Hallo allerseits,
war gestern mit einem Botaniker unterwegs, ein paar Auwälder besuchen.


Pilzlich gab es nicht viel. Aber immerhin endlich die bisher überfälligen Judasohren und den Schuppigen Porling, die sich mir bisher gekonnt entzogen hatten.
Die Judasohren eingetrocknet im jungen Zustand, auf Spindelstrauch, was laut aktueller ZfM ein relativ seltenes Substrat sein soll.


Polyporus squamosus auf wohl Ulme oder Linde

Dann gab es noch den Kollegen Polyporus lepideus


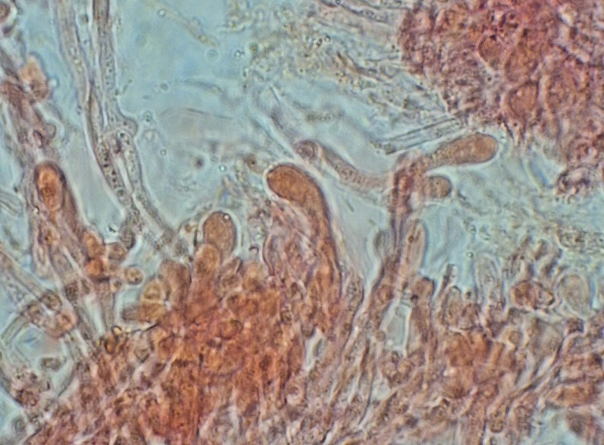
In einem Ulmenwald mit dominierendem Winterschachtelhalm in der Bodenschicht gab es einen interessanten Pilz an Equisetum hyemale, ein oranges Becherlein, mit gerade so den ersten reifen Asci
An Winterschachtelhalm hatten thorben96 und Roni1 gelegentlich Pilze gezeigt und erwähnt, dass dies ein vielseitiges Substrat sei - vielleicht habt ihr ja eine Idee, was das sein kann?



Auflicht


Wasser

Melzers, J- oder nur minimale Anfärbung der Spitzen. Die Asci sind um 120*13 µm groß. Die wenigen Sporen, die zu vermessen waren, um 18-20*7 µm


Die Stecknadelflechten waren bescheiden vertreten, relativ häufig die gelbe Chaenotheca brachypoda, die wohl für Auwälder typisch zu sein scheint. Meist an Rinde und Holz von Weiden, aber auch eine Reihe anderer Substrate.


was das für komisch Auswüchse an den Weiden sind, ist mir nicht klar - ich vermute irgendwelche Wespen odr Milben als Verursacher dieser Verformungen

Zudem gab es die Stecknadeln auf Pappelzweigen Phaeocalicium populneum, auf einer noch nicht eindeutig geklärten Balsampappelart, evtl. ein Hybrid tremula x balsamifera, aber da gibt es ja noch eine Reihe anderer Kandidaten P. suaveolens/ussuriensis oder P. szechuanica, die sich im Auwald wohlfühlen können.

LG, Bernd