Hallo,
ich hab noch einen Risspilz. Hier vermute ich I. lanuginosa, mit FN komme ich da ganz gut hin. Die Cheilo- und Pleurozystiden stimmen meiner Meinung nach auch gut mit denen auf Inocybe.org überein. Wie seht ihr das? Vielen Dank und sorry für die schlechten Makrofotos!
Fotos:
Cheilos:
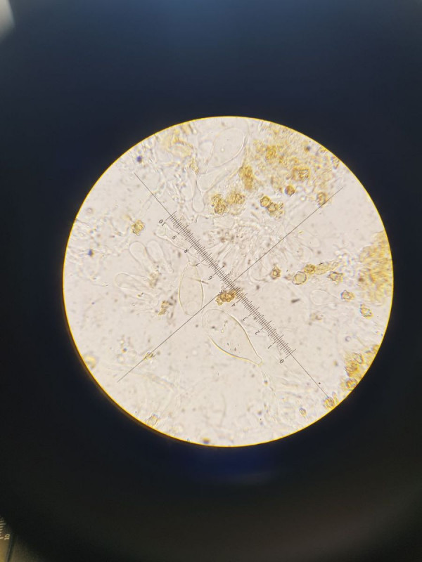
Pleuros:
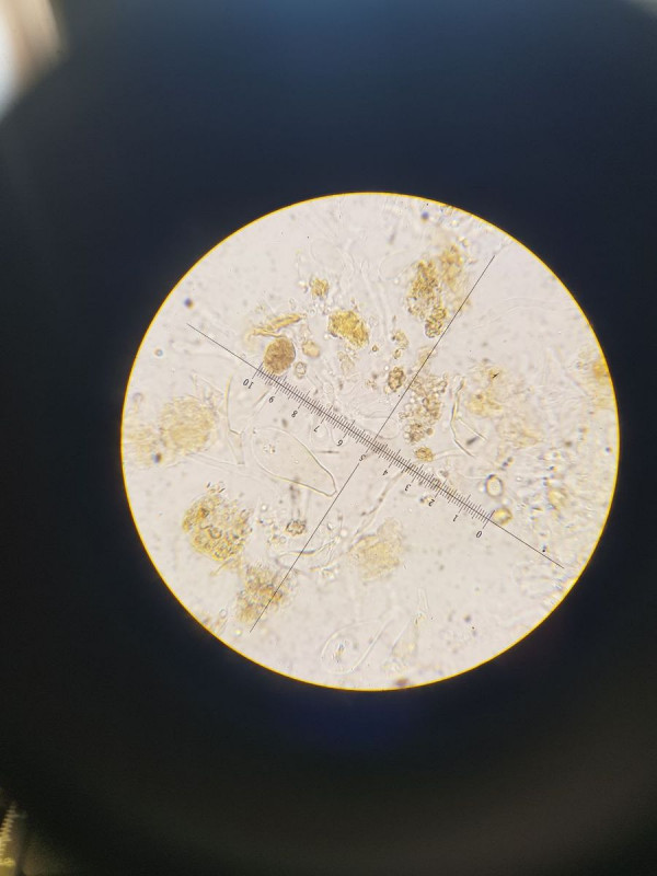
Sporen Av: 9x6,1; 8,5-10 x 6-6,5:
Vielen Dank und liebe Grüße!
