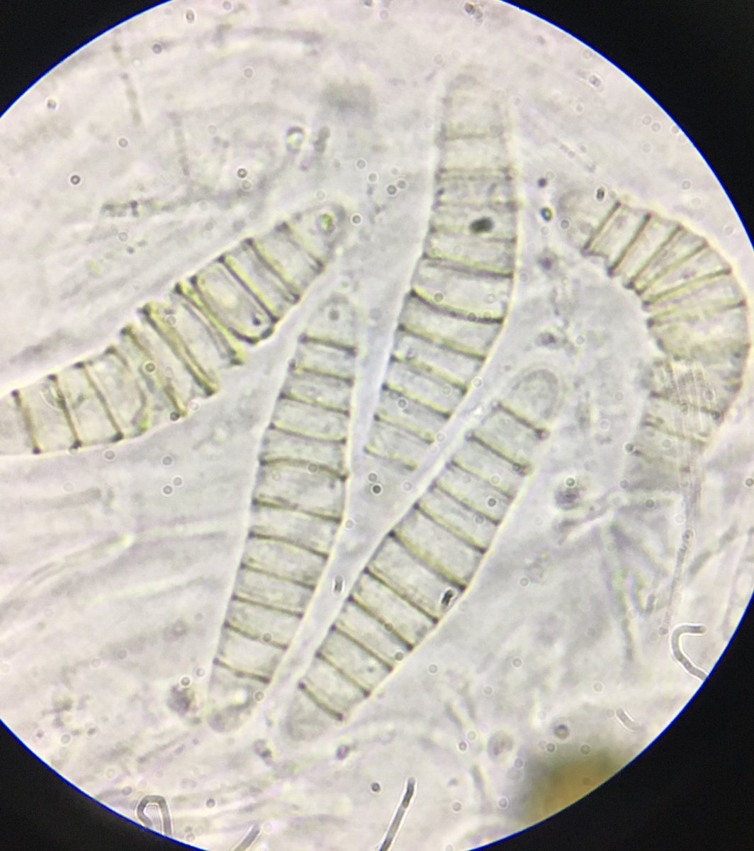
Mal wieder Zeit für eine obskure Sporormiella. Auf neun Wochen altem Hirschdung von außerhalb New York. Leider war dies ein Einzelgänger, und nicht 100% reif, aber was ich sehe, passt gut zu S. calomera. 12 Zellen, wo die mittleren Zellen viel breiter sind. 65µm x 15µm, also unterer Grenzbereich. Keimspalte noch nicht zu sehen. Asci so um 210 lang. Das Pseudothecium so um 0.6mm - allerdings sehr haarig, nicht so wie die Beschreibung von Ahmed und Cain. Vielleicht kann man es gar nicht sagen, weil das Exemplar zu unreif war?
Sporormiella calomera?
- sigridj
- Erledigt
Es gibt 5 Antworten in diesem Thema, welches 1.924 mal aufgerufen wurde. Der letzte Beitrag () ist von sigridj.
-
-
Hallo Sigrid,
ich beneide Dich um diese Artenvielfalt!

Vielzellige Sporormiellen sind in Europa eher die Ausnahme als die Regel.

Mal wieder Zeit für eine obskure Sporormiella
In der Tat scheint da alles für Sporormiella calomera zu sprechen, die ich selbst noch nicht finden durfte!
Da sollten die Keimspalten der erweiterten mittleren Sporen nahezu quer verlaufen. Wenn Du das noch bestätigen könntest, hätte ich keine Zweifel an der Art.
Die ebenfalls 12-zellige Sporormiella dodecemera hat doch andere Sporen.
Toller Fund mal wieder!
Liebe Grüße
Nobi
-
OK danke! Ich hoffe, ich finde sie noch einmal.
-
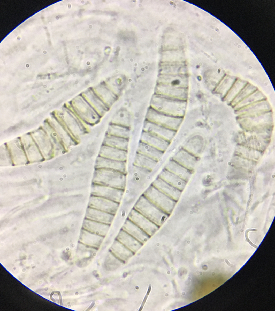
Ich habe jetzt noch ein reifes Exemplar gefunden, und da sieht man dann auch die horizontale Keimspalte (letztes Bild).
-
Ich habe jetzt noch ein reifes Exemplar gefunden, und da sieht man dann auch die horizontale Keimspalte (letztes Bild).
Fantastisch, Sigrid!

Die Art stimmt nunmehr 1:1 mit den Abbildungen in "Ahmed & Cain, S. 473" überein!!! Somit eindeutig Sporormiella calomera!

Hast Du die reifen Sporen nochmals vermessen?
Übrigens sind mir keine europäischen Funde bekannt.
Falls ich da nichts übersehen habe, scheint das bisher eine rein nordamerikanische Species zu sein.
Glückwunsch und danke für die tolle Vorstellung hier im Forum!
Liebe Grüße
Nobi
-
Asci waren so um 210µm, Sporenlänge 65µm-80µm x 15µm-18µm. Mir sind auch nur die Funde von Ahmed & Cain bekannt und der eine Fund von Florida, also Nordamerika, bis jetzt nur auf Kuh und Hase.
