Hallo,
bei folgendem Fund komme ich nicht weiter.
Die Flechte wächst auf einem kinderfaustgroßem Steinbrocken, der sich aus einer Trockenmauer in Südausrichtung gelöst hatte und an halbschattiger Stelle auf dem Boden davor im Moos lag.
Bild 1 Trockensteinmauer in Südausrichtung, davor Brombeergestrüpp und Moos
Die Flechte besteht aus winzigen, feucht gallertig-elastischen, aufsitzenden Areolen mit jeweils einem zentralen Apothecium.
Bild 2 Feiner Standsteinbrocken, zentral mit bräunlichen Apothecien der gesuchten Flechte
Beim Schlüsseln kam ich schnell zu Caeruleum heppii, da beim Schlüsseln nirgends nach dem Algenpartner gefragt wurde.
Eigenschaften:
- Sporen einzellig, breitelliptisch, farblos, inamyloid, cyanophil, etwa 5 x 3 µm (Fehler 0,5 µm)
- Asci (sehr) vielsporig
- aufgrund des Fundortes postuliere ich einen gewissen Kalkgehalt im Sandstein (sehr, sehr feinkörnig)
- Thallus schwach entwickelt oder endolithisch
- Apothecien zerstreut stehend, einzeln oder in kleinen Gruppen, klein (100 - 200 µm), warzig aufsitzend, Höhe etwa 100 µm
- Scheibe blassbraun, kreisrund
- Thallus undeutlich dünn / fehlend
- Kratzer/Strich zwischen Areolen weder grün noch orange
- Epihymenium bräunlich
- Hymenium farblos, etwa 90-100µm dick, stark verklebt
- Gallerte amyloid (IKI+ blau)
- Hypothecium kaum ausgeprägt
- Ascus mit dickem, IKI+ blauem Tholus
- Tholus nicht cyanophil
=> Caeruleum heppii nach Schlüssel in Wirth
C. heppii hat allerdings coccoide Grünalgen als Partner!?
Wenn die Algen in Bild 9 keine Trentepohlia sind, wäre C. heppii für mich naheliegend.
Tatsächlich habe ich bisher keine so knatschgelbe Trentepohlia-Algenzellen in Flechten gesehen.
Sind das also Grünalgen? ![]()
Wenn ich beim Schlüsseln auf Trentepohlia als Algenpartner bestehe, komme ich zu keinem vernünftigem Ergebnis.
Weiß jemand etwas mehr über diesen Algentyp oder diese Flechte?
Für Tipps und Hinweise wäre ich sehr dankbar!
LG, Martin
Weitere Fotos zur Flechte:
Bild 3 Kraterartige, bräunlich-transparente Areolen mit braunem Excipulum und hellbrauner Scheibe
Bild 4 Größenvergleich - Nadelspitze etwa 400µm breit: Areolen um 200µm groß
Feucht lassen sich die gummiartig elastischen Areolen leicht mit der Nadel als Ganzes vom Substrat abschieben.
Sie sind weich und leicht zu scheiblieren.
Bild 5 Querschnitt dirch Areole/Apothecium, das Volumen wird fast vollständig vom Hymenium eingenommen, gelbe Algenzellen sind im Thallusrand erkennbar.
Das Excipulum ist braun und auf den oberen Teil beschränkt. Das Hymenium ist etwa 90-100µm dick
Bild 6 Der coccoide Algenpartner weist riesige gelbe Tropfen auf - Trentepohlia oder nicht - das ist hier die große Frage
Bild 7 Ascus in Wasser mit Unmengen (>> 32 Stück) von kleinen Sporen
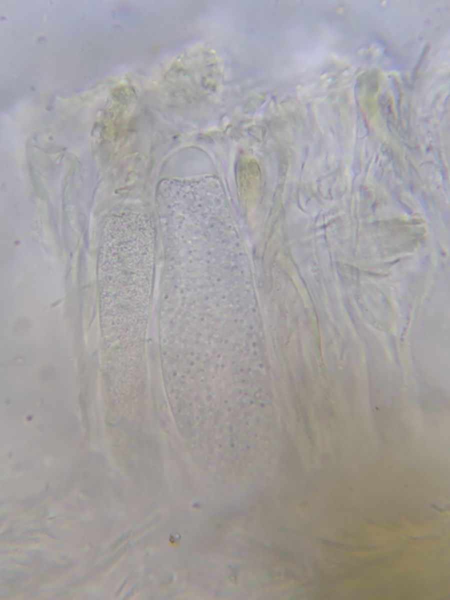
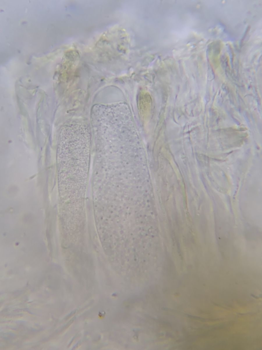
Bild 9 Ascuskappe mit dickem Tholus (unreif)
Bild 10 Paraphysen, mit wenig Kongorot eingefärbt, leicht verweigend, ev. anastomosierend; dünn, < 1µm, stark verklebt
Bild 11 Sporen in Wasser um 5x3 µm groß, breitelliptisch, 2 große Tropfen im Inneren (Hym. hier IKI+, Sporen IKI-)
Bild 12 Hymenium in Lugol: Tholus stark blau
