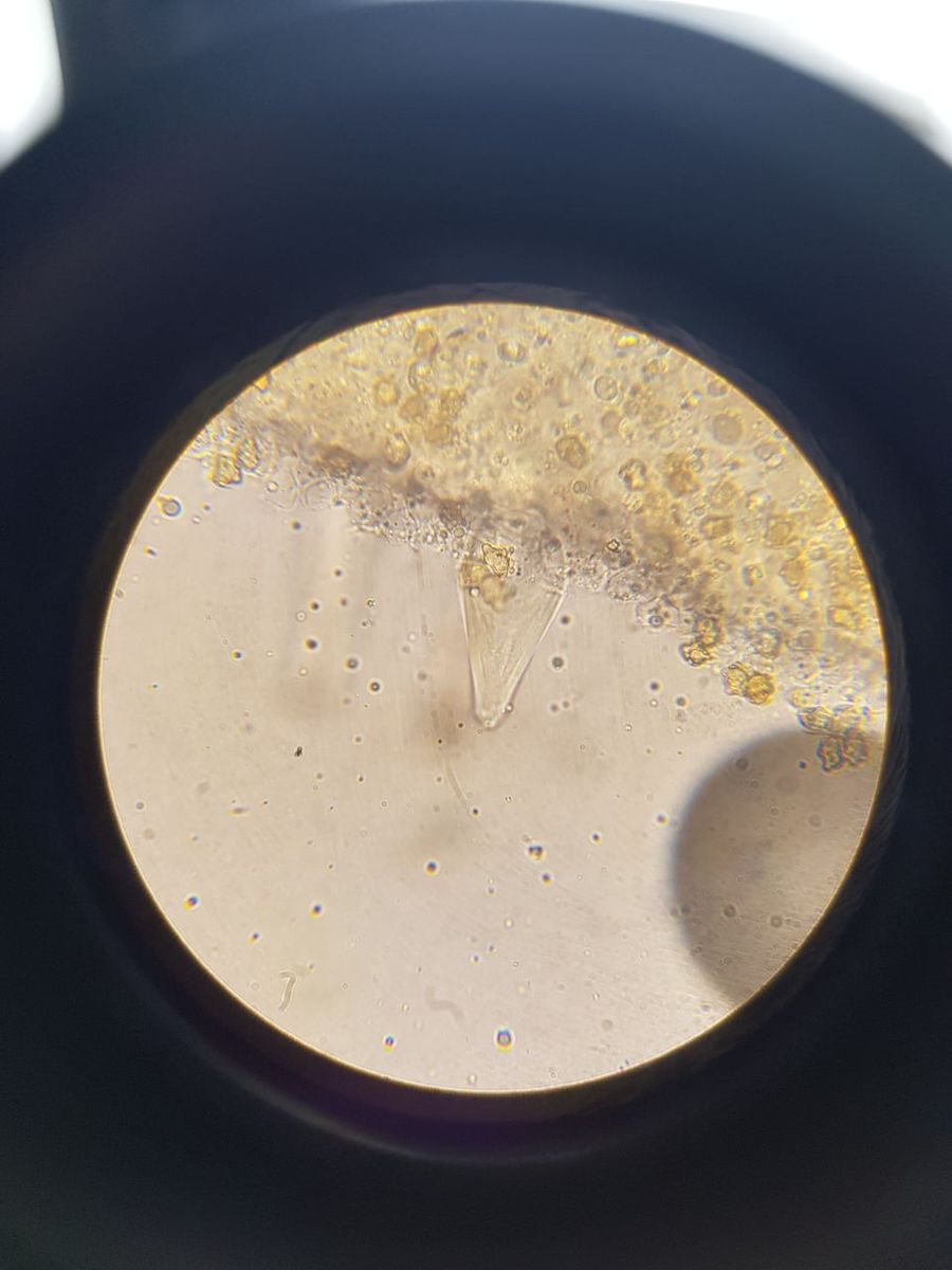
Sporen 10-12 x 6,5-8 (Av: 10,5x7,25), 5-6-eckig
Qav: 1,45
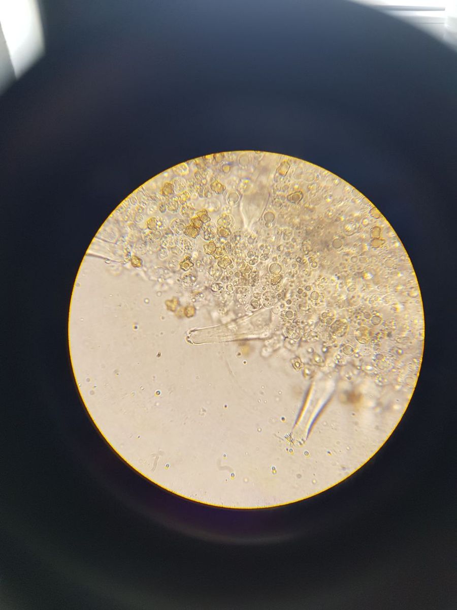
Pigment der HDS intrazellulär - relativ sicher
Alle Basidien waren 1 oder 2-sporig - kommt mir komisch vor...
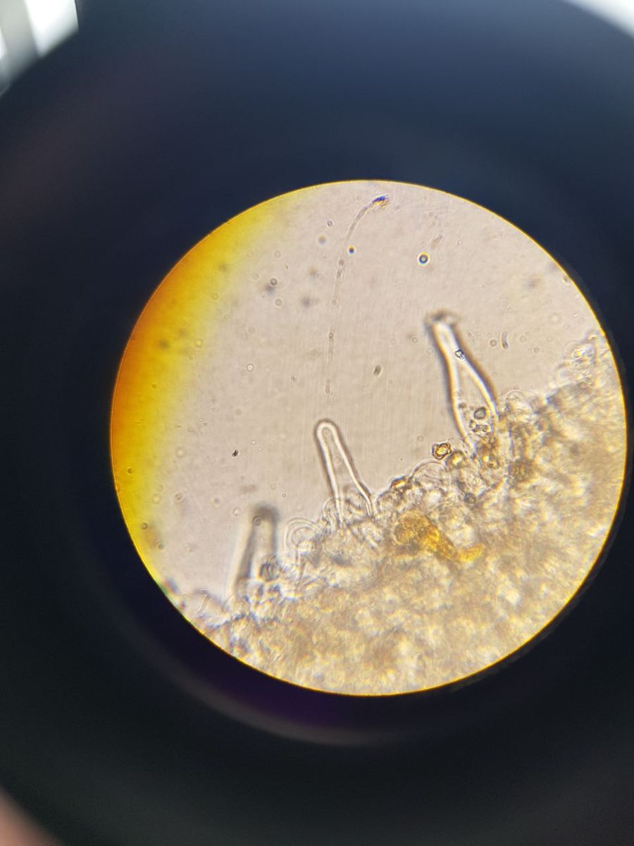
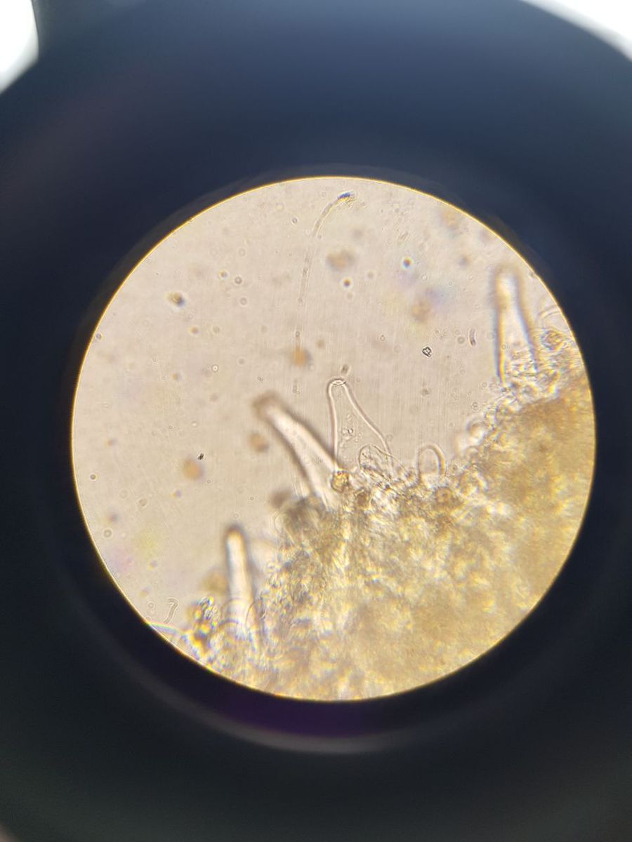
Cheilozystiden habe ich nicht gefunden bzw. keine deutlichen entdecken können
Wenn ich mit Funga Nordica schlüssle komme ich bei verschiedenen Arten raus, die mir alle nicht so recht passen, vielleicht kann mir ja jemand helfen. Zur Vollständigkeit mal meinen bisherigen Schlüsselweg:
- Fruchtkörper nicht crepitoid
 - Lamellenschneide nicht gefärbt – oder zählt das weißliche an der Schneide?
 - Hut ohne blaue/violette Farben
 - Stiel ohne blaue/violette Farben
 - Hut nicht pink
 - FK mycenoid – Bin ich mir unsicher, aber der Hut ist entsprechend gewölbt
 - Sporen nicht cuboid oder kreuzförmig
 - Hut hygrophan – weiß ich leider nicht genau, habe nur den einen gefunden. Weiß jemand ob man das so sehen kann?
 - Mycenoider Habitus
 - Cheilos nicht vorhanden à Schlüssel K
 - 2 Sporig
 - Cetratum oder farinogustus
- Cetratum: Standort und Jahreszeit unpassend
 - Farinogustus: Bild (Pilze der Schweiz) zeigt anderes Aussehen
 
 
Alternativer Schlüsselweg: Collyboid
Dann komme ich bei E. sericellum raus
Alternativer Schlüsselweg: Cheilos vorhanden (möglicherweise undeutlich)
E. testaceum
Alternativer Schlüsselweg: 4-sporig
E. pallescens
Wenn ich nicht hygrophan auswähle komme ich bei nichts passendem raus.
Vielen Dank für eure Hilfe, falls ich irgendwas falsch gemacht habe sagt gerne Bescheid, bin noch recht unerfahren mit Rötlingen 