Pycnoporus cinnabarinus (Jacq.) P. Karst.
Zinnoberporling, Zinnobertramete
Synonyme:
- Boletus cinnabarinus Jacquin
- Polyporus cinnabarinus (Jacq.) Fr.
- Trametes cinnabarina (Jacq.) Fr.
Familie: Polyporaceae
Ordnung: Polyporales
Klasse: Agaricomycetes
makroskopische Eigenschaften: Fruchtkörper einzeln bis dachziegelig –“ verwachsen; ungestielt aber normalerweise deutlich pileat, höchstens an Substratunterseiten oder schräg überhängendem Substrat mit kleineren Resupinatanteilen; anfangs knubbelig, bald mit ausgebreiteten, aber recht dickfleischigen Hüten, im Schnitt meist dreieckig; Hutkanten jung abgerundet, später auch scharf; im Wachstum oft mit einer fein filzigen, sterilen Zuwachszone am Hutrand; Konsistenz fest und zähfleischig, getrocknet hart; Hutoberfläche feinfilzig, vor allem frisch, im Alter von der Ansatzstelle her verkahlend und dann vor allem feucht glatt und glänzig; oft ziemlich uneben auswachsend mit allerlei chaotisch verlaufenden Runzeln, Grübchen und Huckelchen, manchmal auch mit einzelnen, konzentrischen Zonierungen; anfangs leuchtend orangerot gefärbt bis satt zinnoberrot, im Alter ockerlich ausblassend; Poren meist noch intensiver gefärbt, vor allem bei älteren Exemplaren vom Zentrum her blutrot, um 2-4/mm; Fleisch +/- zoniert; zähfaserig; orange, orangeocker bis orangerot; Geruch und Geschmack unspezifisch; Hutoberseite reagiert mit KOH 5% dunkel graubraun bis schwarz.
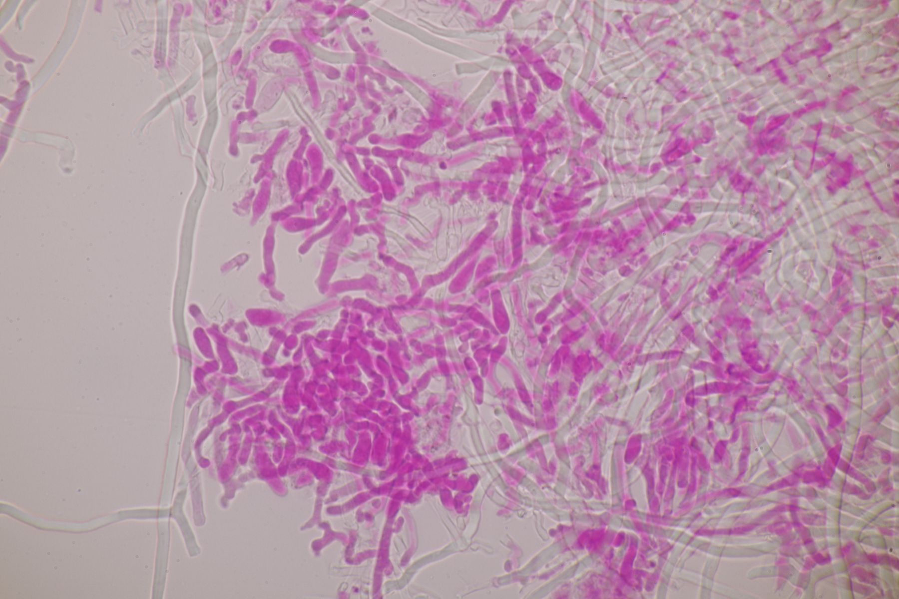
mikroskopische Eigenschaften: Hyphenstruktur trimitisch; generative Hyphen teils schwer zu beobachten, hyalin, dünnwandig, Septen mit Schnallen; Skeletthyphen dickwandig, unseptiert, kaum verzweigt; Bindehyphen etwas schmaler, ebenfalls dickwandig, reich verzweigt; Hymenium ohne Zystiden, Basidien keulig (2-)4-sporig, mit Basalschnalle; Sporen glatt, dünnwandig, inamyloid, elliptisch, bei reifen Fruchtkörpern um 5,5-7 x 2-3 µm, Sporen von unreifen Fruchtkörpern auch aus Abwurfpräparaten können abweichen (siehe unten).
Vorkommen: Typischer Initialzersetzer von frischen, gefallenen Stämmen und Ästen von Laubholz; besonders gerne in offenem, sonnenexponiertem Gelände; häufig mit Trametes hirsuta und Schizophyllum commune vergesellschaftet; aber auch mit anderen Zersetzern der Initialphase.
Insgesamt eine weit verbreitete und häufige Art.
Bilder:
Mikroaufnahmen von der Kollektion auf den Bildern 7+8; Sporen aus Abwurf, in KOH 3%
Verwechslungen: Die weiteren Arten der Gattung (die sich im grunde nur durch die Färbung der Fruchtkörper von Trametes unterscheidet) haben eine tropische bis subtropische Verbreitung. Allerdings wurde Pycnoporus sanguineus in Südfrankreich dokumentiert, mit weiteren Funden im Mediterranraum wäre wohl zu rechnen. Pycnoporus sanguineus soll sich im Wesentlichen durch dunkler rot gefärbte, etwas trübere Fruchtkörper unterscheiden, mit etwas feineren Poren und dünneren Hüten mit schneller und gründlicher verkahlender Hutoberfläche. Pycnoporus sanguinolentus soll auch etwas kleinere Sporen haben, doch das Merkmal kann in die Irre führen: Siehe Sporenbild oben, die Maße der dort untersuchten Kollektion passen in das Spektrum von Pycnoporus sanguinolentus, wie zB in –žPoroid Fungi of Europe–œ angegeben.
Hapalopilus –“ Arten sind weicher in der Konsistenz und weniger leuchtend gefärbt, zeigen eine blutrote bis violette KOH –“ Reaktion, die bei P. cinnabarinus fehlt, und sehen mikroskopisch ganz anders aus (monomitisches Hyphensystem).
Pycnoporellus fulgens ist anders gefärbt (heller, mehr ins gelborangene), bewohnt vorwiegend Nadelholz, hat gröbere Poren und unterscheidet sich mikroskopisch durch seine Zystiden, größere Sporen und ein monomitisches Hyphensystem ohne Schnallen.
Höchstens ganz entfernt ähnlich kann die eine oder andere Fomitopsis –“ Art aussehen, aber eigentlich gibt es da nichts mit solchen Farben.
Vergleichsvorschläge:
>Pycnoporus sanguineus = Blutroter Zinnoberschwamm<
>Hapalopilus nidulans = Zimtfarbiger Weichporling<
>Hapalopilus croceus = Safrangelber Weichporling<
>Pycnoporellus fulgens = Leuchtender Weichporling<
>Fomitopsis iberica = Iberischer Baumschwamm<
