Nächsten Donnerstag sind dann ja auch die Phytoparasiten dran, also endlich mal richtige Pilze ![]()
Björn
Nächsten Donnerstag sind dann ja auch die Phytoparasiten dran, also endlich mal richtige Pilze ![]()
Björn
Hallo zusammen,
ich fürchte ja, daß im Zweifelsfall die Texte hier aus dem Forum schon in ChatGPT eingeflossen sind. Die KI kann halt nicht denken, sondern schaut nur nach Mustern. Und da sieht eine Aussage der Form "Der Speisetäubling (Agaricus campestris) ist ein gefürchteter Giftpilz." eben erstmal gut aus. Da sehe ich auch eine große Gefahr von KI-generierten Texten: Die lesen sich erstmal gut, sind aber im Zweifelsfall inhaltlich (in Teilen) sinnfrei. Wenn man ein bißchen Ahnung hat, merkt man das zwar, aber man muß dafür den Text aufmerksam lesen. Klar können Menschen ganz ähnliche Unsinns-Texte produzieren, aber eben viel langsamer als die KI. Die produziert den Quatsch nämlich schneller, als wir ihn mit unserer echten Intelligenz im Kopf lesen können...
Björn
Hallo Claudia,
oh weh... ich hatte beim Erstellen des Beitrags ein kleines Malheur mit der Zurücktaste im Browser. Weil ich dann dachte, daß die alten Fotos weg seien, habe ich den Entwurf gelöscht und einen neuen Beitrag erstellt. Aber offenbar haben die Fotos doch überlebt.... wie man es macht....
Björn
Hallo zusammen,
Anfang Januar war ich auf einer Pilztour in der Haard bei Oer-Erkenschwick und konnte dabei die folgenden Funde machen:
1. Ein Botryobasidium mit Sporen von 7.8+-0.5 x 4.2+-0.2 µm, Q=1.9+-0.1, 6.9-8.6 µm x 3.5-4.5 µm, Q=1.7-2.2, also ohne Anamorphe nicht näher bestimmbar.
2. Noch ein Rindenpilz auf dem gleichen Rindenstück. 7.9-9.5 µm x 4.2-4.9 µm, Q=1.7-2.2. Basidien 4-sporig, Schnallen vorhanden. Zystiden gab es auch in allen Farben und Formen, aber insgesamt nur relativ wenig, so daß sich da kein kohärentes Gesamtbild ergibt.
3. Neobulgaria pura
4. Hypocrea pulvinata ex Fomitopsis betulina
5. Meloderma desmazieri auf Pinus strobus
6. Biscognauxia marginata
7. Massaria campestris ex Acer campestre
Björn
Das stimmt. Im ersten Moment wäre ich auch fast vorbeigelaufen. Das Wetter war ja eher düster und der blaue Rindenpilz eher auf der dem Boden zugewandten Seite des Holzes wuchs, wirkte er erstmal fast schwarz und wie ein Pyrenomycet. Umso größer natürlich die Freude, als er dann blau wurde.
Beim APN-Meeting am Montag wurde übrigens berichtet, daß man den Pilz auch sehr einfach auf Rindenmulch übersiedeln kann. Das wäre mal auszuprobieren...
Björn
Hallo Martin,
den habe ich jetzt bei gezielter Suche auf Physcia schon das eine oder andere Mal finden können. Ist sicher nicht auf jedem Ast mit Physcien vorhanden, aber wenn man sich einige Äste anschaut, sollte man eigentlich fündig werden.
Björn
Hallo Nobi,
wie ich den Beitrag gestern eingestellt habe, mußte ich daran denken, daß du letztes Jahr meintest, der würde dir noch fehlen. Hier ist das wirklich ein absoluter Massenpilz, der quasi an jeder Platane vorhanden ist. Dafür sucht man sich nach H. berkeleyi die Augen aus...
Björn
Hallo zusammen,
zu Silvester habe ich noch eine Runde durch den Eller Forst in Düsseldorf gedreht. Auch hier war die Motivation der Fund eines Blauen Rindenpilzes bei obsidentify. An der besagten Stelle war ich zwar auch diesmal nicht erfolgreich, aber die Tour hat sich gelohnt....
1. Hymenochaete tabacina ex Salix sp.
2. Holwaya mucida
3. Massaria inquinans ex Acer pseudoplatanus
4. Sarcomyxa serotina
5. Marchandiomyces aurantiacus
6. Illosporiopsis christiansenii
7. Und ganz am Ende der Tour dann der Zufallsfund: Terana caerulea in rauen Mengen an einem Brückengeländer
Björn
Hallo zusammen,
da Ende letzten Jahres in Dortmund an der Emscher der blaue Rindenpilz bei obsidentify gemeldet wurde, habe ich mich am vorletzten Tag des Jahres auf die Suche begeben. Terana caerulea habe ich zwar nicht gefunden, aber dafür einige andere interessante Dinge gefunden.
1. Encoelia furfuracea
2. Illosporiopsis christiansenii
3. Xanthoriicola physciae
4. Syzygospora physciacearum
5. Phragmidium violaceum III ex Rubus fruticosus agg.
6. Arrhenia rickenii
7. Octospora musci-muralis
8. Lophiostoma macrostomum an Urtica dioica
9. Pleomassaria carpini an Carpinus betulus
10. Stilbospora macrosperma ex Carpinus betulus
11. Splanchnonema pupula ex Acer pseudoplatanus
12. Scytinostroma hemidichophyticum
In Melzer
In SV
Björn
Hallo zusammen,
nach Weihnachten war ich eine Runde im Wald zwischen Düsseldorf und Ratingen unterwegs und konnte dort einiges an Pilzen finden:
1. Sclerencoelia fraxinicola auf Fraxinus excelsior
2. Octospora affinis ex Orthotrichum affine
3. Pleomassaria carpini ex Carpinus betulus
4. Amphisphaeria millepunctata ex Carpinus betulus
5. Splanchnonema pupula ex Acer pseudoplatanus
6. Melogramma campylosporum ex Carpinus betulus
7. Gracilistilbella clavulata ex Carpinus betulus
Björn
Hallo Nobi,
jetzt komme ich nach den ganzen Feiertagen endlich mal dazu, dir zu antworten. Die Saccobolusse scheinen ja wirklich ein weites und schwieriges Feld zu sein. Wenn sie nicht zu hübsch wären, würde man sie wahrscheinlich einfach links liegen lassen...
Bei Nummer 4 habe ich die Sporen gemessen: 10.6-12.8 µm x 4.7-5.8 µm, Q=2.0-2.5, im Mittel 11.7 x 5.4 µm, Q=2.2. Damit ist Thelebolus microsporus wohl raus, aber leider auch alle anderen Thelebolusse, wenn ich das richtig sehe. Was kann es dann sein? Ein Coprotus?
Björn
Hallo Norbert,
Myxarium sind eigentlich total angenehm zu Mikroskopieren. Ein kleines Fitzelchen mit Kongorot anfärben und dann etwas in KOH anweichen, bevor das Deckglas draufkommt und schon hat man ein wunderbares Präparat. Und Sporenabwurf geht ja meistens auch sehr unkompliziert bei denen.
Björn
Hallo zusammen,
ich würde bei dem Drüsling auch eher zu Myxarium tendieren. Man sieht doch links sehr schön die weißen Einschlüsse. Dann muß man aber mikroskopieren, da M. hyalinum und M. nucleatum zwei gute Arten sind, die man nur über die Sporengröße auseinandergedröselt bekommt.
Björn
Hallo Sebastian,
ich kenne keine Verwechslungsarten (habe aber auch noch nie von weiteren Bactridium-Arten gehört). Farblich scheint das Dingen variabel zu sein. Wir hatten heute einen Fund, der eher weiß als gelb war.
Björn
Hallo zusammen,
das ist Bactridium flavum.
Björn
Hallo Cyrill,
das sieht doch aufgrund der Sporen schon stark nach Hypomyces aus ![]()
Björn
Hallo Cyrill,
Dialonectria episphaeria kannst du hier ausschließen, die wächst auf Diatrype. Ich könnte mir hier auch gut etwas Richtung Hypomyces vorstellen, aber letztlich bleibt das ohne Mikroskopie auch alles nur Rätselraten.
Björn
Hallo Martin,
ja, die Abschattung zum Bildrand war auch mit der alten Kamera vorhanden. Mit dem 1.6x-Adapter wird das Problem sicherlich kleiner werden oder sogar ganz verschwinden.
Björn
Hallo zusammen,
als ich Anfang Dezember im Landschaftspark Duisburg unterwegs war, habe ich auch einige Kaninchenköttel aufgesammelt. Die haben in den letzten Wochen einiges an Pilzen zu Tage gefördert, was ich hier im Folgenden vorstellen möchte
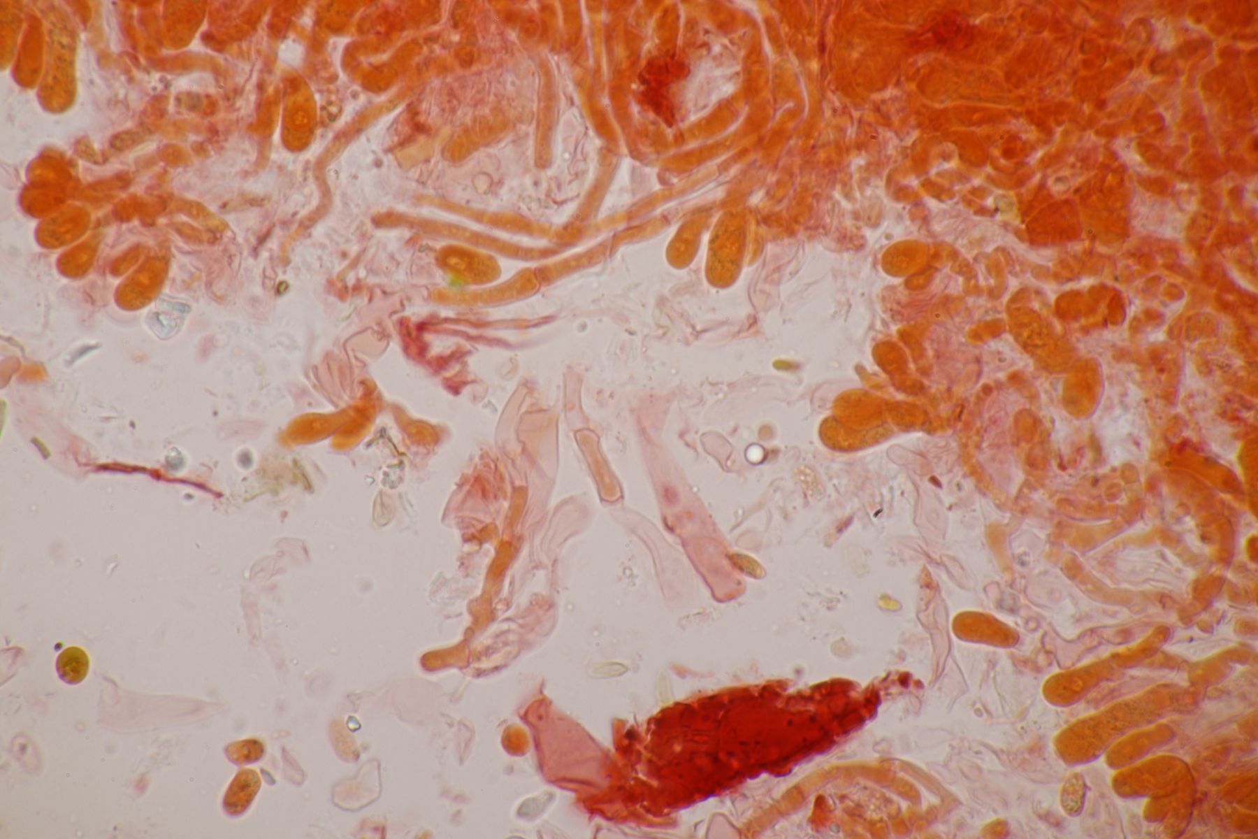
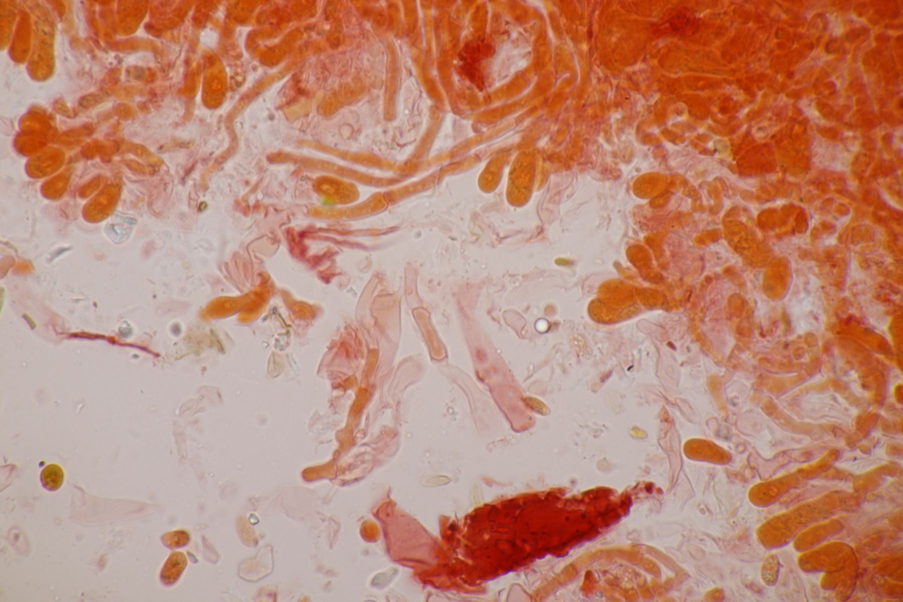
1. Am Anfang schimmelte es munter vor sich hin. Hier tippe ich auf einen Piptocephalis, aber eine Art traue ich mich da nicht zu benamsen.
2. Dann kamen Saccobolusse. Bei diesem hier messen die Sporencluster 41-46 µm x 15-17 µm, die Sporen 17 x 7-8 µm. Auffällig die insgesamt sehr dunklen Sporen und die relativ kompakten, festen Cluster. Ohne gelbe Paraphysen also zur Sect. Eriobolus, wo man mit van Brummelen dann bei S. versicolor auskommt. Aber das scheint ja eine schwierige Gruppe zu sein, wenn man den Diskussionen hier im Forum folgt.
3. Thelebolus polysporus
4. Im gleichen Präparat fand sich dann auch das hier
5.Schizothecium tetrasporum
6. Wieder ein Saccobolus, diesmal mit auffälligen rosa-Tönen und einigem Gezumpel am Rand. Sporencluster messen 40-44 µm x 15-17 µm, Sporen liegen bei 16-18 µm x 8-9 µm. Ist das S. caesariatus oder sind diese Haare am Rand nur dm Wachstum in Kultur geschuldet und es ist auch was um S. versicolor?
7. Das dürfte noch mal der gleiche Kollege sein wie Nr. 2, Sporencluster sind hier noch mal kompakter mit 37-39 µm x 15-17 µm.
8. Eine Anamorphe...
9. Iodophanus carneus
10. Cystobasidium fimetarium
Björn
Hallo zusammen,
an Heiligabend habe ich auf dem Weg zu meinen Eltern ein Stück Mahonie aus einem Vorgarten mitgenommen, nachdem mir daran schwarze Knubbel aufgefallen sind. Das hat sich dann mikroskopisch als Hingucker erwiesen:
1. Cucurbitaria berberidis
2. Auch noch auf dem Ast diese kleinen, weißen Knubbel, die mikroskopische leider nur aus Hyphen bestanden. Vielleicht etwas Richtung Burgoa?
Björn
Hallo Nobi,
wie weiß schon der Volksmund: Ein Leben ohne Dung ist möglich, aber sinnlos ![]()
Björn
