Hallo,
am 27.10. fand ich diese Art neben Lepiota echinella und Lepiota griseovirens bei Brennesseln. Leider viel mir erst unter dem Mikroskop auf, das ich da wohl was nicht altägliches gefunden habe, deshalb gibt es auch leider keine Standortfotos.
Vegetation Alnus, Fraxinus, Quercus
Boden kalk/nährstoffreich
Hutdurchmesser bis 6 cm
Lamellen gelblich aber mit deutlichem rot/rosa Schein
Geruch ranzig/mehlig
Geschmack mild
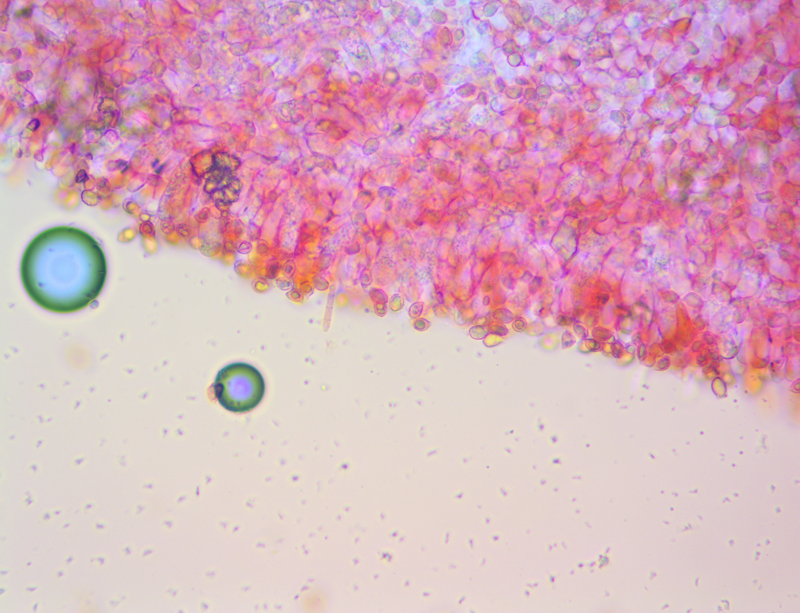
Sporen ca. 8 x 4,5 µm
Mit FN2 käme ich 1' > 3 > 4 zu L. rhodoleucus hier sieht es aber so aus, zumindest wenn ich mir die Sporenzeichnung anschaue, das meine Sporen etwas länglicher sind, auch etwas größer als das Maximum das dort angegeben ist (7,5 µm), ausserdem wird ein Hutbuckel erwähnt.
Wenn ich 1' > 3' > 5' > 7' > 9' > 10 gehen würde, würde L. cerealis kommen, der aber überhaupt nicht nach den Beschreibungen in FN2 passt (Bei Nadelbäumen, keine Cheilozystiden), die Art soll allerdings synonym mit Ludwig 42.2 L. albissimus sein, dort würde mein Fund ganz gut zur Kollektion B-C passen
Nun was meint Ihr?
Und über weiterführende Links/Literatur wäre ich dankbar!
LG, Chris






Cheilos



das kam auch aus der Lamellenschneide
