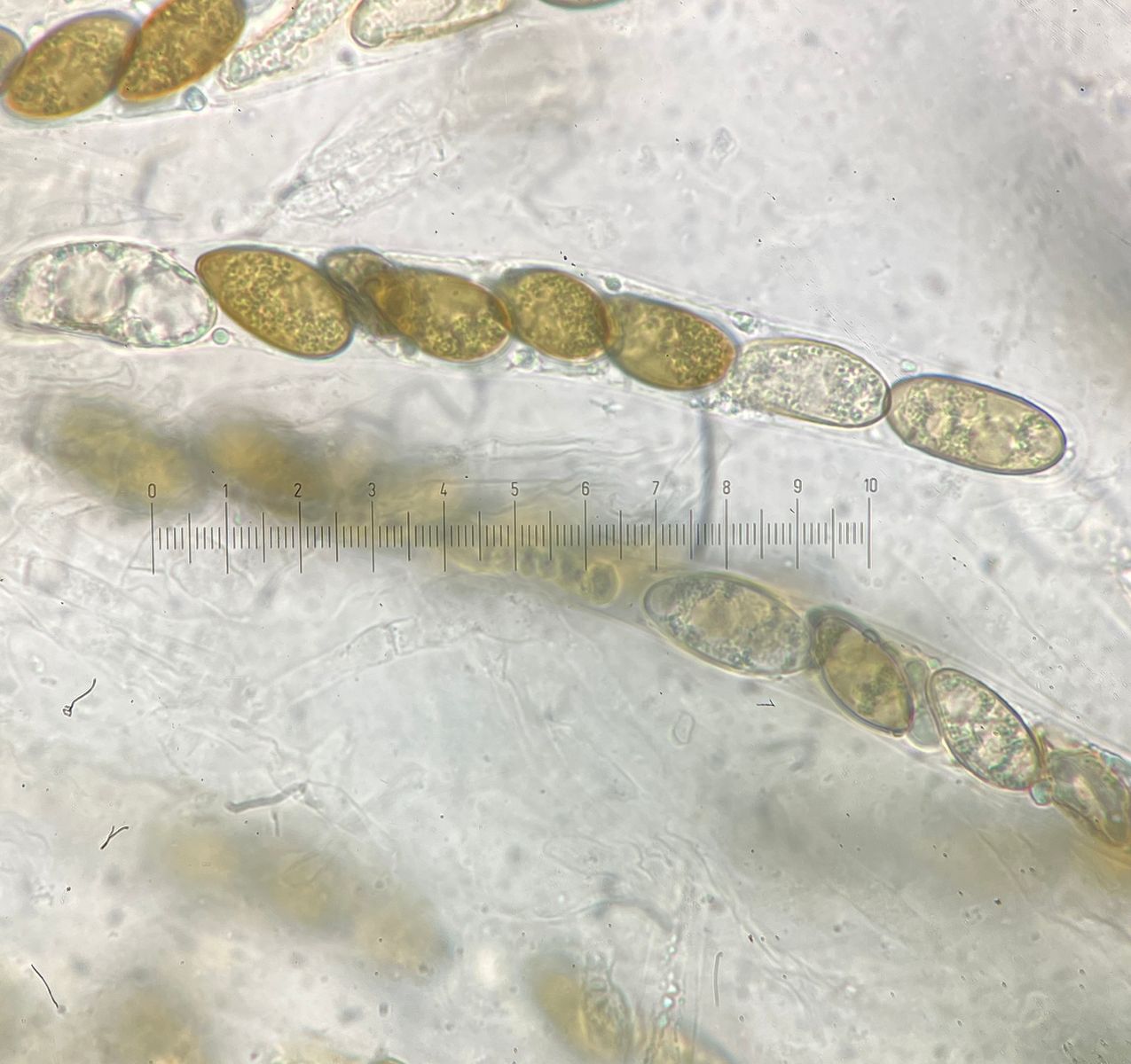
Im Januar hat mir ein freundlicher Mensch Elchdung aus Alaska geschenkt. Der bekommt jetzt nun endlich mehrere Bombardioidea bombardioides. Die Sporen sind 20-31 μm und 12-14μm groß. Also was anderes kann es ja gar nicht sein, oder? Leider sind die Sporen nicht im besten Zustand
Bombardioidea bombardioides
- sigridj
- Erledigt
Es gibt 3 Antworten in diesem Thema, welches 1.340 mal aufgerufen wurde. Der letzte Beitrag () ist von sigridj.
-
-
Hallo Sigrid.
Das ist ja wieder einmal eine tolle Anfrage von Dir!

Im Januar hat mir ein freundlicher Mensch Elchdung aus Alaska geschenkt. Der bekommt jetzt nun endlich mehrere Bombardioidea bombardioides. Die Sporen sind 20-31 μm und 12-14μm groß. Also was anderes kann es ja gar nicht sein, oder?
Ich denke schon, dass das B. bombardioides ist, eine Art die ich allerdings nicht kenne und die wohl erst zweimal in D nachgewiesen wurde.
Dennoch solltest Du mit Bombardioidea anartia vergleichen. Beschrieben von Krug & Scott 1994 an Elchdung aus Kanada!
Allerdings sind die Sporen etwas größer, eher asymmetrisch und die Asci +/- biseriat.
Falls Du den Artikel nicht hast:
Bombardioidea_Krug & Scott, Can. J. Bot. 72, 1994.pdf
LG, Nobi
-
Hmmm, interessant, ich habe jetzt erst nur in Lundquist geschaut. Also ich sequenziere mal die Sache und sehe was da raus kommt.
-
Naja die Sequenz hat auch nicht viel gebracht - die einzige vergleichbare ITS Sequenz war von einer Bodenprobe aus Arizona. Die Sachen werden halt nicht oft genug sequenziert. Aber jemand muß halt damit anfangen.
