Hallo zusammen
Endlich endlich hat es wieder mehr als ein Tropfen geregnet, und es kommt langsam wieder Leben in die Pilzwelt.
Heute fand ich am Strassenrand im Mischwald zwei schöne Rötlinge.
Oberflächlich dachte ich erst an Tricholoma terreum, hatte dann aber schnell das Gefühl dass das was anderes ist.
Naheliegend wäre Entoloma plebejum, den man im Frühjahr ab und zu findet.
Geruch ist schwach süsslich. Der Hut ist allenfalls schwach hygrophan, und vollständig fein faserschuppig.
Unter dem Mikroskop hat er mir dann aber Schwierigkeiten gemacht:
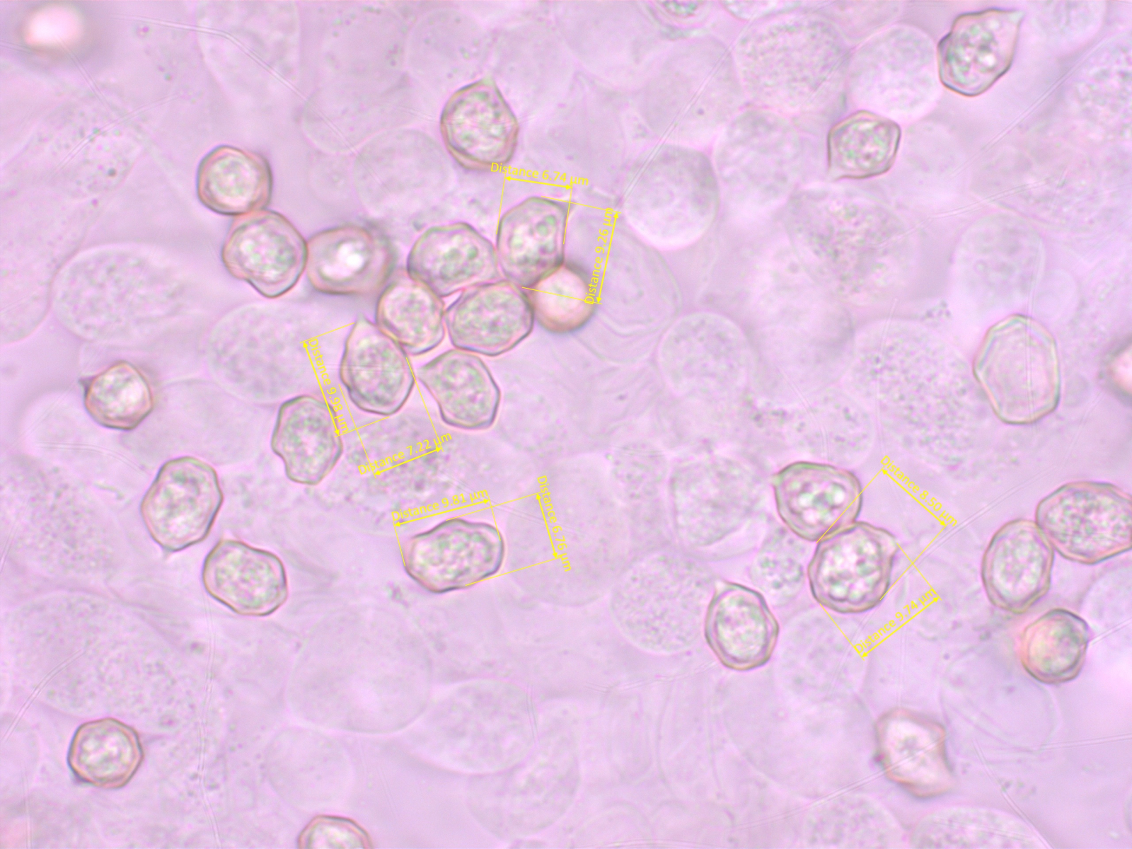
Die Sporen wirken zwar etwas knotig, aber nicht so auffällig wie ich das von Entoloma plebejum kenne.
Ausserdem sind sie mit 8.5-10x6.5-8.5 µm zu klein, und der Koeffizient von 1.1-1.5 passt auch nicht zu E. plebejum.
Cheilozystiden gab es keine, die sich deutlich von Basidiolen unterscheiden.
Schnallen habe ich eifrig gesucht und auch viele gefunden. Im Lamellentrama gab es sie, in der HDS und am Stiel auch.
An der Basidiolenbasis habe ich es irgendwann aufgegeben.
Das HDS-Pigment ist leicht inkrustierend und intrazellular.
Die Stielhyphen sind teilweise deutlich inkrustiert.
[trennlinie][/trennlinie]
Anhand der Sporen würde ich das naheliegende Entoloma plebejum ausschliessen.
Wenn ich nun nach Noordeloos schlüssele, passt eigentlich nur Entoloma plebejoides richtig gut.
Auch die Beschreibung von Noordeloos&Hausknecht (Zeitschrift für Mykologie 55(1) 1989, S. 34) passt sehr gut.
Lediglich die Darstellung bei Ludwig verwirrt mich etwas.
Kennt jemand diese Art und kann mir weiterhelfen?
Gruss Raphael
