Hallo zusammen,
bei einem Wochendtrip in den Harz hatten wir Anfang Oktober auf einem ehemaligen Truppenübungsplatz auf Saftlinge gehofft. Die waren dort allerdings nicht zu finden.
Stattdessen gab es reichlich Kotballen vom Schaf. Bei einer lockeren Aufsammlung von Kotbeeren gehe ich deshalb auch von Schaf aus, obwohl ich das Bestimmen der Dungproben oftmals schwieriger finde, als die Pilze, die darauf wachsen.
Das Substrat hat sich als sehr artenreich erwiesen, so hat es darauf alleine vier Schizothecium Arten.
Neben Schizothecium miniglutinans und Schizothecium vesticola gibt es da noch 2 persönliche Erstfunde, wo es mir ganz lieb wäre, wenn ihr einmal drüberschaut.
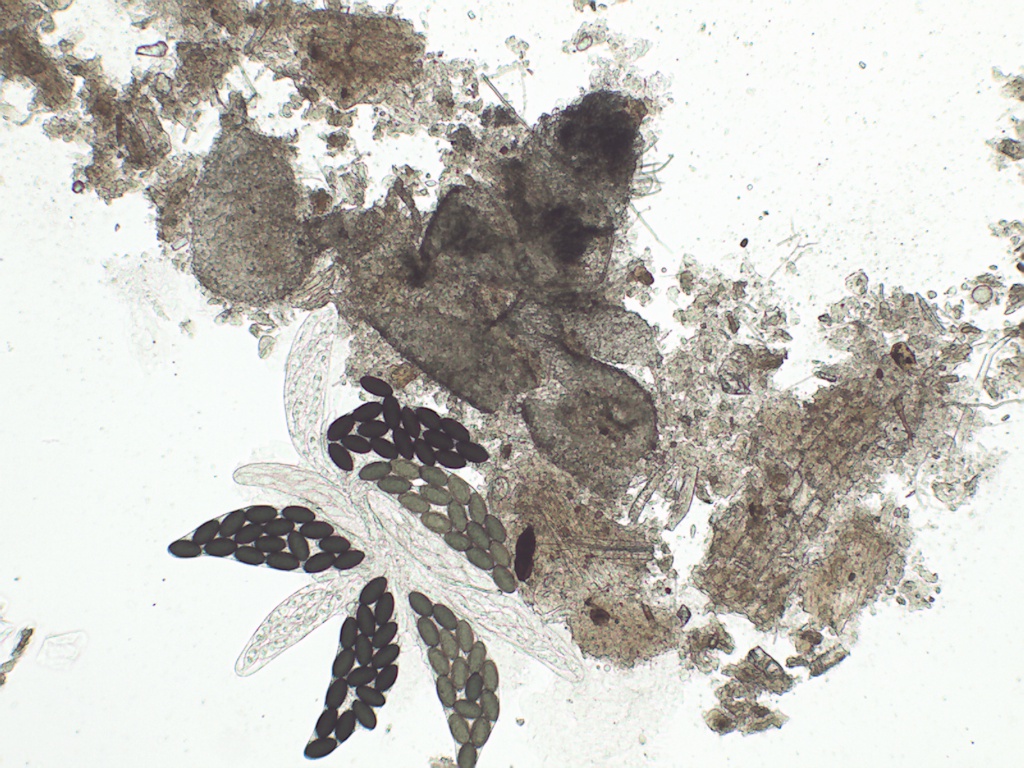
1. Schizothecium simile
Perithecium: 500x400µ, mit Randhaaren und Squamufolien
Der Ascus: 210-230 x 34-43µ, 16 sporig
Die Sporen: 30,9-31,9-34,2 x 16,5-17,7-20,2µ mit Pedicell: 7,5-7,7x2
mit hübscher Schleimhülle die ganze Spore umgebend
Sporen schon jung septiert (Schizothecium typisch)
2.Schizothecum dakotense
Perithecium: 400x350µ
Ascus: hier 32sporig
Sporen: 20,7-21,9-23,1 x 11,6-12,2-13,3µ, das Pedicell 6x1,5µ, mit apikalem Keimporus
auch hier jung früh septiert
mit apikaler und basaler Caudae
Ich würde mich freuen, wenn ich die Funde ohne Einwände so ablegen kann.
Neben den Podospora intestinacea, decipiens, australis & Arnium arizonense taucht auch Sporormiella puchella und weitere interessante Arten am gleichen Substrat auf.
Das alles macht die fehlenden Saftlinge locker wett.
Beste Grüße
Martin
