Hallo zusammen, Ditte
Entwarnung, das ist der letzte Beitrag über alpine Risspilze dieses Jahr. Die alpine Saison dürfte so ziemlich vorbei sein, es gab schon Schnee und bald Frost.
Also, der Col des Gentianes liegt auf 2900m im Val de Nendaz, und ist bequem per Seilbahn erreichbar.
Erstaunlicherweise fängt die Pilzflora gleich oben bei der Bergstation an:
1:
Eine kleine Pseudosperma ohne Geruch. Im Schlüssel von Bon lande ich bei Pseudosperma flavellum, aber die ist es sicher nicht.
Einen anderen Vorschlag habe ich nicht.
Sporen: 8.7-9.7-10.3 x 5.3-5.9-6.5 µm, Q = 1.44-1.65-1.91 (n=20)
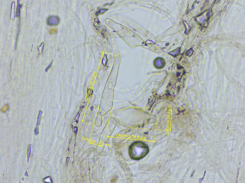
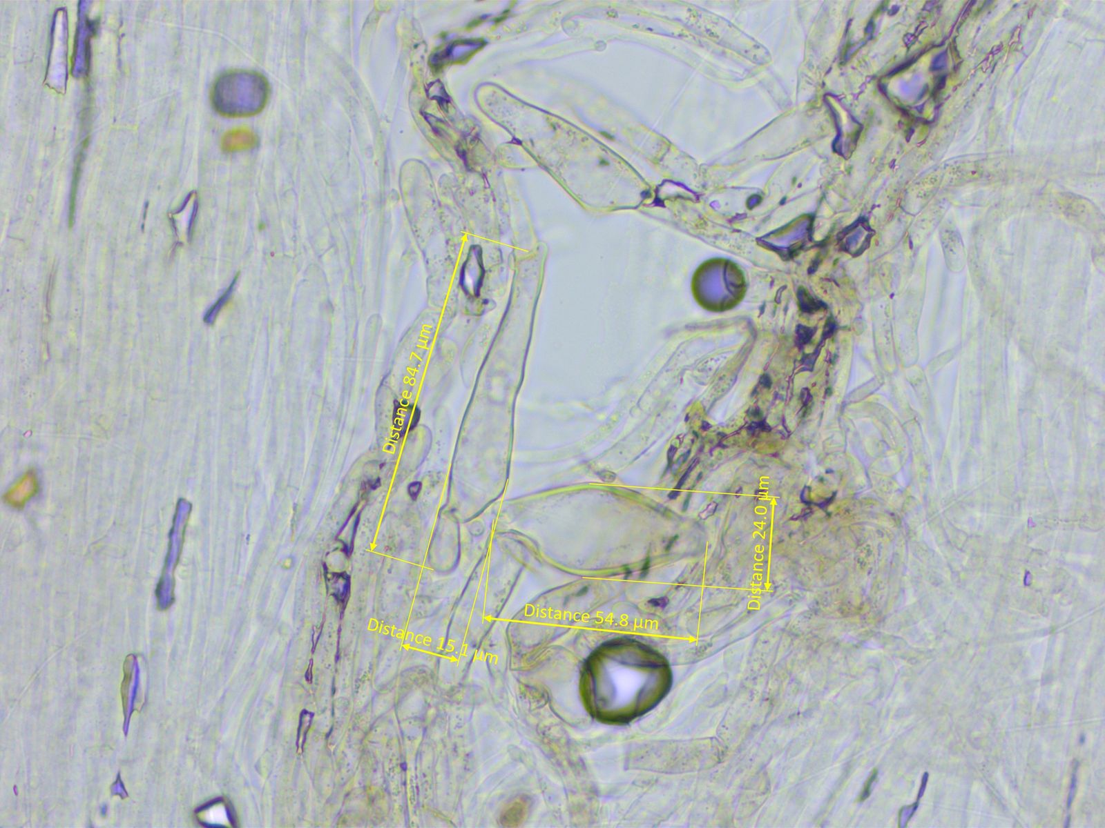
Zystiden: 24-31-41 x 10-12-15 µm (n=10)
2:
Bei dem hier finde ich gar keinen brauchbaren Bestimmungsvorschlag. Geruch spermatisch.
Sporen: 9.2-10.6-12.4 x 5.5-5.9-6.4 µm, Q = 1.61-1.78-2.03 (n=20)
Cheilozystiden: 51-67-94 x 12-14-17 µm, oft mit schleimiger Haube
Pleurozytiden ebenso
Echte Kaulozystiden konnte ich nicht finden, nur zahlreiche Fasern.
3:
Eine schuppig aufreissende Art mit gelben Farben. Geruch spermatisch.
Ich kam auf Inocybe subbrunnea f. dryadum.
Sporen: 8.6-9.6-10.8 x 5.5-6.1-7.1 µ, Q = 1.34-1.59-1.89 (n=20)
Cheilozystiden: 46-61-75 x 15-16-18 µm (n=10), oft mit gelbbraunem Inhalt
Pleurozystiden ähnlich
Kaulozystiden überall am Stiel, mit zahlreichen Parazystiden.
Die nächsten zwei wuchsen auf 2670 Meter an einem sumpfigen Seeufer, bei Salix herbacea.
4:
Diese gelbstieligen Risspilze riechen schwach säuerlich. Vielleicht Inocybe obtusiuscula?
Basis gerandet-knollig.
Sporen unregelmässig eckig, 9.9-11.5-13.3 x 6.8-7.7-8.7 µm, Q = 1.28-1.51-1.85 (n=20)
Cheilozystiden lageniform, mit bis über 4 µm dicker Wand, 56-67-81 x 15-18-22 µm
Pleurozystiden ebenso dickwandig.
Kaulozystiden am ganzen Stiel reichlich vorhanden.
5:
Eine schwach fruchtig riechende Mallocybe mit vollem Stiel und gelber Stielbasis.
Naja, vermutlich geht das nur mit Sequenzierung. Könnte in der Nähe von Mallocybe substraminipes sein.
Sporen: 7.9-9.0-9.8 x 5.1-5.4-5.9 µm, Q = 1.48-1.65-1.82 (n=20)
Zystiden: 14-24-32 x 8-9-11 µm
Die letzten zwei wuchsen an einem Nordhang auf 2500m.
6:
Geruch spermatisch, Stiel auffallend rötend. Könnte das Inocybe purpureobadia sein?
Sporen unregelmässig abgerundet-eckig, 9.1-10.2-11.7 x 5.7-6.2-6.7 µm, Q = 1.47-1.64-1.88 (n=20)
Cheilozystiden teils bauchig, teils schlanker und braun pigmentiert, 40-51-63 x 17-20-23 µm
Pleurozystiden
Kaulozystiden nur an der Spitze und auch dort spärlich.
7:
Eine winzige Mallocybe, Durchmesser max. 15 mm, mit reichlich Velum. Geruch schwach süsslich.
Sporen: 9.2-9.9-10.6 x 4.6-5.0-5.5 µm, Q = 1.70-1.97-2.23 (n=20)
Trotz mehrerer Präparate konnte ich keine Zystiden finden, nur basidiolenartige Elemente.
Ohne Zystiden ist die Auswahl recht eingeschränkt. Mit den Sporenmassen könnte es Mallocybe homomorpha sein.
So, das war's für dieses Jahr mit alpinen Risspilzen.
LG Raphael
