Hallo Thorben und alle Schipi-Freunde,
Um mir einmal Dendrohyphiden anzusehen, schälte ich den Mottenkugelpilz Scytinostroma portentosum mit Holz von einem morschen Ast. Danach verwahrte ich diese Schälstücke in einem Döschen. Nach einiger Zeit erschienen oben und unten Schimmelpilze. Die von oben konnte ich identifizieren, aber die beiden von unten, also auf dem Holz unter dem Mottenkugelpilzbelag, sind mir unbekannt. Vielleicht kennt die ja ein Experte.
Grüße, Tonio
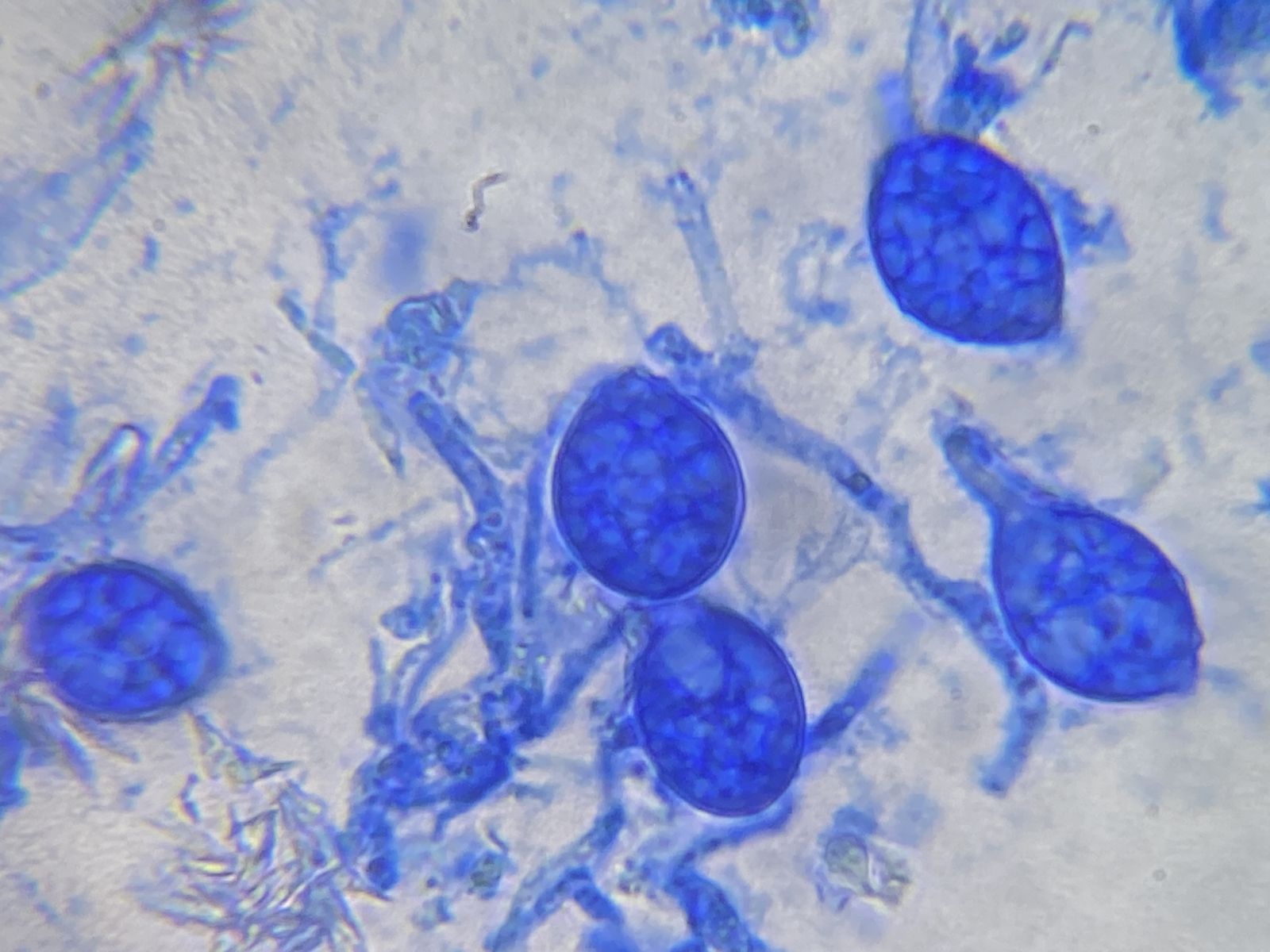
1) Vielgestalige Konidien kugel-, oval- oder zitzenförmig (globose, subglobose, ovoid, obovoid, pyriform, papillate); inamyloid; ca. 15-20 x 10-15 µm, hyalin; an kurzen Hyphen; keine weiteren Strukturen vom Hyphensystem.
Der Pilz erinnert mich an die Fruchtkörper vom Mehltau-Hyperparasit Ampelomyces quisqualis. Dieser lässt aber auf Druck Massen an Konidien frei. Hier blieben auf Druck nur leere Hüllen zurück ohne jeglichen Konidienauswurf. Auffällig viele Kristalle waren auch zu sehen in Präparaten ohne Baumwollblau. Die Sporen vom Scytonostroma scheiden hier aus: sie sind amyloid, rund mit 5-6 x 4,5-6 µm.
2) Konidien aufsitzend oder endständig auf breiten, häufig septierten Hyphen; 1-2 Vakuolen, ca. 8-9 x 2,5-4,5 µm; hyalin. Abgelöste Konidien haben zwei krallenähnliche Anhängsel als Anheftungsrest.
Es könnte ein Dematophora sp. sein. Aber ich sah die dort beschriebenen Hyphenbündel (synnemata) nicht. Oder ein Botryoderma.
