Hallo zusammen,
auf meinen Dungstückchen (habe mir zwischenzeitlich auch noch ein neues besorgt) hat sich noch einiges getan. Bei den drei folgenden Pilzen bin ich mir eigentlich recht sicher mit der Bestimmung, aber man weiß ja nie.
1. Den ersten Pilz hatte auch gerade Manfred eingestellt und sollte Phomatospora minutissima sein. Die Sporen gingen von 4-5,4X ca. 2
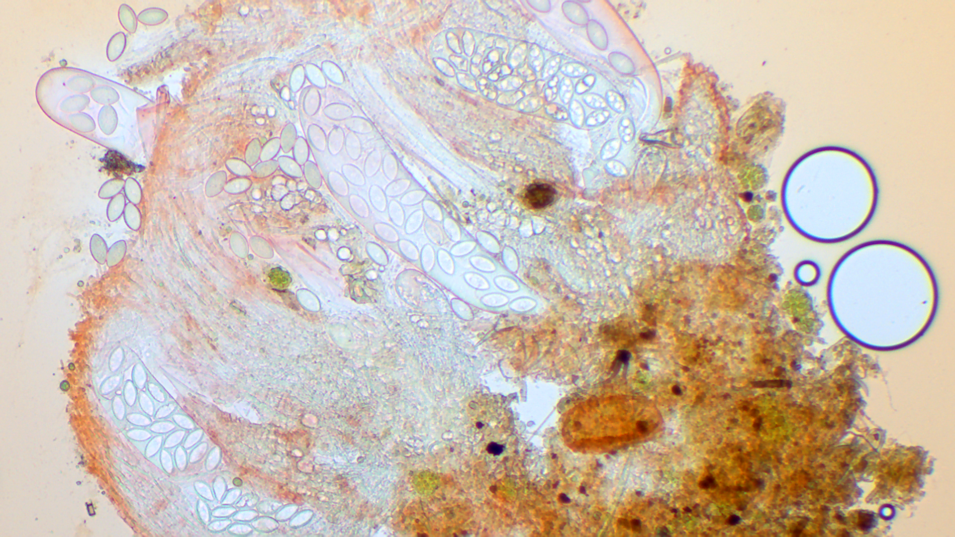
2. Den zweiten Pilz habe ich als Thecoteus pelletieri bestimmt. Der Fruchtkörper war tatsächlich recht säulenförmig, was man auf dem Foto nur erahnen kann. Die Sporen waren zu 32 im Ascis und waren zwischen 27-30X14,5-15 groß.
3. Den dritten Pilz fand ich auf dem neuen Dungstück. Mit dem kleinen Buckel auf dem Kopf und der Sporengröße komme ich auf Pilolobus umbonatus. Die Sporen waren zwischen 4,5-5,5X2,5-3 groß.
In einem anderen Beitrag lade ich gleich noch einen Saccobolus hoch, bei dem ich doch einige Bestimmungsschwierigkeiten habe.
Liebe Grüße
Matthias
