Hallo Ulla, hallo Noah,
euch beiden erst mal herzlichen Dank für die Mühe, die ihr euch mit meinem Fund gemacht habt.
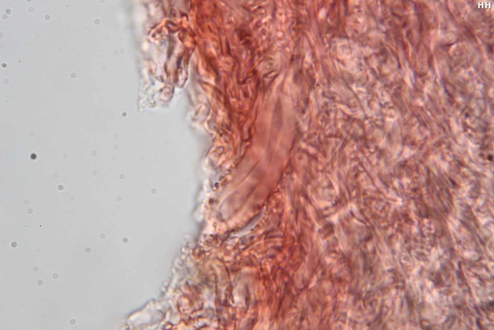
Beim Aufsammeln war ich erst mal makroskopisch von Tubifera ferruginosa ausgegangen, aber der Vergleich mit Bildern eines früheren Fundes zeigt deutliche Unterschiede.
Deshalb habe ich das Exemplar nicht entsorgt, sondern gelegentlich auf Veränderungen überprüft. Das Ergebnis habe ich im Beitrag oben vorgestellt.
Hier noch mal stark vergrößert direkt nach dem Aufsammeln:
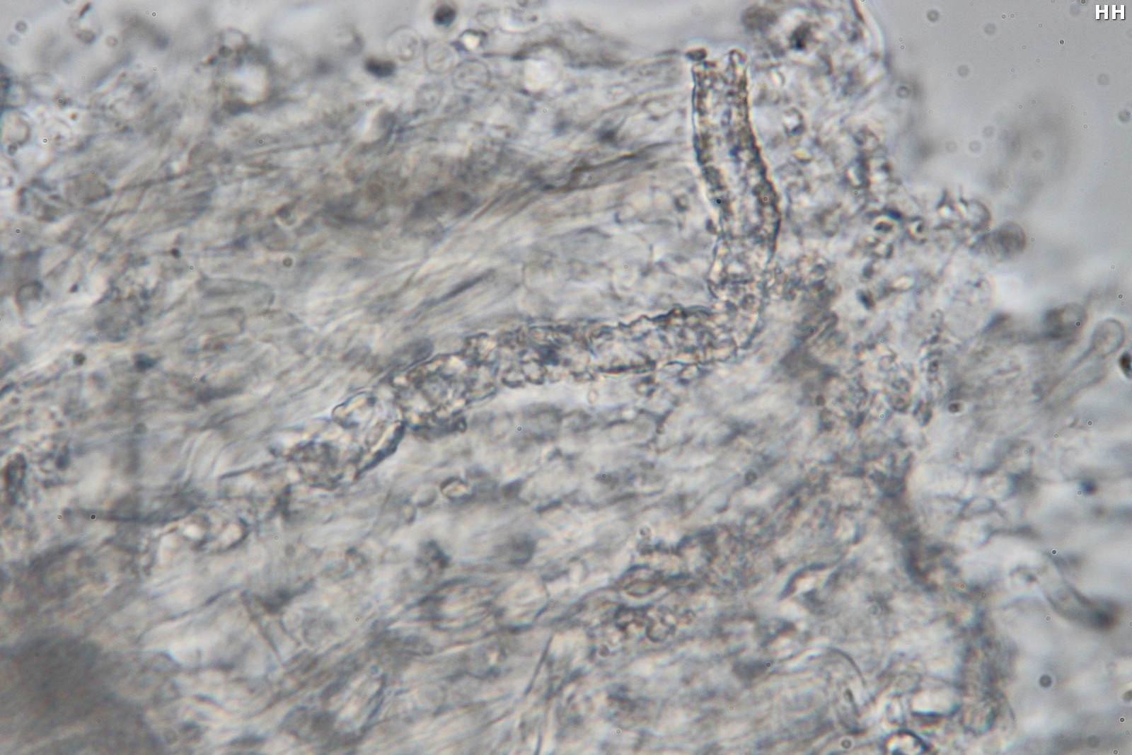
Was mich noch hellhörig gemacht hat, war die Info, daß Tubifera ferruniginose meist auf Nadelholz zu finden ist, was bei dem aktuellen Fund ebenfalls nicht zutrifft.
Daß ich damit die Sporengröße nicht passend bekomme ist mir klar. Aber ich konnte weder in den "Myxomyceten" noch im Netz Bilder oder weitere Informationen finden, die die Variationsbreite oder Verwechselungsmöglichkeiten aufzeigen.
Mit euren Informationen kann ich jetzt endlich einen Strich unter den Fund machen, auch wenn deutliche Abweichungen vorliegen, die ein cf erfordern.
Herzliche Grüße und vielen Dank
Harald
