Hallo zusammen,
als ich am 6.11. mit Karl, Hans und Jan-Arne im Depot unterwegs war, habe ich mir natürlich auch ein bißchen guten Dung von dort mitgenommen. Konkret war es eine Portion Pferdedung und eine Portion Damwilddung. So langsam zeigen sich da auch die ersten Pilzchen.
Legen wir mal mit dem Pferd los. Da ist das Pilzwachstum bis jetzt noch zurückhaltend und es sind in erster Linie Einzelexemplare zu finden, was die Bestimmung natürlich nicht einfacher macht.
I.1 Sporen messen 19-23 µm x 12-14 µm, so daß ich zu Schizothecium vesticola komme.






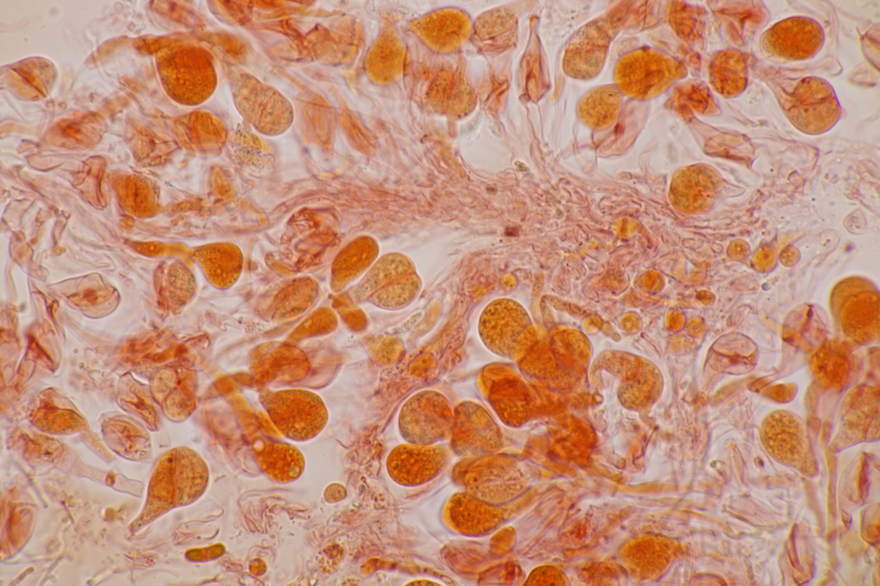
I.2 Leider nur ein Einzelexemplar: eine Podospora mit vielen Sporen im Ascus. Die Sporen messen 21-24 x 14-15 µm. Wie viele es genau waren, ließ sich leider nicht genau ermitteln, es liegt aber um die 100. Damit sind dann nur noch Podospora bifida und setosa im Rennen. Da das Pedicel um die 5 µm breit ist, geht meine Tendenz hier zu Podospora bifida.




I.3 Podospora decipiens







IMG_9921.JPG




Und nun zum Damwild.
II.1 Auf frischer Losung darf natürlich ein Pilobolus nicht fehlen. Die Sporen messen 4.9-7.4 x 3.1-4.2 µm, Q=1.4-2.0, also Pilobolus roridus. Nicht abgelichtet, aber ebenfalls auf der Probe war auch noch Pilobolus umbonatus.



II.2 Ein Saccobolus mit Sporen von 14-16 µm x 6-7 µm, die bis auf kleinere Unreinheiten ein recht glattes Epispor haben. Gelbes Pigment fehlt. Kann das noch S. depauperatus sein oder ist das schon S. versicolor?





II.3 Nochmal ein Saccobolus, diesmal makroskopisch etwas kompakter. Sporencluster ca 35 x 12 µm, Sporen messen 12-13 µm x 6 µm. Das würde dann schon deutlicher zu S. depauperatus tendieren.

IMG_9961.JPG







II.4. Iodophanus carneus








Björn