Hallo Forum
Im letzten September nahm ich in den tyroler Bergen ein paar trockene Pferdeäpfel in meinen Besitz. Anfang Januar feuchtgelegt zeigten sich jetzt diese grosssporigen Delitschias, die ich nicht recht einordnen kann. Mit dieser Gattung habe ich auch noch sehr wenig Erfahrung.
Die Sporengrösse führt mich zu den Gigaspora-Arten (eher var. ceciliae). Dagegen sprechen allerdings die etwas zu breiten Sporen und vor allem das weisse Tomentum, das nirgends erwähnt wird.
Hier die Daten und Bilder:
FK jung mit deutlichem weissen Tomentum
und reif etwas weniger struppig, 940 x 840 µm
Asci (598) 603.4 - 627.6 (865.5) × (55.1) 56.1 - 69.5 (72.6) µm, sind die jetzt uni- oder biseriat?
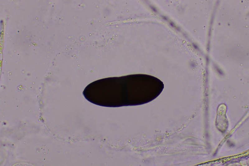
Unreife Sporen grösser als die Reifen. Hier die Grösste mit 105 x 29 µm
Umgeben mit einer dicken Gelhülle, Septe gerade und wenig eingeschnürt
Schliesslich die reifen Sporen (65.8) 67.7 - 81.8 (86.1) × (26.2) 26.8 - 28.7 (29.5) µm
Habt Ihr eine Ahnung was das genau ist. Oder was man ausschliessen kann?
Ich freue mich auf eine Antwort.
Liebe Grüsse
Marco
