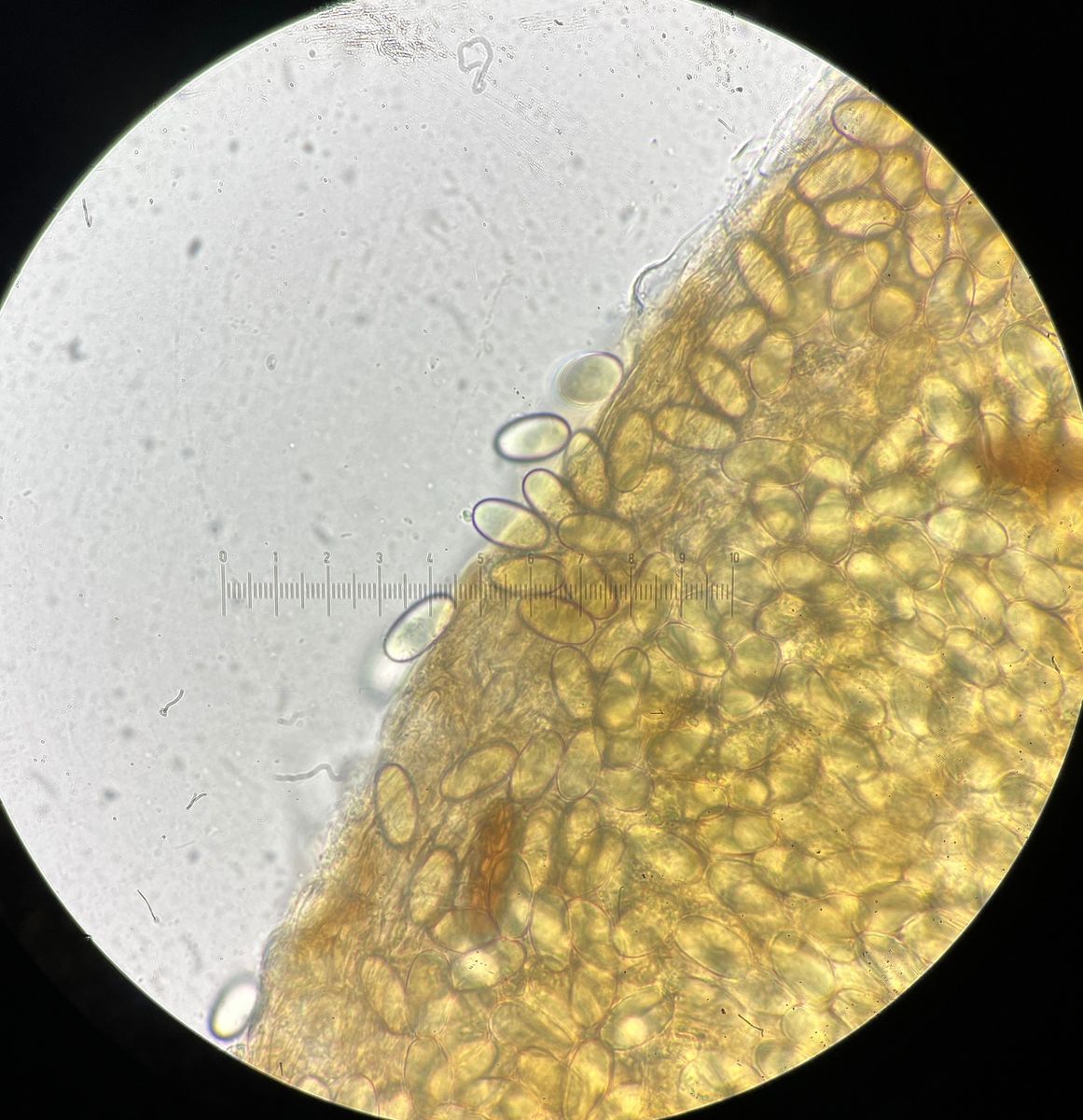
Diese Art kam mir vor kurzem vor das Objektiv, und ist mir unbekannt. Durchmesser so um 400µm, Sporen 16.5-17 x 8.5-9.5µm. Erkennt den jemand?
Irgendwas in Pezizales?
- sigridj
- Erledigt
Es gibt 3 Antworten in diesem Thema, welches 968 mal aufgerufen wurde. Der letzte Beitrag () ist von nobi_†.
-
-
Erkennt den jemand?
Schwierig, Sigrid, so ganz ohne Asci und Substratangabe. Ist aber sicherlich Dung, siehe "Beifang".

Man müsste die Amyloidät der Asci überprüfen, um wenigstens zu wissen in welche Richtung man weitersuchen muss.
Makroskopisch erinnert das an einen Ascobolus mit ungefärbten Sporen.
Für mich anhand der Datenlage nicht bestimmbar.
LG, Nobi
-
OK, verstehe. War auf Weißwedelhirschdung. Ist leider "verwelkt" bevor er reif wurde und es gab nur ein Exemplar. Naja, dann lassen wir es.
-
Naja, dann lassen wir es.
Nun, so etwas kommt schon ab und zu vor.
Wir müssen akzeptieren, dass wir nicht jedem Ding einen Namen geben können, dass wir entdecken.
Was meiner Meinung nach auch überhaupt kein Problem ist.
LG, Nobi
