Hallo zusammen,
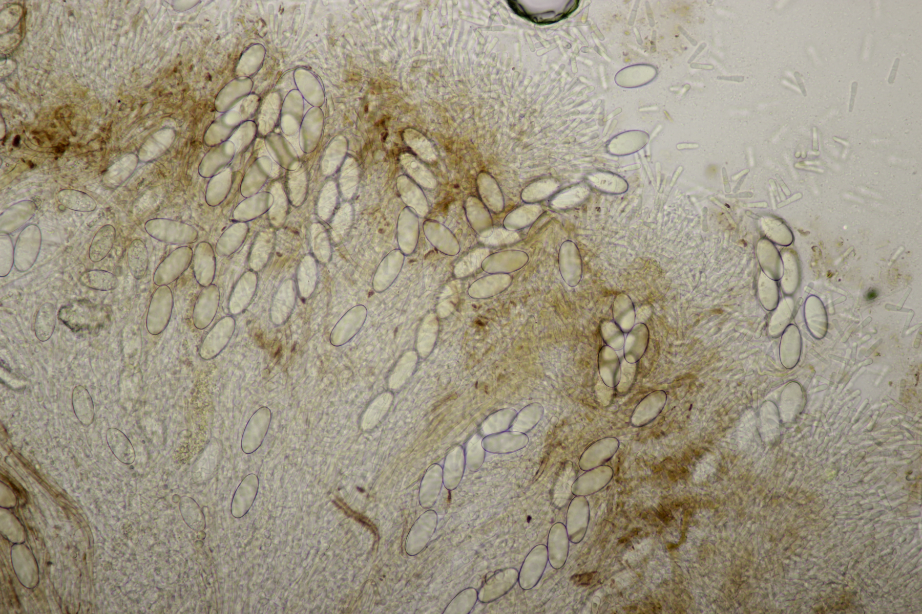
heute Vormittag war ich vor dem Sturm mit dem APR auf Exkursion im Landschaftspark Duisburg. Dort findet man auch immer jede Menge Kaninchenköttel und mit etwas Glück sind dann auch Pilze drauf. Das Glück war heute mit von der Partie und es fand sich folgender Becher, den ich für Pseudombrophila hepatica halten würde. Sporengröße (28.9+-0.6) µm x (13.0+-0.6) µm.
Björn
