Hallo
zusammen,
jetzt
im Herbst fallen Myriaden Tonnen Blätter zu Boden. Diese werden
anfangs vor allem von anamorphen Pilzen zersetzt, bevor dann die
Humifizierung durch Bakterien fortschreitet. Freunde von Hyphomyceten
brauchen jetzt keine Feuchtkammern in Form von Döschen; die
Feuchtkammer ist die Natur. Man kann also bei einem Spaziergang oder
vor dem Haus etwas Pflanzenmaterial aufheben und dann mit dem
Mikroskop in die Tiefen der Schimmelpilze eintauchen. Ich will hier
die Gattung Harzia zeigen, einen alltäglichen Pilz, der quasi
auf jedem pflanzlichen Material vorkommt. Dann seinen seltenen
Albinobruder, die Gattung Olpitrichum und schließlich die
selteneren Synanamorphen dazu, die Gattung Proteophila
(nicht zu verwechseln mit der
optisch ähnlichen Gattung Aspergillus).
Zuverlässige Artenangaben sind ohne Sequenzierung bei Hyphomyceten
kaum möglich.
VG,
Tonio
1)
Harzia (Konidien gelb-braun, daher nicht färbbar mit
Baumwollblau + Milchsäure = acyanophil) - von Corylus




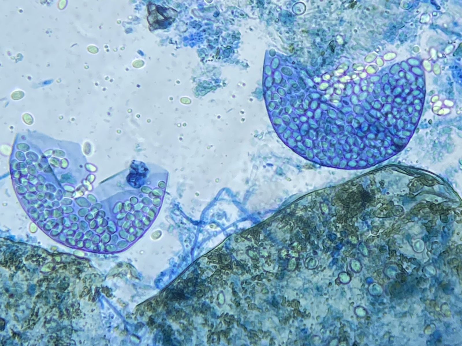
2)
Olpitrichum (Konidien hyalin, daher färbbar mit Baumwollblau
+ Milchsäure = cyanophil) - von Buxus




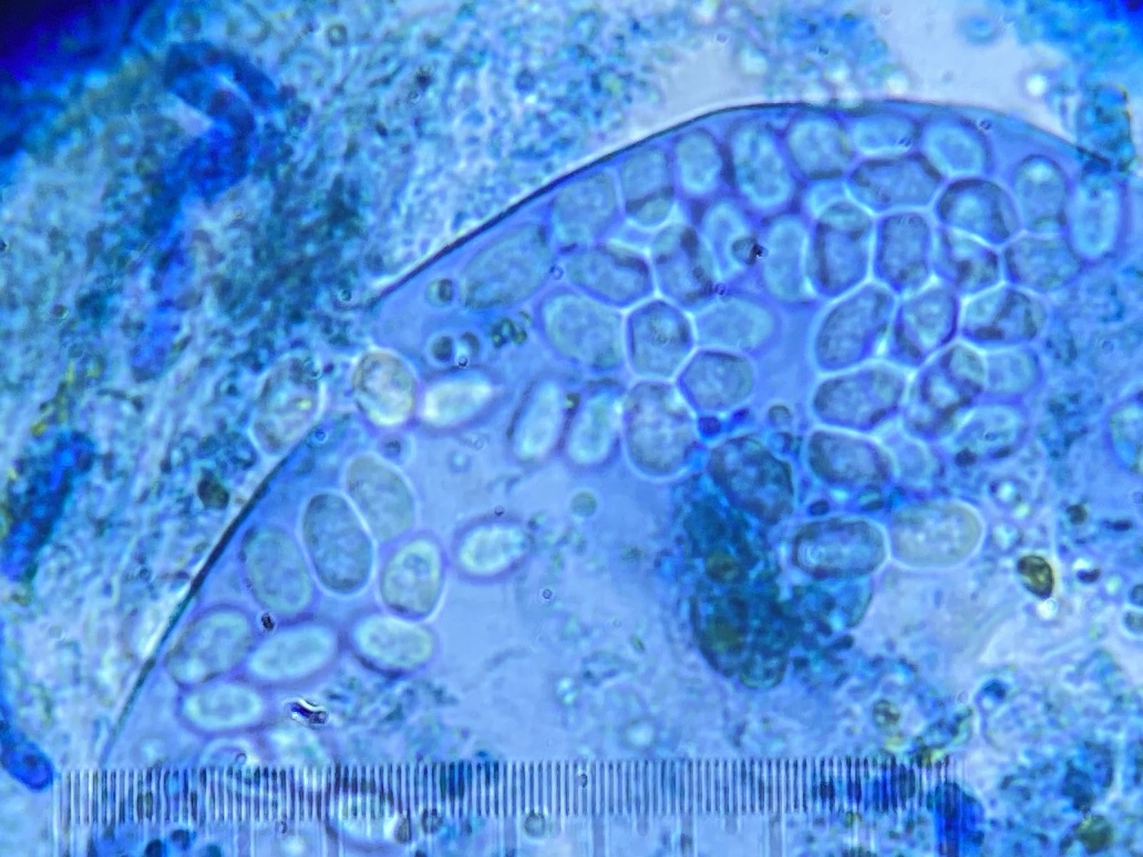
3)
Die synanamorphe Proteophiala zu Harzia - von
Rhododendron
(Phyaliden
+ Konidien hyalin, daher färbbar mit Baumwollblau + Milchsäure)




4)
Die synanamorphe Proteophiala zu Olpitrichum - von
Raphanus
(Phyaliden
+ Konidien hyalin, daher färbbar mit Baumwollblau + Milchsäure)



