Hallo zusammen
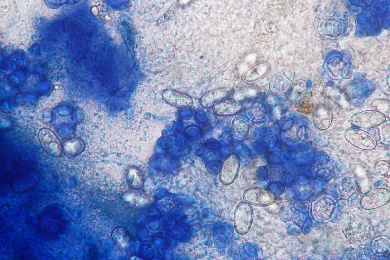
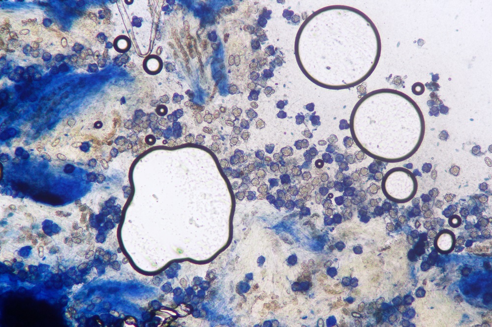
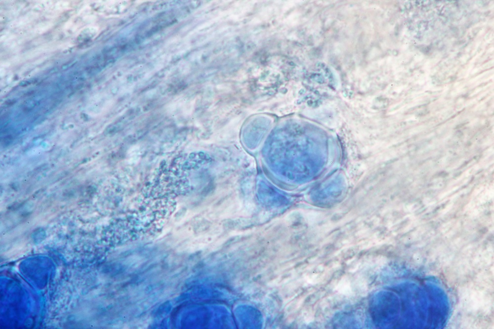
Am 23.8.15 fand ich auf Humaria hemisphaerica den Pilz Stephanoma strigosum, wo ich gerne die Bilder mit euch teilen möchte.
Der Pilz ist ein Parasit der dadurch auffällt das das Hymenium von H. hemispaerica weißmehlig wird.
Außerdem soll der Pilz speziell auf den Sporen von H. hemispaerica schmarotzen. (Quelle :hier)
VG : Thorben
